- Tổng quan
- Nội dung
- Tiêu chuẩn liên quan
- Lược đồ
- Tải về
Tiêu chuẩn TCVN 14392:2025 Phân bón - Định lượng Bacillus licheniformis bằng kỹ thuật đếm khuẩn lạc và khẳng định bằng PCR
| Số hiệu: | TCVN 14392:2025 | Loại văn bản: | Tiêu chuẩn Việt Nam |
| Cơ quan ban hành: | Bộ Khoa học và Công nghệ | Lĩnh vực: | Nông nghiệp-Lâm nghiệp |
| Trích yếu: | Phân bón - Định lượng Bacillus licheniformis bằng kỹ thuật đếm khuẩn lạc và khẳng định bằng phản ứng chuỗi polymerase (PCR) | ||
|
Ngày ban hành:
Ngày ban hành là ngày, tháng, năm văn bản được thông qua hoặc ký ban hành.
|
18/09/2025 |
Hiệu lực:
|
Đã biết
|
| Người ký: | Đang cập nhật |
Tình trạng hiệu lực:
Cho biết trạng thái hiệu lực của văn bản đang tra cứu: Chưa áp dụng, Còn hiệu lực, Hết hiệu lực, Hết hiệu lực 1 phần; Đã sửa đổi, Đính chính hay Không còn phù hợp,...
|
Đã biết
|
TÓM TẮT TIÊU CHUẨN VIỆT NAM TCVN 14392:2025
Tiêu chuẩn quốc gia TCVN 14392:2025: Định lượng Bacillus licheniformis bằng kỹ thuật đếm khuẩn lạc và khẳng định bằng PCR
Tiêu chuẩn quốc gia TCVN 14392:2025 được ban hành nhằm quy định phương pháp định lượng vi khuẩn Bacillus licheniformis trong phân bón vi sinh bằng kỹ thuật đếm khuẩn lạc trên môi trường nuôi cấy và xác định bằng phản ứng chuỗi polymerase (PCR). Tiêu chuẩn này do Học viện Nông nghiệp Việt Nam biên soạn, Bộ Nông nghiệp và Môi trường đề xuất, và được Ủy ban Tiêu chuẩn Đo lường Chất lượng Quốc gia thẩm định, công bố bởi Bộ Khoa học và Công nghệ.
Tiêu chuẩn TCVN 14392:2025 đề xuất một quy trình áp dụng cho việc lấy mẫu nhằm đảm bảo độ chính xác trong việc đánh giá số lượng vi khuẩn Bacillus licheniformis, một vi khuẩn gram dương có khả năng gia tăng hiệu quả sinh trưởng cây trồng. Kỹ thuật này không chỉ giúp quản lý tốt chất lượng phân bón mà còn có khả năng kháng lại vi sinh vật gây hại.
Một phần quan trọng của tiêu chuẩn là cách xác định gen đặc hiệu thông qua hai phần mồi gyrA và gyrB, tương ứng với các kích thước sản phẩm PCR là 734 bp và 613 bp, cho phép phân biệt Bacillus licheniformis với các loài Bacillus khác. Việc xác định chính xác loài vi khuẩn này là rất cần thiết, do tính chất của Bacillus licheniformis sẽ ảnh hưởng đến hiệu quả của phân bón vi sinh vật đối với cây trồng.
Tiêu chuẩn này cũng quy định các yêu cầu về môi trường và hóa chất cần sử dụng trong quá trình thử nghiệm, đảm bảo chúng đạt chất lượng phân tích cao. Để thực hiện, cần sử dụng các thiết bị phòng thí nghiệm cơ bản như tủ cấy vô trùng, nồi hấp áp lực (121 °C), và máy PCR có khả năng điều chỉnh nhiệt độ phù hợp cho quá trình phản ứng.
Ngoài ra, tiêu chuẩn yêu cầu rõ ràng về phương pháp lấy mẫu từ phân bón và quy trình thực hiện các bước cấy, ủ mẫu, cũng như xác định và đếm số khuẩn lạc. Kết quả sẽ được báo cáo, bao gồm thông tin cần thiết để nhận diện mẫu thử, phương pháp thử nghiệm và kết quả cuối cùng.
Cuối cùng, khi tiến hành phân tích, quy trình tính toán số lượng Bacillus licheniformis trong mẫu thử cũng rất quan trọng, yêu cầu áp dụng các công thức chính xác để đảm bảo tính chính xác và tin cậy trong kết quả thử nghiệm. Thông qua việc áp dụng tiêu chuẩn này, các nhà sản xuất và cơ quan chức năng có thể kiểm soát tốt hơn chất lượng sản phẩm phân bón vi sinh, hỗ trợ phát triển cây trồng bền vững.
Tải tiêu chuẩn Việt Nam TCVN 14392:2025
TIÊU CHUẨN QUỐC GIA
TCVN 14392:2025
PHÂN BÓN - ĐỊNH LƯỢNG BACILLUS LICHENIFORMIS BẰNG KỸ THUẬT ĐẾM KHUẨN LẠC VÀ KHẲNG ĐỊNH BẰNG PHẢN ỨNG CHUỖI POLYMERASE (PCR)
Fertilizers - Enumeration of Bacillus licheniformis by colony count technique and confirmation by polymerase chain reaction (PCR)
Lời nói đầu
TCVN 14332:2025 do Học viện Nông nghiệp Việt Nam biên soạn, Bộ Nông nghiệp và Môi trường đề nghị, Ủy ban Tiêu chuẩn Đo lường Chất lượng Quốc gia thẩm định, Bộ Khoa học và Công nghệ công bố.
PHÂN BÓN - ĐỊNH LƯỢNG BACILLUS LICHENIFORMIS BẰNG KỸ THUẬT ĐẾM KHUẨN LẠC VÀ KHẲNG ĐỊNH BẰNG PHẢN ỨNG CHUỖI POLYMERASE (PCR)
Fertilizers - Enumeration of Bacillus licheniformis by colony count technique and confirmation by polymerase chain reaction (PCR)
1 Phạm vi áp dụng
Tiêu chuẩn này quy định phương pháp định lượng Bacillus licheniformis có trong phân bón vi sinh vật bằng kỹ thuật đếm khuẩn lạc trên môi trường thạch và khẳng định bằng phản ứng chuỗi polymerase (PCR) thông qua sự có mặt của gen đặc hiệu.
2 Tài liệu viện dẫn
Các tài liệu viện dẫn sau là rất cần thiết cho việc áp dụng tiêu chuẩn này. Đối với tài liệu viện dẫn ghi năm công bố thì áp dụng phiên bản được nêu. Đối với tài liệu viện dẫn không ghi năm công bố thì áp dụng phiên bản mới nhất, bao gồm cả các bản sửa đổi, bổ sung (nếu có).
TCVN 6404: 2016 (ISO 7218:2007 with amendment 1:2013), Vi sinh vật trong thực phẩm và thức ăn chăn nuôi - Yêu cầu chung và hướng dẫn kiểm tra vi sinh vật
TCVN 8128:2015 (ISO 11133:2014), Vi sinh vật trong thực phẩm, thức ăn chăn nuôi và nước. Chuẩn bị, sản xuất, bảo quản và thử hiệu năng của môi trường nuôi cấy
TCVN 13637:2023 (ISO 21148:2017), Mỹ phẩm - Vi sinh vật - Hướng dẫn chung về kiểm tra chỉ tiêu vi sinh vật
3 Thuật ngữ và định nghĩa
Trong tiêu chuẩn này áp dụng các thuật ngữ và định nghĩa sau:
3.1
Bacillus licheniformis
Là trực khuẩn gram dương, có khả năng đối kháng với vi sinh vật gây bệnh và/hoặc tăng hiệu quả tổng hợp sinh khối của cây trồng, và đặc trưng bởi có khả năng sản sinh nội bào tử. Đây là loài vi khuẩn có hình thái khuẩn lạc đa dạng như khuẩn lạc có thể có hình tròn với mép khuẩn lạc đều hoặc không đều, có nếp gấp, chia thùy hoặc có lông; khuẩn lạc có màu trắng kem, bề mặt khuẩn lạc thường nhăn nheo, gồ ghề với các khối u nổi hoặc giống như lông.
3.2
Mồi đặc hiệu gen gyrA (gyrase subunit A)
gyrA là gen mã hóa cho protein ADN gyrase tiểu phần A có vai trò trong quá trình sao mã của ADN, đây là gen bảo thủ có mặt ở tất cả các loài vi khuẩn. Gen có sự đa hình cao giữa các nhóm vi khuẩn. Một vùng của trình tự gen gyrA có sự đa hình cao và phân biệt được các loài thuộc chi Bacillus như Bacillus amyloliquefaciens, Bacillus atrophaeus, Bacillus licheniformis, Bacillus mojavensis, Bacillus subtilis, Bacillus subtilis subsp. spizizenii và Bacillus vallismortis. Mồi đặc hiệu được thiết kế để nhân vùng bảo thủ của Bacillus licheniformis có kích thước 734 bp và vùng này không có mặt ở các loài Bacillus khác [3].
3.3
Mồi đặc hiệu gen gyrB (gyrase subunit B)
gyrB là gen mã hóa cho protein ADN gyrase tiều phần B có vai trò trong quá trình sao mã của ADN, đây là gen bảo thủ có mặt ở tất cả các loài vi khuẩn. Gen có sự da hình cao giữa các nhóm vi khuẩn. Một vùng của trình tự gen gyrB có sự đa hình cao và phân biệt được các loài thuộc chi Bacillus như Bacillus licheniformis, Bacillus subtilis, Bacillus subtilis subsp. spizizenii, Bacillus amyloliquefaciens, Bacillus vallismortis, Bacillus sonorensis, Bacillus atrophaeus. Mồi đặc hiệu được thiết kế để nhân vùng bảo thủ của Bacillus licheniformis có kích thước 613 bp và vùng này không có mặt ở các loài Bacillus khác [4].
4 Nguyên tắc
Định lượng Bacillus licheniformis trong phân bón chứa vi sinh vật bằng kỹ thuật đếm số lượng đơn vị khuẩn lạc đặc trưng trên môi trường dinh dưỡng NA và được khẳng định dựa trên hình thái khuẩn lạc, đặc điểm tế bào và sự có mặt của trình tự gen đặc hiệu (gyrA có kích thước 734 bp) hoặc gyrB có kích thước 613 bp).
CHÚ THÍCH: Việc phân tích hai trình tự gen đặc hiệu chỉ được được tiến hành khi có sự nghi ngờ về sản phẩm PCR của trình tự gen đặc hiệu trên mẫu phân tích với sản phẩm PCR trên mẫu đối chứng dương (kiểm tra trên chủng chuẩn Bacillus licheniformis).
5 Môi trường và hóa chất
5.1 Yêu cầu chung
Các môi trường, hóa chất sử dụng cho nuôi cấy, phản ứng hóa sinh phải đạt chất lượng phân tích và thích hợp để phân tích vi sinh vật. Hóa chất sử dụng cho tách chiết ADN, chạy phản ứng PCR và điện di phải đạt chất lượng để phân tích ADN.
5.2 Nước
5.2.1 Nước sử dụng để pha chế môi trường nuôi cấy vi sinh vật là nước tinh khiết như nước cất, đã khử khoáng hoặc loại bỏ ion hoặc nước có chất lượng tương đương theo mô tả trong TCVN 8128:2015.
5.2.2 Nước sử dụng cho phản ứng PCR là nước tinh khiết, không chứa DNAse, RNAse, có bán sẵn trên thị trường hoặc có chất lượng tương đương.
5.3 Môi trường dinh dưỡng Nutrient agar (NA)
5.3.1 Thành phần
| Cao thịt bò (beef extract) | 1 g |
| Cao nấm men (yeast extract) | 2 g |
| Pepton | 5 g |
| Sodium chloride (NaCl) | 5 g |
| Bột thạch (agar) | 20 g |
| Nước cất | 1000 mL |
| pH 7,0 ± 0,2 ở 25 °C |
|
Ghi chú: Ưu tiên sử dụng môi trường pha sẵn. Sử dụng theo hướng dẫn của nhà sản xuất.
Lưu ý: Môi trường dinh dưỡng NA lỏng là môi trường có thành phần như trên nhưng không bổ sung bột thạch.
5.3.2 Chuẩn bị môi trường
Để pha 1000 mL môi trường từ các thành phần cơ bản khô, các bước thực hiện như sau:
Cân và hòa tan các thành phần theo tỷ lệ ở mục 5.3.1 trong nước cất. Phân phối môi trường với thể tích không quá 500 mL vào các bình thủy tinh (6.2.1). Bổ sung agar theo tỷ lệ tương ứng 20 g/1000 mL môi trường. Khử trùng 15 min trong nồi hấp áp lực ở 121 °C (6.1.2). Để nguội môi trường đến 50 °C đến 60 °C và phân phối môi trường vào các đĩa Petri (6.2.9) với thể tích 18-20 mL trong tủ cấy vô trùng (6.1.1). Các đĩa môi trường đã chuẩn bị có thể được sử dụng ngay sau khi khô bề mặt hoặc bảo quản ở nhiệt độ phòng hoặc để lạnh ở 4 °C. Lưu ý đĩa môi trường bảo quản chỉ được sử dụng khi xác định không bị tạp nhiễm với nấm và vi khuẩn.
Làm khô bề mặt thạch trước khi sử dụng (đảm bảo không có các giọt nước trên bề mặt môi trường) bằng cách lật úp các đĩa thạch và để trong tủ ấm ở nhiệt độ từ 30 °C đến 35 °C trong 30 min hoặc điều chỉnh dựa trên thực tế.
5.4 Dung dịch pha loãng Sodium chloride (NaCl 0,85 %)
Cân và hòa tan 8,5 g NaCl trong 1000 ml nước, pH 7,0 ± 0,2. Phân phối vào bình thủy tinh với thể tích phù hợp (6.2.1). Khử trùng 15 min trong nồi hấp áp lực (6.1.2) ở 121 °C. Sau hấp khử trùng bảo quản ở nhiệt độ phòng.
5.5 Hóa chất nhuộm Gram
Bộ thuốc nhuộm Gram cho vi khuẩn của các hãng được cung cấp trên thị trường. Tùy thuộc vào điều kiện thực tế để lựa chọn hóa chất phù hợp và làm theo hướng dẫn của nhà sản xuất. Hoặc làm theo mô tả trong TCVN 13637:2023 (ISO 21148:2017).
5.6 Hóa chất cho phản ứng PCR (Polymerase chain reaction - Chuỗi phản ứng trùng hợp)
Ưu tiên sử dụng hỗn hợp hóa chất cho phản ứng PCR pha sẵn của các hãng (PCR master mix) hoặc trộn các thành phần riêng lẻ của các hãng thương mại theo khuyến cáo của hãng (Đệm phản ứng (buffer), Magnesium chloride (MgCh), dung dịch hỗn hợp deoxynucleotide triphosphates (dNTPs; c=2,5 mmol/ L (mỗi loại)), enzyme ADN polymerase.
5.7 Các cặp mồi oligonucleotide
Chi tiết của 02 cặp mồi đặc hiệu được nêu trong Bảng 1. Trình tự mồi để nhân đoạn gen gyrA và gyrB được chứng minh là trình tự đặc hiệu để phân biệt Bacillus licheniformis với các loài trong chi Bacillus bao gồm Bacillus subtilis, Bacillus licheniformis, Bacillus amyloliquefaciens, Bacillus velezensis, Bacillus siamensis, Bacillus atrophareus [3][4].
Bảng 1 Trình tự oligonucleotide của mồi đặc hiệu
| Tên mồi | Trình tự oligonucleotide | Nồng độ sử dụng |
| Trình tự đặc hiệu gyrA với kích thước 734 bp | ||
| Blich-gyrA_F | 5'-AAGCCGGTGCACAGAAGAATAG-3' | 10 pmol/μL |
| Blich-gyrA_R | 5'-TCGATTTTCTTATCGCGCACT-3' | 10 pmol/μL |
| Trình tự đặc hiệu gyrB với kích thước 613 bp | ||
| Blich-gyrB_F1 | 5'-AKACGGAAGTGACGGGAAC-3' | 10 pmol/μL |
| Blich-gyrB_R1 | 5'-AGAAACTTTTCRAG CGCTT-3' | 10 pmol/μL |
5.8 Hóa chất điện di ADN
Hóa chất điện di ADN bao gồm dung dịch TAE 1X, agarose và dung dịch nhuộm ADN (ví dụ Redsafe-lntron hoặc ethidium bromide). Dung dịch TAE 1X có thể sử dụng sản phẩm thương mại hoặc tự chuẩn bị theo các thành phần 40 mM Tris, 20 mM Acetate và 1 mM EDTA (pH 8.6). Agarose và chất nhuộm ADN sử dụng theo khuyến cáo của nhà sản xuất. Thang ADN chuẩn kích thước 100 bp sử dụng theo khuyến cáo của nhà sản xuất.
Chuẩn bị bản gel agarose 1,5 % với thể tích 100 mL thực hiện như sau:
Cân 1,5 g agarose và đưa vào bình thủy tinh có nắp vặn thể tích 250 mL. Bổ sung 100 mL dung dịch TAE 1X và vặn lỏng nắp binh. Tiếp đến đun nóng bình bằng lò vi sóng trong 2-3 min đến khi agarose tan hoàn toàn, dung dịch trong và đồng nhất. Lưu ý; nên dừng lò vi sóng sau mỗi 1 min tránh hiện tượng trào dung dịch khỏi bình.
Để nguội dung dịch đến 50-55°C và bổ sung chất nhuộm ADN (ethidium bromide/ chất nhuộm huỳnh quang ADN) theo khuyến cáo của nhà sản xuất. Chuẩn bị khuôn lược của khay điện di để trên mặt phẳng. Đổ dung dịch nhẹ nhàng vào khuôn, tránh tạo bọt khí. Sau 20-30 min khay gel đông đặc có thể được sử dụng ngay hoặc bảo quản cùng dung dịch TAE 1X trong điều kiện 4 °C được dùng trong vòng 7 ngày.
6 Thiết bị, dụng cụ
Có thể sử dụng các dụng cụ dùng một lần thay cho các dụng cụ sử dụng nhiều lần nếu các thông số kỹ thuật tương tự.
Sử dụng các thiết bị, dụng cụ của phòng thử nghiệm, vi sinh thông thường [xem TCVN 6404:2016 (ISO 7218:2007 with amendment 1:2013)] và cụ thể như sau:
6.1 Thiết bị
6.1.1 Tủ cấy vô trùng, tủ cấy vi sinh, luồng không khí thổi theo chiều dọc.
6.1.2 Nồi hấp áp lực, có nhiệt độ hơi nước bão hòa trong buồng có khả năng duy trì nhiệt độ ở 121 °C ± 3 °C tương ứng áp suất tối thiểu 101,3 kPa.
6.1.3 Tủ sấy, thông gió đối lưu, có khả năng sấy ở nhiệt độ lên tới 70 °C ± 1 °C.
6.1.4 Tủ ấm, thông gió đối lưu, có thể duy trì ở nhiệt độ từ 25 °C đến 40 °C.
6.1.5 Cân kỹ thuật, có độ chính xác đến 0,1 g.
6.1.6 Bể ổn nhiệt, có khả năng điều chỉnh tự động về nhiệt độ, độ chính xác đến 1 °C.
6.1.7 Máy trộn vortex, tốc độ lắc đạt 1000 vòng/min, lắc tròn.
6.1.8 Kính hiển vi quang học, có độ phóng đại đến 1000 X.
6.1.9 Máy do pH, có độ chính xác đến ± 0,1 đơn vị pH ở 25 °C.
6.1.10 Máy PCR nguyên lý hoạt động dựa trên việc điều chỉnh nhiệt độ của các giếng trong máy từ 4-115 °C, quá trình gia nhiệt có thể lặp đi lặp lại 30-40 lần, có thể gia nhiệt ở nắp máy lên đến 115 °C.
6.1.11 Hệ thống máy điện di ngang ADN có thể điều chỉnh cường độ dòng điện và thời gian.
6.1.12 Máy soi gel ADN tiêu chuẩn, nguyên lý hoạt động dựa trên việc quan sát ADN được nhuộm huỳnh quang dưới tia cực tím (UV).
6.1.13 Máy ly tâm cho ống eppendof (1,5-2 ml) có tốc độ quay tối đa 15000 vòng/min.
6.2 Dụng cụ
6.2.1 Bình thủy tinh có nắp vặn, có dung tích thích hợp (100 mL, 250 mL, 500 mL và 1000 mL).
6.2.2 Cốc thủy tinh, có dung tích thích hợp.
6.2.3 Ống dong nhựa có vạch chia thể tích 1 L, 500 mL
6.2.4 Ống falcon vô trùng, có nắp vặn, vô trùng và có dung tích 50 mL.
6.2.5 Que dàn mẫu, bằng thủy tinh hoặc bằng chất dẻo hoặc bằng thép.
6.2.6 Micropipet, có dung tích 10 mL, 1 mL, 0,1 mL; sử dụng đầu tip vô trùng.
6.2.7 Ống eppendof (1,5 hoặc 2 mL) làm bằng nhựa, vô trùng, hấp tiệt trùng được, chịu được lực ly tâm 20000 g.
6.2.8 Ống phản ứng PCR có thể tích 200 μL vô trùng, không chứa Dnase hoặc Rnase, không bị biến dạng khi hấp khử trùng ở 121 °C.
6.2.9 Đĩa Petri, đường kính 90 mm.
6.2.10 Lam kính, bằng thủy tinh.
6.2.11 Lamen, bằng thủy tinh.
7 Cách tiến hành
7.1 Lấy mẫu
Tiêu chuẩn này không quy định việc lấy mẫu, nên lấy mẫu theo TCVN 12105:2018 [1] .
Mẫu gửi đến phòng thử nghiệm phải là mẫu đại diện và không bị hư hỏng hoặc biến đổi trong suốt quá trình vận chuyển và bảo quản.
Mẫu sau khi được tiếp nhận ở phòng thử nghiệm được bảo quản theo khuyến cáo của nhà sản xuất nhằm đảm bảo sức sống của các tế bào vi khuẩn trong phân bón.
7.2 Các bước tiến hành
7.2.1. Chuẩn bị mẫu thử
Đối với mẫu phân bón dạng lỏng, lắc đều và dùng pipet (6.2.6) hút 10 mL, chính xác đến 10 μL vào bình thủy tinh có nắp vặn vô trùng thể tích 250 mL (6.2.1). Đối với mẫu phân bón dạng rắn, cân 10 gam, bằng cân kỹ thuật (6.1.5) cho vào bình thủy tinh có nắp vặn vô trùng thể tích 250 mL (6.2.1). Bổ sung 90 ml dung dịch pha loãng NaCl 0,85 % vô trùng, trộn 5-10 min bằng máy trộn vortex (6.1.7) để thu được độ pha loãng 10-1. Tiếp tục ủ mẫu rồi trộn 5-10 min nếu mẫu chưa đồng nhất. Mẫu sau đó được đun nóng ở 80 °C trong bể ổn nhiệt (6.1.6) trong 10 min để diệt các tế bào sinh dưỡng của vi sinh vật khác không có nội bào tử.
Mẫu pha loãng 10-1 được tiếp tục sử dụng để pha loãng ở các nồng độ thấp hơn.
Mẫu phân bón được tiếp tục pha loãng đến 10-2 - 10-8 trong dung dịch pha loãng NaCl 0,85 % với thể tích của mỗi nồng độ pha loãng là 10 ml đựng trong ống falcon vô trùng (6.2.4) hoặc bình thủy tinh thể tích phù hợp (6.2.1). Các mẫu pha loãng sẽ được sử dụng ngay để cấy trải trên môi trường dinh dưỡng không chọn lọc Nutrient agar.
CHÚ THÍCH 1: đối với một số mẫu phân bón có chất mang là tinh bột thì bỏ qua bước đun nóng ở 80 °C (nhận biết khi đun nóng mẫu, dung dịch sẽ bị hồ hóa).
CHÚ THÍCH 2: Nếu mẫu phân bón có chứa thành phần là phân vô cơ thì mẫu ban đầu nên được pha loãng theo khuyến cáo của nhà sản xuất tránh vi sinh vật bị phân bón vô cơ làm ảnh hưởng sức sống của vi khuẩn thử nghiệm. Trong trường hợp đó có thể điều chỉnh lượng phân bón ban đầu trước khi pha loãng cho phù hợp và thuận tiện cho thao tác.
7.2.2 Cấy và ủ mẫu
Sử dụng pipet (6.2.6) với đầu hút vô trùng hút 100 μL (0,1 mL) dịch đồng nhất của các mẫu pha loãng và cấy trải bằng que cấy thủy tinh (6.2.5) trên môi trường dinh dưỡng Nutrient agar, ở mỗi một nồng độ pha loãng cấy trên 3 đĩa. Sử dụng một que cấy thủy tinh (6.2.5) cho mỗi đĩa Petri.
Sau khi cấy, đĩa được ủ ở điều kiện 35 °C trong 16 - 24 h ở tủ ẩm (6.1.4). Sau thời gian ủ ấm, các khuẩn lạc phát triển trên bề mặt đĩa thạch. Quá trình nuôi ủ có thể kéo dài đến 36 h để kiểm tra lại số khuẩn lạc của mỗi nhóm trên đĩa nuôi cấy nồng độ thấp có thay đổi hay không. (2) Sau bước nuôi cấy trên, đĩa petri nồng độ thấp có thể giữ ở điều kiện 25 °C từ 20 h đến 24 h để các vân trên bề mặt khuẩn lạc phát triển rõ ràng của từng nhóm (nếu cần thiết).
7.2.3 Xác định nhóm vi khuẩn Bacillus licheniformis giả định và đếm khuẩn lạc
Lựa chọn các khuẩn lạc có hình thái của chi Bacillus sp. (là khuẩn lạc màu trắng đục hoặc trắng sữa, bề mặt gồ ghề, có thể có nếp gấp, chia thùy, có vân hoặc không vân) và phân nhóm Bacillus licheniformis giả định dựa trên sự tương đồng về hình thái.
CHÚ THÍCH: Trên môi trường không chọn lọc NA, khuẩn lạc của các loài thuộc chi Bacillus thường có màu sắc, hình thái tương tự như Bacillus licheniformis nên thường được xếp vào nhóm Bacillus lichenlformis giả định. Các nhóm khuẩn lạc này có thể được nhận diện và loại trừ bằng phép thử khẳng định.
Đếm số khuẩn lạc đơn trên đĩa thạch ở hai nồng độ pha loãng liên tiếp của mỗi nhóm Bacillus licheniformis giả định (theo mục 8.1). Bacillus licheniformis giả định sẽ được khẳng định thông qua phép thử khẳng định
7.2.4 Phép thử khẳng định
Từ mỗi nhóm Bacillus licheniformis giả định, lấy ít nhất năm khuẩn lạc để thực hiện phép thử khẳng định.
Các nhóm khuẩn lạc giả định thu được kết quả như trong Bảng 2 được xác định là Bacillus lichenirformis
Bảng 2 - Các kết quả của phép thử khẳng định
| STT | Đặc điểm | Phép thử | Kết quả | Hình |
| 1 | Đặc điểm tế bào | Hình thái tế bào | Tế bào hình que | Xem hình A.2 Phụ lục A |
| 2 | Nhuộm gram | Gram dương | Xem hình A.2 Phụ lục A | |
| 3 | Gen đặc hiệu | Gen đặc hiệu gyrA hoặc gyrB bằng phương pháp PCR | Dương tính với gen gyrA, kích thước 734 bp hoặc dương tính với gen gyrB, kích thước 613 bp | Xem hình A.3 và A.4 Phụ lục A |
Tiến hành nhuộm Gram theo mô tả trong 13637:2023 (ISO 21148:2017). Hiển thị kết quả dưới kính hiển vi quang học (6.1.8). Vi khuẩn Bacillus licheniformis là vi khuẩn gram (+) sẽ bắt màu tím hoặc xanh.
Quá trình khẳng định vi khuẩn Bacillus licheniformis bằng phương pháp PCR với mồi đặc hiệu cho gen đặc hiệu được tiến hành như sau:
Lựa chọn 05 khuẩn lạc đơn ngẫu nhiên từ mỗi nhóm khuẩn lạc Bacillus licheniformis giả định (từ đĩa của mẫu pha loãng để có nồng độ thấp) để thực hiện phép thử khẳng định. Dùng đầu tip vô trùng lấy sinh khối Bacillus licheniformis giả định từ quá trình nuôi trong môi trường dinh dưỡng lỏng hoặc trên đĩa môi trường dinh dưỡng NA để tách chiết ADN .
Quá trình tách chiết ADN của các vi khuẩn Bacillus licheniformis giả định có thể được sử dụng các bộ hóa chất tách chiết ADN vi khuẩn hoặc sử dụng các kỹ thuật tách chiết khác mà vẫn đảm bảo thu được ADN đạt chất lượng sử dụng trong phản ứng PCR (nếu phù hợp). (Xem phụ lục A4)
CHÚ THÍCH: Đối với vi khuẩn Bacillus licheniformis, việc sử dụng kỹ thuật PCR khuẩn lạc (không tách chiết DNA) là không phù hợp do không thu được kết quả ổn định.
Tiến hành chạy PCR trên máy PCR (6.1.10) với một trong hai cặp mồi đặc hiệu cho gen gyrA hoặc gyrB. Chuẩn bị phản ứng PCR đày đủ các thành phần (xem Bảng 3).
Bảng 3. Thành phần phản ứng.
| Thành phần | Thể tích (μL) |
| H2O | 7 |
| Mồi xuôi F (10 pmol/μL) | 1 |
| Mồi ngược R (10 pmol/μL) | 1 |
| Hỗn hợp phản ứng PCR (PCR MasterMix 2X) | 10 |
| ADN của khuẩn lạc được tách chiết (10 ng/μL) | 1 |
| Tổng thể tích | 20 |
CHÚ THÍCH: Hỗn hợp phản ứng PCR được chuẩn bị theo khuyến cáo của nhà sản xuất khi sử dụng sản phẩm thương mại khác.
Bảng 4. Chu trình nhiệt và thời gian cài đặt máy PCR
| Bước - số chu kỳ | Nhiệt độ | Thời gian |
| Bước 1: 1 chu kỳ | Biến tính: 95 °C | 3 min |
| Bước 2: 35 chu kỳ | Biến tính: 95 °C | 45 s |
| - Nhiệt độ gắn mồi 51 °C đối với cặp mồi Blich-gyrA - Nhiệt độ gắn mồi 53 °C đối với cặp mồi Blich-gyrB | 30 s | |
| Nhiệt độ kéo dài: 72 °C | 50 s | |
| Bước 3: 1 chu kỳ | Kéo dài: 72 °C | 5 min |
| Bước 4: 1 chu kỳ | Lưu giữ: 4 °C | Giữ ∞ |
Chu trình nhiệt phản ứng PCR được cài đặt theo thông tin trong Bảng 4. Cặp mồi Blich-gyrA_F và Blich-gyrA_R có kích thước sản phẩm 734 bp. Cặp mồi Blich-gyrB_F1 và Blich-gyrB_R1 có kích thước sản phẩm 613 bp.
CHÚ THÍCH: Trong trường hợp có sự nghi ngờ về kích thước sản phẩm của gen đặc hiệu (so sánh với đối chứng dương) hoặc có sự không thống nhất kết quả phép thừ khẳng định trên các khuẩn lạc có cùng hình thái thì tiến hành chạy PCR với cặp mồi đặc hiệu còn lại.
Phản ứng tiến hành cần có mẫu ADN của chủng chuẩn vi khuẩn Bacillus licheniformis để làm đối chứng dương cho phản ứng. Đối chứng âm (đối chứng trắng) là phản ứng PCR có đầy đủ các thành phần nhưng không bổ sung ADN khuôn và thay thế bằng nước.
Hiển thị kết quả: Chạy điện di trên gel agarose 1.5% với dòng điện có hiệu điện thế 90V trong 40 min bằng hệ thống máy điện di ngang (6.1.11). Kích thước của sản phẩm PCR được so sánh với thang ADN chuẩn kích thước 100 bp (ADN ladder). Sau chạy điện di, gel agarose được đặt dưới tia UV của máy soi gel (6.1.12). Nếu mẫu phản ứng cho sản phẩm đặc hiệu đúng kích thước của gen đặc hiệu (gyrA = 734 bp và gyrB = 613 bp) như mẫu đối chứng dương và không có sản phẩm phụ khác thì khẳng định mẫu khuẩn lạc đó là vi khuẩn Bacillus licheniformis. Nếu mẫu phản ứng không có sản phẩm đặc hiệu thì khẳng định mẫu khuẩn lạc đó không phải là Bacillus licheniformis.
8 Tính và biểu thị kết quả
8.1 Tính số lượng khuẩn lạc của mỗi nhóm Bacillus licheniformis được khẳng định
Số lượng vi khuẩn Bacillus licheniformis của một nhóm Bacillus licheniformis sau phép thử khẳng định trong mẫu thử nghiệm được tính toán theo công thức sau:

Trong đó:
M: số lượng vi khuẩn Bacillus licheniformis của mỗi nhóm Bacillus licheniformis trong một đơn vị kiểm tra, được tính bằng đơn vị hình thành khuẩn lạc trên gam hay mililit (CFU/g (/mL).
N: là tổng số khuẩn lạc của một nhóm Bacillus licheniformis giả định đếm được trên tất cả các đĩa Petri được giữ lại ở hai độ pha loãng liên tiếp (7.2.3)
0,1: là thể tích mẫu cấy trên mỗi đĩa Petri, tính bằng mililit (mL);
n1: là số đĩa Petri được giữ lại ở độ pha loãng thứ nhất;
n2: là số đĩa Petri được giữ lại ở độ pha loãng thứ hai;
d: là độ pha loãng tương ứng với dung dịch pha loãng thứ nhất được giữ lại
b: là số khuẩn lạc đã được khẳng định là Bacillus licheniformis (7.2.4)
Làm tròn kết quả tính được đến một chữ số sau dấu phẩy. Biểu thị kết quả bằng cách lấy một trong các giá trị từ 1,0 đến 9,9 nhân với 10x, trong đó X là số mũ của 10.
8.2 Tính tổng số vi khuẩn Bacillus licheniformis trong mẫu thử nghiệm
Số lượng vi khuẩn Bacillus licheniformis trong mẫu thử nghiệm bằng tổng số lượng vi khuẩn của các nhóm Bacillus licheniformis được khẳng định.
ΣM = M1 +...+ Mi
Trong đó:
ΣM: tổng số lượng vi khuẩn của các nhóm Bacillus licheniformis khẳng định được tính bằng đơn vị hình thành khuẩn lạc trên gam hay mililit (CFU/g (/mL)
i: là số nhóm vi khuẩn Bacillus licheniformis giả định được khẳng định (Điều 7.2.2-7.2.4)
- Làm tròn kết quả được tính đến một chữ số sau dấu phẩy. Biểu thị kết quả bằng cách lấy một trong các giá trị từ 1,0 đến 9,9 nhân với 10x, trong đó x là số mũ của 10.
8.3 Báo cáo kết quả trong trường hợp đặc biệt
Biểu thị kết quả trong trường hợp số đếm thấp hoặc trường hợp đặc biệt theo quy định trong TCVN 6404:2016.
9 Báo cáo thử nghiệm
Báo cáo thử nghiệm phải bao gồm ít nhất các thông tin sau:
a) mọi cả thông tin cần thiết để nhận biết đầy đủ về mẫu thử;
b) phương pháp lấy mẫu đã sử dụng nếu biết;
c) phương pháp thử nghiệm đã dùng hoặc viện dẫn tiêu chuẩn này;
d) Mọi chi tiết thao tác không quy định trong tiêu chuẩn này, cùng với các chi tiết của sự cố bất kỳ có thể ảnh hưởng đến kết quả;
e) kết quả thử nghiệm thu được.
Phụ lục A
(Tham khảo)
Đặc điểm hình thái khuẩn lạc, tế bào của Bacillus licheniformis
A.1 Đặc điểm hình thái khuẩn lạc Bacillus licheniformis

Hình A.1. Hình thái khuẩn lạc Bacillus licheniformis trên môi trường Nutrient agar, nuôi cấy ở 35 °C trong 24 giờ
A.2 Đặc điểm hình thái tế bào vi khuẩn Bacillus licheniformis khi nhuộm gram

Hình A.2. Hình ảnh nhuộm gram của vi khuẩn Bacillus licheniformis
Chú thích: Đối với vi khuẩn Gram (+) các tế bào sẽ bắt màu tím, vi khuẩn Gram (-) các tế bào sẽ có màu hồng. Vi khuẩn Bacillus licheniformis là vi khuẩn Gram (+) bắt màu xanh hoặc màu tím [5].
A.3 Đặc điểm sản phẩm PCR của gen đặc hiệu của vi khuẩn Bacillus licheniformis

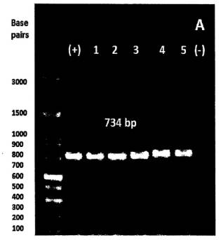
Hình A.3. Kết quả chạy điện di trên gel agarose 1,5 % sản phẩm PCR với mồi đặc hiệu của gen gyrA - 734 bp (Hình A) trên 5 khuẩn lạc giả định (1-5).
Chú thích: (+): đối chứng dương với ADN của chủng chuẩn, (-) đối chứng âm, không chứa ADN.

Hình A.4. Kết quả chạy điện di trên gel agarose 1,5 % sản phẩm PCR với mồi đặc hiệu của gen gyrB - 613 bp (Hình B) trên 5 khuẩn lạc giả định (1-5).
Chú thích: (+): đối chứng dương với ADN của chủng chuẩn, (-) đối chứng âm, không chứa ADN.
A.4 Quy trình tách chiết ADN của các khuẩn lạc đơn
Quy trình này được cải tiến dựa trên kết quả nghiên cứu của Fahad và cộng sự (2016) [6]
Quá trình tách chiết gồm các bước như sau:
+ Bước 1. Chuẩn bị đệm tách chiết: Hoà tan CTAB - Cetyltrimethylammonium bromide (0.5 g), EDTA Ethylenediaminetetraacetic acid (1 g), Tris base (2.5 g - MW:121.14), và NaCl (5 g) trong 100 mL nước cất hấp khử trùng, hoà tan ở nhiệt độ phòng.
+ Bước 2. Thu sinh khối của vi khuẩn và bổ sung 600 ul đệm chiết trong ống 2 mL, trộn đảo đều và nghiền tế bào bằng bi sắt. Tế bào cũng có thể nghiền trong 1 mL đệm chiết bằng chày cối. Tiếp tục ly tâm 10000 vòng/min, 30 giây và bổ sung 60 μL SDS 20 %, vortex. Hút dịch nồi qua ống mới và bổ sung thêm đệm chiết cho đủ 800 μL/mẫu.
+ Bước 3. Ủ mẫu ở 65 °C trong 20 min, cứ 1 - 2 min đảo trộn đều trong quá trình ủ mẫu.
+ Bước 4. Bổ sung 800 μL hỗn hợp Phenol : Chloroform : Isoamylalcohol (25:24:1) theo tỷ lệ 1:1.
+ Bước 5. Trộn đều tạo huyền phù sau đó ly tâm 13700 g, 4 °C trong 8 min.
+ Bước 6. Chuyển 500 μL dịch nổi vào ống mới (2 mL).
+ Bước 7. Bổ sung 500 μL hỗn hợp Chloroform : Isoamylalcohol (24:1) để đạt tỷ lệ 1:1, trộn đều bằng vortex.
+ Bước 6. Ly tâm ở 13700 g, 4 °C trong 10 min.
+ Bước 7. Chuyển dịch nổi vào ống mới (1.5 mL).
+ Bước 8. Bổ sung ethanol tuyệt đối với tỷ lệ 2 ethanol:1 dịch nổi thu được ở bước 7 (ethanol lạnh càng tốt), nhẹ nhàng đảo trộn đều 6-8 lần.
+ Bước 9. Ly tâm ở 10000 g, 4 °C trong 7 min.
+ Bước 10. Đổ dịch nổi, rửa kết tủa ADN với 500 μL dung dịch 70 % ethanol.
+ Bước 11. Ly tâm ở 5400 g, 4 °C, 5 min, loại bỏ dịch nổi và để mẫu khô trong không khí.
+ Bước 12. Hoà kết tủa trong 50 - 100 μL đệm TE và bảo quản ở -20 °C.
Thư mục tài liệu tham khảo
[1] TCVN 12105:2018 Phân bón vi sinh vật- Lấy mẫu. TCVN 12105:2018 Phân bón vi sinh vật - Lấy mẫu.
[2] TCVN 8736:2011 về thuốc thú y - Phương pháp định lượng tổng số bào từ Bacillus.
[3] Borshchevskaya, L. N., Kalinina, A. N., & Sineokii, S. P. (2013). Design of a PCR test based on the gyrA gene sequence for the identification of closely related species of the Bacillus subtilis group. Applied Biochemistry and Microbiology 49:646-65S.
[4] Huang, C. H., Chang, M. T., Huang, L, & Chu, W. S. (2012). Development of a novel PCR assay based on the gyrase B gene for species identification of Bacillus licheniformis. Mol Cell Probes 26:215-217. https://doi.org/10.1016/j.mcp.2012.05.001
[5] UK Standards for Microbiology Investigations: Identification of Bacillus species (2018). Bacteriology - Identification | ID 9 | Issue no: 3.1.
[6] Farhad, M.-A., J. Leila, K. N. Reza and A. Ali (2016). A Simple and Rapid System for DNA and RNA isolation from Diverse Plants Using Handmade Kit, Protocol Exchange. https://doi.org/1021203/ns.21347/v2.
Bạn chưa Đăng nhập thành viên.
Đây là tiện ích dành cho tài khoản thành viên. Vui lòng Đăng nhập để xem chi tiết. Nếu chưa có tài khoản, vui lòng Đăng ký tại đây!