- Tổng quan
- Nội dung
- Tiêu chuẩn liên quan
- Lược đồ
- Tải về
Tiêu chuẩn TCVN 14378:2025 Thuốc bảo vệ thực vật - Định lượng Streptomyces owasiensis bằng kỹ thuật đếm khuẩn lạc và khẳng định bằng giải trình tự gen
| Số hiệu: | TCVN 14378:2025 | Loại văn bản: | Tiêu chuẩn Việt Nam |
| Cơ quan ban hành: | Bộ Khoa học và Công nghệ | Lĩnh vực: | Công nghiệp , Nông nghiệp-Lâm nghiệp |
| Trích yếu: | Thuốc bảo vệ thực vật - Định lượng Streptomyces owasiensis bằng kỹ thuật đếm khuẩn lạc và khẳng định bằng giải trình tự gen | ||
|
Ngày ban hành:
Ngày ban hành là ngày, tháng, năm văn bản được thông qua hoặc ký ban hành.
|
08/10/2025 |
Hiệu lực:
|
Đã biết
|
| Người ký: | Đang cập nhật |
Tình trạng hiệu lực:
Cho biết trạng thái hiệu lực của văn bản đang tra cứu: Chưa áp dụng, Còn hiệu lực, Hết hiệu lực, Hết hiệu lực 1 phần; Đã sửa đổi, Đính chính hay Không còn phù hợp,...
|
Đã biết
|
TÓM TẮT TIÊU CHUẨN VIỆT NAM TCVN 14378:2025
Nội dung tóm tắt đang được cập nhật, Quý khách vui lòng quay lại sau!
Tải tiêu chuẩn Việt Nam TCVN 14378:2025
TCVN TIÊU CHUẨN QUỐC GIA
TIÊU CHUẨN QUỐC GIA
TCVN 14378:2025
THUỐC BẢO VỆ THỰC VẬT - ĐỊNH LƯỢNG STREPTOMYCES OWASIENSIS BẰNG KỸ THUẬT ĐẾM KHUẨN LẠC VÀ KHẲNG ĐỊNH BẰNG GIẢI TRÌNH TỰ GEN
Pesticides - Enumeration of Streptomyces owasiensis by the colony count technique and confirmation by gen sequencing
Lời nói đầu
TCVN 14378:2025 do Học viện Nông nghiệp Việt Nam biên soạn, Bộ Nông nghiệp và Môi trường đề nghị, Ủy ban Tiêu chuẩn Đo lường Chất lượng Quốc gia thẩm định, Bộ Khoa học và Công nghệ công bố.
THUỐC BẢO VỆ THỰC VẬT - ĐỊNH LƯỢNG STREPTOMYCES OWASIENSIS BẰNG KỸ THUẬT ĐẾM KHUẨN LẠC VÀ KHẲNG ĐỊNH BẰNG GIẢI TRÌNH TỰ GEN
Pesticides - Enumeration of Streptomyces owasiensis by the colony count technique and confirmation by gen sequencing
1 Phạm vi áp dụng
Tiêu chuẩn này quy định phương pháp định lượng Streptomyces owasiensis trong thuốc bảo vệ thực vật sinh học bằng kỹ thuật đếm khuẩn lạc trên môi trường thạch ISP4 và khẳng định bằng giải trình tự gen 16S rRNA.
2 Tài liệu viện dẫn
Các tài liệu viện dẫn sau là rất cần thiết cho việc áp dụng tiêu chuẩn này. Đối với tài liệu viện dẫn ghi năm công bố thì áp dụng bản được nêu. Đối với tài liệu viện dẫn không ghi năm công bố thì áp dụng phiên bản mới nhất, bao gồm cả các bản sửa đổi, bổ sung (nếu có).
TCVN 4351:1889 (ISO 3696-1987), Nước dùng để phân tích trong phòng thí nghiệm.
TCVN 6404:2016 (ISO 7218:2007), Vi sinh vật trong thực phẩm và thức ăn chăn nuôi - Yêu cầu chung và hướng dẫn kiểm tra vi sinh vật.
TCVN 8128:2015 (ISO 11133:2014), Vi sinh vật trong thực phẩm, thức ăn chăn nuôi và nước - chuẩn bị, sản xuất, bảo quản và thử hiệu năng của môi trường nuôi cấy.
3 Thuật ngữ và định nghĩa
Trong tiêu chuẩn này áp dụng các thuật ngữ và định nghĩa sau:
3.1
Streptomyces owasiensis (Streptomyces owasiensis)
Là vi khuẩn Gram dương có cấu trúc dạng hệ sợi phân nhánh, thuộc chi Streptomyces, tạo bào tử vô tính bằng cách phân cách đỉnh của khuẩn ty khí sinh (sợi sinh trưởng) thành chuỗi sinh bào tử phân đốt sau đó tách ra thành các bào tử đơn.
3.2
Gen 16S rRNA (16S rRNA gene)
Gen mã hóa cho thành phần ARN (tiểu đơn vị 30S) của ribosome ở sinh vật nhân sơ. Gen 16S rRNA có chiều dài khoảng 1500 bp bao gồm tám vùng được bảo tồn cao và 9 vùng siêu biến, cho phép xác định phát sinh loài ở sinh vật nhân sơ.
4 Nguyên tắc
Định lượng Streptomyces owasiensis bằng kỹ thuật đếm số lượng đơn vị khuẩn lạc đặc trưng trên môi trường thạch ISP4 và được khẳng định thông qua đặc điểm hình thái chuỗi sinh bào tử và phân tích gen 16S rRNA.
5 Môi trường, hóa chất
5.1 Yêu cầu chung
Sử dụng các loại hóa chất tinh khiết chuyên dùng cho phân tích vi sinh vật và theo khuyến cáo của nhà sản xuất. Chuẩn bị, sản xuất và thử hiệu năng môi trường nuôi cấy theo TCVN 8128:2015 (ISO 11133:2014).
5.2 Nước, nước cất hoặc nước có chất lượng tương đương để pha chế hóa chất, môi trường nuôi cấy vi sinh vật [xem TCVN 4851:1989 (ISO 3696-1987)].
5.3 Dung dịch muối vi lượng (Trace salts solution)
5.3.1 Thành phần
Ferrous sulphate heptahydrate (FeSO4.7H2O) 0,1 g
Manganese (II) chloride tetrahydrate (MnCl2.4 H2O) 0,1 g
Zinc sulfate heptahydrat (ZnSO4.7H2O) 0,1 g
Nước cất 100 mL
5.3.2 Chuẩn bị
Hòa tan các thành phần trên trong 100 mL nước cất. Phân phối dung dịch vào bình thủy tinh (6.2.1) có thể tích phù hợp, bảo quản ở nhiệt độ phòng.
5.4 Môi trường thạch ISP4 (Inorganic Salt starch Agar)
5.4.1 Thành phần
| Tinh bột tan (Starch Soluble) | 10,0 g |
| Dipotassium phosphate (K2HPO4) | 1,0 g |
| Magnesium sulphate heptahydrate (MgSO4.7H2O) | 1,0 g |
| Sodium chloride (NaCl) | 1,0 g |
| Ammonium sulphate ((NH4)2SO4) | 2,0 g |
| Calcium carbonate (CaCO3) | 2,0 g |
| Dung dịch muối vi lượng | 1 mL |
| Thạch (Agar) | 20,0 g |
| Nước cất | 1 000 mL |
5.4.2 Chuẩn bị
Khuấy đều 10 g tinh bột với khoảng 200 mL nước trong cốc thủy tinh (6.2.2) có dung tích phù hợp, ở nhiệt độ phòng. Tiến hành nâng nhiệt dung dịch bằng lò vi sóng (6.1.10). Trong quá trình xử lý nhiệt, cần mở cửa lò vi sóng 30 s/lần sau đó dùng đũa thủy tinh (6.2.14) khuấy trộn dung dịch để tinh bột không bị lắng cặn vón cục. Xử lý nhiệt cho đến khi dung dịch tinh bột tan hết chuyển từ màu trắng sữa sang dung dịch trong suốt đồng nhất (khoảng 70 °C đến 80 °C), dung dịch sau khi hoàn tan được để nguội ở nhiệt độ phòng. Tiến hành hòa tan các thành phần khô còn lại trong dung dịch tinh bột, bổ sung thêm 1 mL dung dịch muối vi lượng (5.3.2). Sử dụng ống đong (6.2.3) lên thể tích đúng 1 000 mL bằng nước cất. Điều chỉnh pH bằng dung dịch NaOH 1 N hoặc HCl 1 N sao cho sau khi khử trùng pH môi trường nằm trong khoảng từ 7,0 đến 7,5 (khoảng pH 7,2 đến 7,6 trước khi khử trùng) ở 25 °C.
Phân phối môi trường vào bình thủy tinh có nắp vặn (6.2.1) sao cho thể tích môi trường không được quá 70 % dung tích bình. Khử trùng 15 min trong nồi hấp áp lực (6.1.2) ở 121 °C.
Để môi trường nguội ở nhiệt độ phòng. Bổ sung chất kháng nấm vào môi trường nuôi cấy khi nhiệt độ môi trường nuôi cấy thấp hơn 50 °C. Cần trộn đều môi trường để chất kháng nấm và CaCO3 phân tán đều trong môi trường. Phân phối môi trường vào đĩa Petri (6.2.8) với thể tích khoảng 13 mL đến 15 mL trong tủ cấy vi sinh (6.1.1).
CHÚ THÍCH: Có thể bổ sung thêm một trong các chất kháng nấm: Natamycin, hymexazol, fluconazole, nystatin, dodlne với nồng độ là 100 mg/L môi trường.
5.5 Dung dịch pha loãng (dung dịch Sodium chloride 0,85%)
5.5.1 Thành phần
Sodium chloride (NaCl) 8,5 g
Nước cất 1 000 mL
5.5.2 Chuẩn bị
Hòa tan sodium chloride trong 1 000 mL nước. Phân phối vào bình thủy tinh với thể tích phù hợp (6.2.1). Không vặn chặt nắp bình và khử trùng trong nồi hấp áp lực (6.1.2) ở 121 °C trong 15 min. Sau hấp khử trùng bảo quản ở nhiệt độ phòng.
5.6 Hóa chất tách chiết ADN
Có thể sử dụng các bộ kít thương mại (nếu có) hoặc các quy trình tách chiết ADN phù hợp với điều kiện thực tế của phòng thử nghiệm và thực hiện theo hướng dẫn của nhà sản xuất.
Tham khảo quy trình tách chiết ADN trong phụ lục B.2.
5.7 Hóa chất cho phản ứng PCR
Có thể sử dụng hỗn hợp hóa chất cho phản ứng PCR pha sẵn của các hãng (PCR master mix) hoặc trộn các thành phần riêng lẻ của các hãng thương mại theo khuyến cáo của hãng (Đệm phản ứng (buffer), Magnesium chloride (MgCl2), dung dịch hỗn hợp deoxynucleotide triphosphates (dNTPs; c=2,5 mmol/L (mỗi loại)), enzyme ADN polymerase).
CHÚ THÍCH: Nên sử dụng loại PCR master mix hoặc enzyme ADN polymerase riêng lẻ là loại enzyme ADN polymerase có cơ chế sửa sai trong sao chép.
5.8 Cặp mồi oligonucleotide
Trình tự oligonucleotide của mồi 27-F và 1492-R dùng để khuếch đại vùng gen 16S rRNA trong Bảng 1
Bảng 1 - Trình tự oligonucleotide của mồi 27-F và 1492-R
| Tên mồi | Trình tự oligonucleotide (5’-3’) | Nồng độ gốc (pmol/μL) | Nhiệt độ gắn mồi (°C) | Kích thước (bp) |
| 27-F | AGAGTTTGATCCTGGCTCAG | 10 | 52 | 1 500 |
| 1492-R | GGTTACCTTGTTACG ACTT | 10 |
Trình tự mồi 27-F/1492-R được chứng minh là trình tự phù hợp để khuếch đại vùng gen 16S rRNA của sinh vật nhân sơ[4;5].
5.9 Hóa chất chạy điện di
5.9.1 Dung dịch TAE 1X
Có thể sử dụng hỗn hợp hóa chất pha sẵn TAE 1X của các hãng hoặc trộn các thành phần hóa chất riêng lẻ được tiến hành như sau:
Dung dịch TAE 1X được pha từ dung dịch gốc TAE 50X bao gồm:
5.9.1.1 Thành phần
- Thành phần dung dịch gốc TAE 50X
Tris-base (C4H11NO3) 242 g
Axit glacial acid/ Axit acetic (C2H4O2) (100%) 57,1 mL
EDTA 0,5 M (C10H16N2O8) (pH 8,0) 100 mL
Nước cất 1 000 mL
5.9.1.2 Chuẩn bị
- Chuẩn bị 1 000 mL dung dịch gốc TAE 50X: Hòa tan các thành phần trên trong cốc thủy tinh (6.2.2) và lên thể tích 1 000 mL bằng nước cất (5.2). Phân phối vào bình thủy tinh (6.2.1) và bảo quản ở nhiệt độ phòng.
- Chuẩn bị 1 000 mL dung dịch TAE 1X: Hòa tan 20 mL dung dịch TAE 50X vào 980 mL nước cất (5.2) trong cốc thủy tinh (6.2.2). Trộn đều dung dịch và phân phối vào bình thủy tinh (6.2.1) và bảo quản ở nhiệt độ phòng.
5.9.2 Agarose
Sử dụng theo khuyến cáo của nhà sản xuất.
5.9.3 Dung dịch nhuộm ADN (RedSafe hoặc Ethidium Bromide)
Sử dụng theo khuyến cáo của nhà sản xuất.
5.9.4 Thang chuẩn ADN 1500 bp
Sử dụng theo khuyến cáo của nhà sản xuất.
6 Thiết bị, dụng cụ
Sử dụng các thiết bị, dụng cụ của phòng thử nghiệm vi sinh thông thường [xem TCVN 6404:2016 (ISO 7218:2007)] và cụ thể như sau:
6.1 Thiết bị
6.1.1 Tủ cấy vi sinh vật, đảm bảo độ vô trùng.
6.1.2 Nồi hấp áp lực, có khả năng duy trì nhiệt độ (121 ± 3) °C, tương đương áp suất tối thiểu
101,3 kPa.
6.1.3 Tủ sấy, thông gió đối lưu, có khả năng sấy ở nhiệt độ lên tới 70 °C ± 1 °C.
6.1.4 Tủ ấm, thông gió đối lưu, có khả năng duy trì nhiệt độ từ (25 đến 37) °C ± 1 °C.
6.1.5 Cân kỹ thuật, có thể cân chính xác đến 0,01 g.
6.1.6 Bể ổn nhiệt, có khả năng điều chỉnh nhiệt độ nhiệt độ lên đến (99 ± 1) °C.
6.1.7 Máy trộn vortex, có khả năng khuấy trộn mẫu đồng đều.
6.1.8 Kính hiển vi quang học, có vật kính 4X, 10X, 40X và vật kính dầu 100X.
6.1.9 Máy đo pH, có bù nhiệt, độ chính xác đến ±0,1 đơn vị ở 25°C.
6.1.10 Lò vi sóng, có dung tích 20 L đến 35 L.
6.1.11 Máy lắc, tốc độ lắc tối đa đạt 300 r/min, lắc tròn, điều chỉnh nhiệt độ 15 °C đến 60 °C ± 2 °C
6.1.12 Máy phá vỡ tế bào, có thể phá vỡ tế bào vi sinh vật, dung tích phá mẫu từ 200 μL đến 50 mL.
6.1.13 Máy li tâm, có khả năng điều chỉnh tốc độ quay tối đa 14 000 r/min và nhiệt độ đến (4 ± 1) °C.
6.1.14 Máy đo nồng độ ADN, có khả năng đo mẫu vi thể tích (1 μL), bước sóng bao phủ được 260 nm và 280 nm.
6.1.15 Máy PCR, có khả năng khuếch đại được ADN của mẫu.
6.1.16 Hệ thống máy điện di ngang ADN, có thể điều chỉnh cường độ dòng điện và thời gian.
6.1.17 Máy chụp ảnh gel điện di, có nguồn sáng tia tử ngoại (UV-light base).
6.2 Dụng cụ
Các dụng cụ sử dụng trong nuôi cấy vi sinh vật phải được khử trùng ở điều kiện 121 °C, 15 min, sử dụng nồi hấp áp lực (6.1.2) và sấy khô bằng tủ sấy (6.1.3) trước khi tiến hành thử nghiệm.
6.2.1 Bình cấy hoặc bình thủy tinh, có dung tích thích hợp, có nút đậy kín hoặc nắp vặn thích hợp.
6.2.2 Cốc thủy tinh, có vạch chia thể tích và dung tích thích hợp.
6.2.3 Ống đong, có vạch chia thể tích và dung tích thích hợp.
6.2.4 Ống falcon, có nắp vặn và dung tích thích hợp.
6.2.5 Que dàn mẫu, bằng thủy tinh hoặc kim loại có thể tiệt trùng.
6.2.6 Micropipet, có thể phân phối 0,05 mL ± 0,002 mL, 0,1 mL ± 0,02 mL, 1,0 mL ± 0,02 mL và 10 mL ± 0,2mL.
6.2.7 Ống PCR, bằng nhựa chịu nhiệt, thành mỏng, dung tích 0,2 mL.
6.2.8 Đĩa Petri, bằng chất dẻo hoặc thủy tinh không màu, trong suốt, đường kính 90 mm, chiều sâu tối thiểu là 10 mm hoặc dĩa có đường king 200 mm, cao 30 mm.
6.2.9 Lam kính, bằng thủy tinh chịu nhiệt, trong suốt, kích thước (25 x 75) mm, dày 1 mm đến 1,2 mm.
6.2.10 Lamen kính, bằng thủy tinh, trong suốt, kích thước (22 x 22) mm, dày 0,13 mm đến 0,16 mm.
6.2.11 Ống ly tâm 1,5 mL, bằng nhựa chịu nhiệt, dung tích 1,5 mL, có vạch chia đến 0,5 mL; 1 mL; 1,5 mL.
6.2.12 Ống ly tâm 2 mL, bằng nhựa chịu nhiệt, dung tích 2 mL, có vạch chia đến đến 0,5 mL; 1 mL; 1,5 mL; 2 mL.
6.2.13 Que cấy, bằng nhựa hoặc kim loại, đầu tròn.
6.2.14 Đũa thủy tinh, chịu nhiệt, đường kính 6mm, chiều dài thích hợp.
6.2.15 Nhíp gắp mẫu, bằng thép không gỉ, phủ sơn chống tĩnh điện, chiều dài thích hợp.
6.2.16 Đầu hút vô trùng các loại, có khả năng chịu nhiệt.
7 Lấy mẫu
Việc lấy mẫu không quy định trong tiêu chuẩn này, nên lấy mẫu theo TCVN 12017:2017.
Mẫu gửi đến phòng thử nghiệm phải là mẫu đại diện và không bị hư hỏng hoặc biến đổi trong suốt quá trình vận chuyển hoặc bảo quản.
8 Cách tiến hành
8.1 Pha loãng mẫu thử
Dùng cân kỹ thuật (6.1.5) cân 10 g mẫu hoặc dùng micropipet (6.2.6) với đầu hút vô trùng (6.2.16) hút 10 mL mẫu cho vào bình thủy tinh (6.2.1) chứa 90 mL dung dịch pha loãng NaCl 0,85 % (5.5.2). Trộn đều mẫu bằng máy trộn vortex (6.1.7) cho đến khi mẫu đồng nhất. Dung dịch trên sau khi các phần tử nặng lắng xuống được gọi là dung dịch huyền phù ban đầu có độ pha loãng 10-1.
Dùng micropipet (6.2.6) với đầu hút vô trùng (6.2.16) hút 1 mL dịch huyền phù ban đầu cho vào ống falcon (6.2.4) hoặc bình thủy tinh (6.2.1) chứa 9 mL dung dịch pha loãng NaCl 0,85 % (5.5.2).Tránh chạm đầu hút vào dung dịch pha loãng. Trộn kỹ trên máy trộn vortex (6.1.7) khoảng 10 s, dung dịch thu được có độ pha loãng 10-2. Lặp lại quy trình để thu được dung dịch có các độ pha loãng thập phân tiếp theo. Mẫu thử nghiệm được tiếp tục pha loãng đến độ pha loãng phù hợp.
CHÚ THÍCH: Hoạt hóa mẫu theo hướng dẫn của nhà sản xuất để đảm bảo kết quả chính xác, nếu có.
8.2 Cấy và ủ mẫu
Sử dụng micropipet (6.2.6) với đầu hút vô trùng (6.2.16) hút 0,1 mL dung dịch mẫu ở các độ pha loãng cho vào mỗi đĩa Petri (6.2.8) chứa môi trường thạch ISP4 (5.4.2). Mỗi nồng độ thực hiện 2 đĩa.
Dùng que dàn mẫu (6.2.5) dàn đều dịch cấy trên bề mặt đĩa thạch càng nhanh càng tốt. Sử dụng que dàn mẫu vô trùng cho mỗi đĩa. Đậy nắp dĩa và để ở nhiệt độ phòng trong khoảng 15 min để dịch cấy hấp thụ vào bề mặt thạch.
Lập úp các đĩa đã chuẩn bị và nuôi trong tủ ấm (6.1.4) ở 30 °C ± 2 °C trong 6 đến 8 ngày.
8.3 Đếm và nhận diện khuẩn lạc
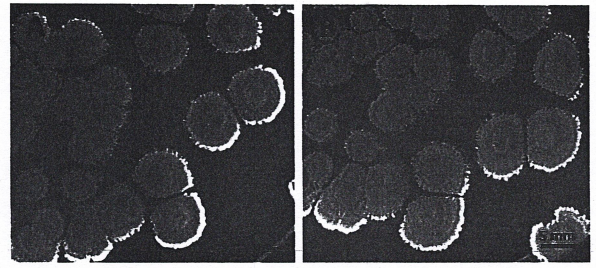
Trên môi trường ISP4, Streptomyces owasiensis giả định có các đặc điểm: Khuẩn lạc tạo vòng phân giải CaCO3, bề mặt khuẩn lạc khô xù xì dạng lỗ tổ ong và có xuất hiện vòng tròn đồng tâm, khuẩn ty khí sinh màu xám, có viền dạng tia xạ màu trắng; khuẩn ty cơ chất màu trắng sữa (xem Hình 1).

Hình 1 - Hình thái khuẩn lạc Streptomyces owasiensis trên môi trường ISP4 sau 6 ngày nuôi cấy ở 30 °C ± 2 °C; (A) Hình thái khuẩn lạc Streptomyces owasiensis mặt trước; (B) Hình thái khuẩn lạc Streptomyces owasiensis mặt sau.
CHÚ THÍCH: Thời gian phù hợp nhất để quan sát hình thái khuẩn lạc đặc trưng là sau 6 ngày nuôi cấy. Quá trình nuôi ủ có thể kéo dài đến 8 ngày để kiểm tra lại đặc điểm hình thái và số lượng khuẩn lạc. Tuy nhiên, đặc điểm viền dạng tia xạ màu trắng của khuẩn lạc có thể chuyển sang màu xám khi nuôi kéo dài hơn 6 ngày (ngày thứ 7, ngày thứ 8) hoặc khi các khuẩn lạc ở vị trí sát cạnh nhau (xem Hình B.1 của phụ lục B.1).
Đếm các khuẩn lạc Streptomyces owasiensis giả định ở hai độ pha loãng liên tiếp, trên các đĩa Petri có chứa từ 10 đến 150 khuẩn lạc.
Khuẩn lạc Streptomyces owasiensis giả định được khẳng định thông qua phép thử khẳng định.
8.4 Phép thử khẳng định
Từ các đĩa Petri đã chọn (8.3), lấy ít nhất 05 khuẩn lạc Streptomyces owasiensis giả định để thực hiện phép thử khẳng định.
8.4.1 Xác định đặc điểm hình thái chuỗi sinh bào tử
Dùng que cấy đầu tròn (6.2.13) lấy sinh khối bằng cách chấm một vòng que cấy từ các khuẩn lạc Streptomyces owasiensis giả định cấy ria trên đĩa Petri chứa môi trường thạch ISP4 (5.4.2). Sau đó, dùng nhíp gắp mẫu (6.2.15) kẹp từng phiến lamen kính (6.2.10) cắm (găm) nghiêng 45° tại đường cấy ria trên đĩa thạch. Nuôi ủ các đĩa trong tủ ấm (6.1.4) ở 30 °C ± 2°C. Sau 3 ngày nuôi cấy, các lamen có chứa các khuẩn ty khí sinh bám trên bề mặt được rút lên bằng nhíp gắp mẫu (6.2.15). Nhỏ 50 μL đến 80 μL nước cất lên lam kính (6.2.9), đặt lamen úp từ từ xuống lam kính, tránh có bọt khí.
Soi tiêu bản trên kính hiển vi quang học (6.1.8), tiến hành quan sát hình thái chuỗi sinh bào tử trên kính hiển vi dưới vật kính 40X. Streptomyces owasiensis giả định nghi ngờ là Streptomyces owasiensis cho kết quả về đặc điểm chuỗi sinh bào tử dạng đặc trưng là xoắn ốc đơn (Simple spira)[6], (xem Hình A.1 Phụ lục A.1).
8.4.2 Xác định Streptomyces owasiensis bằng phương pháp giải trình tự gen
8.4.2.1 Tách chiết ADN
Sử dụng các quy trình tách chiết ADN phù hợp với điều kiện thực tế của phòng thử nghiệm hoặc các bộ kít tách chiết ADN thương mại (nếu có) và thực hiện theo hướng dẫn của nhà sản xuất.
Tham khảo quy trình tách chiết ADN tại phụ lục B.2.
ADN sau tách chiết được xác định hàm lượng và độ tinh sạch sử dụng phương pháp đo quang phổ bằng máy đo nồng độ ADN (6.1.14) và điện di trên gel agarose 1,0 %. Nồng độ ADN thu được tối thiểu đạt 20 ng trong 1 μl dịch ADN, giá trị A260/280 ≥ 1,8, A260/230 trong khoảng 2,0 đến 2,2.
8.4.2.2 Khuếch đại gen 16S rRNA bằng phản ứng PCR
Thực hiện phản ứng khuếch đại đoạn gen 16S rRNA trong ống PCR (6.2.7) (xem Bảng 2 và Bảng 3) với cặp mồi oligonucleotit (xem Bảng 1) đối với các Streptomyces owasiensis giả định (8.3).
Bảng 2 - Thành phần phản ứng PCR
| Thành phần | Nồng độ gốc | Thể tích (μL) |
| Nước dùng cho phản ứng PCR | - | 15,0 |
| Hỗn hợp phản ứng PCR (PCR MasterMix 2X) | 2 x | 25,0 |
| Mồi xuôi 27-F | 10 pmol/μL | 2,5 |
| Mồi ngược 1492-R | 10 pmol/μL | 2,5 |
| ADN khuôn | 10 ng/μL | 5,0 |
| Tổng thể tích | 50 | |
Trộn đều hỗn hợp phản ứng bằng micropipet (6.2.6), sau đó ly tâm nhanh trong 3s đến 5s.
CHÚ THÍCH: Thực hiện quy trình PCR luôn phải có mẫu đối chứng trắng (ADN khuôn được thay bằng nước) để kiểm tra nhiễm tạp.
Bảng 3 - Chương trình nhiệt độ và thời gian
| Bước | Nhiệt độ | Thời gian | Chu kỳ |
| 1 | 95,0 °C | 5 min | 1 |
| 2 | 95,0 °C | 1 min | 35 |
| 52,0 °C | 45 s | ||
| 72,0 °C | 90 s | ||
| 3 | 72,0 °C | 10 min | 1 |
| 4 | 20,0 °C | Giữ 03 | ∞ |
8.4.2.3 Điện di sản phẩm PCR
Hút 10 μL sản phẩm PCR trộn đều với 2 μL loading dye, hỗn hợp được kiểm tra bằng cách điện di trên gel agarose 1,0 % trong đệm TAE 1X (5.9.1.2), dòng điện có hiệu điện thế 80 V trong 45 min bằng hệ thống máy điện di ngang (6.1.16) và chụp ảnh bằng máy chụp ảnh gel điện di (6.1.17).
Sản phẩm PCR khuếch đại gen 16S rRNA có kích thước tương ứng khoảng 1500 bp (xem Hình A.2 phụ lục A.2)
8.4.2.4 Giải trình tự gen 16S rRNA
Sản phẩm PCR khuếch đại thành công đoạn gen 16S rRNA (=1500 bp) đối với các Streptomyces owasiensis giả định được gửi đi giải trình tự hai chiều với mồi xuôi 27-F và mồi ngược 1492-R (xem Bảng 1) tại các đơn vị có áp dụng Thực hành tốt phòng thí nghiệm hoặc các chứng nhận tương đương như TCVN ISO/IEC 17025:2017 (ISO/IEC 17025:2017).
8.4.2.5 Phân tích dữ liệu giải trình tự và lắp ráp trình tự
Dữ liệu sau khi giải trình tự được phân tích bằng các phần mềm tin sinh học chuyên dụng, cắt bỏ các vùng có chất lượng thấp hoặc tín hiệu không rõ ràng. Trình tự khi sử dụng mồi ngược 1492-R cần đảo ngược trình tự trước khi căn chỉnh trình tự.
Lắp ráp trình tự để tạo thành một trình tự duy nhất (consensus sequence) trước khi thực hiện so sánh trình tự.
CHÚ THÍCH 1: Vùng đầu (khoảng 15 bp đến 40 bp đầu tiên) và vùng cuối (khoảng 50 bp cuối) của trình tự gen 16S rRNA là vùng bám của mồi, tín hiệu yếu hoặc chồng lấn (nhiễu), thường có chất lượng thấp và nên được cắt bỏ trước lắp ráp và so sánh trình tự.
CHÚ THÍCH 2: Tại những vị trí nucleotit không đồng nhất khi lắp ráp mồi xuôi và mồi ngược thì cần xác minh lại các vị trí đó hoặc tiến hành giải trình tự lại để khẳng định chính xác nucleotit.
8.4.2.6 So sánh trình tự
Mức độ tương đồng của đoạn gen 16S rRNA của các Streptomyces owasiensis giả định được so sánh với các trình tự nucleotit tham chiếu trên ngân hàng gen bằng công cụ BLAST. Cụ thể:
- Tại cửa sổ “Enter Query Sequence = nhập dữ liệu truy vấn” tiến hành nhập chuỗi trình tự.
- Tại cửa sổ “program selection = chọn chương trình”, chọn “highly similar sequences” để tìm các chuỗi có mức tương đồng cao.
- Các thông số khác để chế độ mặc định
- Cuối cùng, bấm nút “BLAST” để tìm chuỗi.
8.4.2.7 Phân tích kết quả
Kết quả xác định Streptomyces owasiensis dựa trên kết quả so sánh trình tự gen 16S rRNA được công nhận như sau:
“Percent identity = phần trăm tương đồng”: từ 99 % trở lên
“Query coverage = tỷ lệ bao phủ”: từ 95 % trở lên
8.4.3 Khẳng định
Các kết quả của phép thử khẳng định được nêu trong Bảng 4. Các khuẩn lạc giả định như sau được xác định là Streptomyces owasiensis.
Bảng 4 - Các kết quả của phép thử khẳng định
| STT | Phép thử | Kết quả | Hình |
| 1 | Đặc điểm hình thái chuỗi sinh bào tử | Chuỗi sinh bào tử dạng xoắn ốc đơn (Simple spira) | Xem Hình A.1 của phụ lục A.1 |
| 2 | Kết quả so sánh trình tự tương đồng của gen 16S rRNA bằng công cụ BLAST | Tỷ lệ phần trăm tương đồng “Percent identity” trình tự nucleotide gen 16S rRNA của khuẩn lạc giả định với trình tự nucleotide gen 16S rRNA của các chủng Streptomyces owasiensis đã được công bố trên ngân hàng gen ≥ 99 % với tỷ lệ bao phủ “Query coverage” ≥ 95 %. |
|
9 Tính và biểu thị kết quả
Số lượng khuẩn lạc Streptomyces owasiensis, a, trên mỗi đĩa Petri được tính theo Công thức (1):
![]()
Trong đó:
b là số lượng khuẩn lạc Streptomyces owasiensis giả định cho thấy có đặc điểm như phép thử khẳng định;
A là số lượng khuẩn lạc Streptomyces owasiensis giả định được lấy để thực hiện phép thử khẳng định;
C là tổng, số khuẩn lạc Strepiomyces ovsasiensis giả định đếm được trên đĩa Petri.
Kết quả được làm tròn đến số nguyên gần nhất.
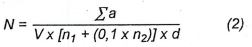
- Số lượng Streptomyces owasiensis, N, trong một đơn vị kiểm tra, được tính bằng đơn vị hình thành khuẩn lạc trên gam (CFU/g) hoặc trên mililit (CPU/mL), đã được nhận dạng hoặc khẳng định có trong mẫu thử được tính theo Công thức (2):
![]()
Trong đó:
là tổng số khuẩn lạc Streptomyces owasiensis đếm được trên tất cả các đĩa Petri được giữ lại ở hai độ pha loãng liên tiếp, a tính được từ Công thức (1);
V là thể tích mẫu cấy trên mỗi đĩa Petri, tính bằng mililit (mL);
n1 là số dĩa Petri được giữ lại ở độ pha loãng thứ nhất;
n2 là số đĩa Petri được giữ lại ở độ pha loãng thứ hai;
d là độ pha loãng tương ứng với dung dịch pha loãng thứ nhất được giữ lại.
Biểu thị kết quả dưới dạng a x 10x, trong đó 1,0 ≤ a < 10 và hệ số a có hai chữ số có nghĩa, x là số mũ của 10.
Biểu thị kết quả trong trường hợp số đếm thấp hoặc trường hợp đặc biệt theo quy định trong TCVN 6404:2016 (ISO 7218:2007).
10 Báo cáo thử nghiệm
Báo cáo thử nghiệm phải bao gồm ít nhất các thông tin sau:
a) Mọi thông tin cần thiết để nhận biết đầy đủ về mẫu thử;
b) Phương pháp lấy mẫu đã sử dụng, nếu biết;
c) Phương pháp thử đã sử dụng, viện dẫn tiêu chuẩn này;
d) Mọi chi tiết thao tác không quy định trong tiêu chuẩn này, hoặc được coi là tùy chọn, cùng với mọi tình huống bất thường có thể ảnh hưởng đến kết quả;
e) Kết quả thử nghiệm thu được.
Phụ lục A
(Quy định)
Kết quả phép thử khẳng định Streptomyces owasiensis
A.1 Đặc điểm hình thái chuỗi sinh bào tử của Streptomyces owasiensis

Hình A.1 - Đặc điểm hình thái chuỗi sinh bào tử của chủng Streptomyces owasiensis NBRC 13832 sau 3 ngày nuôi cấy trên môi trường ISP4 ở 30 ± 2 °C
A.2 Sản phẩm PCR với cặp mồi 27-F/1492-R khuếch đại gen 16S rRNA của Streptomyces owasiensis giả định

Hình A.2 - Kết quả điện di sản phẩm PCR khuếch đại vùng gen 16S rRNA lấy từ 05 khuẩn lạc xạ khuẩn Streptomyces owasiensis giả định
CHÚ THÍCH: M: Thang chuẩn ADN 1 500 bp; ĐC: Đối chứng trắng ADN khuôn được thay bằng nước
A.3 Kết quả giải trình tự của sản phẩm PCR khuếch đại gen 16S rRNA
Kết quả thực nghiệm giải trình tự vùng gen 16S rRNA của chủng Streptomyces owasiensis NBRC 13832
>1 st_BASE_5076562_S. Owasiensis NBRC 13832_ 16S rRNA

A.4 Kết quả so sánh trình tự gen 16S rRNA của Streptomyces owasiensis NBRC 13832 với các trình tự nucleotit tham chiếu trên ngân hàng gen bằng công cụ BLAST

Hình A.3 - Kết quả so sánh trình tự gen 16S rRNA của Streptomyces owasiensis NBRC 13832 với các trình tự nucleotit tham chiếu trên ngân hàng gen (mức độ tương đồng ≥ 99%)
Phụ lục B
(Tham khảo)
B.1 Hình thái khuẩn lạc Streptomyces owasiensis NBRC 13832

Hình B.1 - Ảnh hưởng của thời gian nuôi cấy, vị trí đến hình thái khuẩn lạc Streptomyces owasiensis NBRC 13832 trên môi trường ISP4 ở 30 °C ± 2 °C
CHÚ THÍCH: (A) Sau 7 ngày nuôi cấy ; (B) Sau 8 ngày nuôi cấy.

B.2 - Ảnh đĩa thạch phân lập từ mẫu phối trộn hai chủng Streptomyces owasiensis NBRC 13832 với chủng Streptomyces deccanensis VNUA30 trên môi trường ISP4 sau 6 ngày nuôi cấy ở 30 °C ± 2 °C
CHÚ THÍCH: (A) Hình thái các khuẩn lạc mặt trước; (B) Hình thái khuẩn lạc mặt sau

B.3- Ảnh đĩa thạch phân lập từ mẫu phối trộn hai chủng Streptomyces owasiensis NBRC 13832 với chủng Streptomyces parvulus VNUA74 trên môi trường ISP4 sau 6 ngày nuôi cấy ở 30 °C ± 2 °C.
CHÚ THÍCH: (A) Hình thái các khuẩn lạc mặt trước; (B) Hình thái khuẩn lạc mặt sau.
B.2 Phương pháp tách chiết ADN
B.2.1 Hóa chất
B.2.1.1 Đệm CTAB
B.2.1.1.1 Thành phần
| Cetyltrimethylammonium bromide (CTAB) | 0,5 g |
| Ethylenediaminetetraacetic acid (EDTA) | 1,0 g |
| Tris (hydroxymethyl) aminomethane (Tris-base) | 2,5 g |
| Sodium chloride (NaCl) | 5,0 g |
| Nước cất | 100 mL |
B.2.1.1.2 Chuẩn bị
Hòa tan các thành phần trên trong cốc thủy tinh (6.2.2) và lên thể tích 100 mL bằng nước cất. Phân phối vào bình thủy tinh (6.2.1) và khử trùng bằng nồi hấp áp lực (6.1.2) ở 121 oC, 15 min. Làm nguội và bảo quản ở nhiệt độ phòng.
B.2.1.2 Phenol:Chloroform:lsoamylalcohol (25:24:1)
B.2.1.2.1 Thành phần
Phenol 25 mL
Chloroform 24 mL
Isoamylalcohol 1 mL
B.2.1.2.2 Chuẩn bị
Hòa tan các thành phần trên trong bình thủy tinh (6.2.1) có thể tích phù hợp, vặn chặt nắp và bảo quản ở nhiệt độ phòng.
B.2.1.3 Chloroform:lsoamylalcohol (24:1)
B.2.1.3.1 Thành phần
Chloroform 24 mL
Isoamylalcohol 1 mL
B.2.1.3.2 Chuẩn bị
Hòa tan các thành phần trên trong bình thủy tinh (6.2.1) có thể tích phù hợp, vặn chặt nắp và bảo quản ở nhiệt độ phòng.
B.2.1.4 Các hóa chất khác
- Ethanol;
- Đệm TE (10 mM Tris-HCl; 1 mM EDTA);
- Agarose.
B.2.2 Cách tiến hành
Tiến hành lấy (50 đến 100) mg sinh khối xạ khuẩn trên đĩa Petri vào ống ly tâm 2 mL (6.2.12) bằng cách dùng que cấy (6.2.13) đã khử trùng gạt lấy sinh khối trên bề mặt khuẩn lạc xạ khuẩn đã được nuôi trên môi trường ISP4 trong 6 ngày đến 8 ngày ở 30 °C ± 2°C . Bổ sung thêm 1mL đệm chiết CTAB (5.6.1.2), phá vỡ tế bào xạ khuẩn bằng máy phá vỡ tế bào (6.1.12) sau đó chuyển dịch sang ổng ly tâm 2 mL (6.2.12) . Ủ mẫu trong bể ổn nhiệt (6.1.6) ở 65 °C trong 20 min. Trong quá trình ủ cứ 5 min đảo trộn mẫu một lần. Mẫu sau khi ủ được bổ sung hỗn hợp Phenol:Chloroform:lsoamy Alcohol (25:24:1) (5.6.2.2) theo tỷ lệ 1:1 (tính theo thể tích đệm thu được so với hỗn hợp (25:24:1)). Trộn đều dịch tạo huyền phù sau đó ly tâm 13 700 vòng/min ở 4 °C trong 8 min. Hút dịch nổi phía trên chuyển sang ống ly tâm 2 mL (6.2.12) . Bổ sung hỗn hợp Chloroform : isoamyalcohol (24:1) (5.6 3.2) theo tỷ lệ 1:1 (tính theo thể tích dịch thu được so với hỗn hợp (24:1)), trộn đều bằng máy trộn vortex (6.1.7). Ly tâm ở 13 000 vòng/min ở 4 °C trong 10 min, hút dịch nổi vào ống ly tâm 1,5 mL (6.2.11). Bổ sung ethanol tuyệt đối với tỷ lệ 1:2 (tính theo thể tích dịch thu được so với ethanol), đảo trộn nhẹ nhàng đều (6 đến 8) lần. Ly tâm ở 10 000 vòng/min, ở 4 °C trong 7 min. Loại bỏ dịch nổi, rửa kết tủa ADN với 500 μL dung dịch ethanol 70 %. Ly tâm ở 5 400 vòng/min, ở 4°C trong 5 min, loại bỏ dịch nổi, để khô trong không khí khoảng (10 đến 15) min. Hòa tan kết tủa trong (50 đến 100) μL đệm TE và bảo quản ở -20 °C.
CHÚ THÍCH 1: Nếu không có sẵn Phenol:Chloroform:lsoamylalcohol (25:24:1), có thể thay thế bằng dung dịch Chloroform:lsoamylalcohol (24:1).
CHÚ THÍCH 2: Sau khi bổ sung etanol, ủ ở - 20 °C ít nhất 30 min, có thể ủ qua đêm để tăng hiệu quả kết tủa ADN.
CHÚ THÍCH 3: Có thể sử dụng Isopropanol thay thế Etanol và sử dụng với tỷ lệ 1:1 so với dịch nổi chứa ADN. Ủ ở nhiệt độ phòng.
Thư mục tài liệu tham khảo
[1] TCVN 6507-1 (ISO 6687-1), Vi sinh vật trong thực phẩm và thức ăn chăn nuôi - Chuẩn bị mẫu thử, huyền phù ban đầu và các dung dịch pha loãng thập phân để kiểm tra vi sinh vật - Phần 1: Các nguyên tắc chung để chuẩn bị huyền phù ban đầu và các dung dịch pha loãng thập phân
[2] TCVN 12017:2017, Thuốc bảo vệ thực vật - Lấy mẫu.
[3] TCVN 4884-1:2015 (ISO 4833-1:2013), Vi sinh vật trong chuỗi thực phẩm - Phương pháp định lượng vi sinh vật - Phần 1: Đếm khuẩn lạc ở 30 độ C bằng kỹ thuật đổ đĩa.
[4] Weisburg, W. G., Bams, S. M., Pelletier, D. A., & Lane, D. J. (1991). 16S ribosomal DNA amplification for phylogenetic study. Journal of bacteriology, 173(2), 697-703.
[5] Qi, D., Liu, Q., Zou, L., Zhang, M., Li, K-, Zhao, Y.,... & Xie, J. (2024). Taxonomic identification and antagonistic activity of Streptomyces luomodiensis sp. nov. against phytopathogenic fungi. Frontiers in Microbiology, 15, 1402653.
[6] Shirling, E. T., & Gottlieb, D. (1966). Methods for characterization of Streptomyces species. International journal of systematic bacteriology, 16(3), 313-340.
[7] Crossley BM, Bai J, Glaser A, Maes R, Porter E, Killian ML, Clement T, Toohey-Kurth K(2020). Guidelines for Sanger sequencing and molecular assay monitoring. J Vet Diagn Invest. 32(6):767-775.
Bạn chưa Đăng nhập thành viên.
Đây là tiện ích dành cho tài khoản thành viên. Vui lòng Đăng nhập để xem chi tiết. Nếu chưa có tài khoản, vui lòng Đăng ký tại đây!