- Tổng quan
- Nội dung
- VB gốc
- Tiếng Anh
- Hiệu lực
- VB liên quan
- Lược đồ
-
Nội dung hợp nhất
Tính năng này chỉ có tại LuatVietnam.vn. Nội dung hợp nhất tổng hợp lại tất cả các quy định còn hiệu lực của văn bản gốc và các văn bản sửa đổi, bổ sung, đính chính... trên một trang. Việc hợp nhất văn bản gốc và những văn bản, Thông tư, Nghị định hướng dẫn khác không làm thay đổi thứ tự điều khoản, nội dung.
Khách hàng chỉ cần xem Nội dung hợp nhất là có thể nắm bắt toàn bộ quy định hiện hành đang áp dụng, cho dù văn bản gốc đã qua nhiều lần chỉnh sửa, bổ sung.
- Tải về
Quyết định 1314/QĐ-BYT Hướng dẫn chẩn đoán, điều trị và dự phòng bệnh lao
| Cơ quan ban hành: | Bộ Y tế |
Số công báo:
Số công báo là mã số ấn phẩm được đăng chính thức trên ấn phẩm thông tin của Nhà nước. Mã số này do Chính phủ thống nhất quản lý.
|
Đang cập nhật |
| Số hiệu: | 1314/QĐ-BYT | Ngày đăng công báo: | Đang cập nhật |
| Loại văn bản: | Quyết định | Người ký: | Nguyễn Trường Sơn |
|
Ngày ban hành:
Ngày ban hành là ngày, tháng, năm văn bản được thông qua hoặc ký ban hành.
|
24/03/2020 |
Ngày hết hiệu lực:
Ngày hết hiệu lực là ngày, tháng, năm văn bản chính thức không còn hiệu lực (áp dụng).
|
Đã biết
|
|
Áp dụng:
Ngày áp dụng là ngày, tháng, năm văn bản chính thức có hiệu lực (áp dụng).
|
Đã biết
|
Tình trạng hiệu lực:
Cho biết trạng thái hiệu lực của văn bản đang tra cứu: Chưa áp dụng, Còn hiệu lực, Hết hiệu lực, Hết hiệu lực 1 phần; Đã sửa đổi, Đính chính hay Không còn phù hợp,...
|
Đã biết
|
| Lĩnh vực: | Y tế-Sức khỏe |
TÓM TẮT QUYẾT ĐỊNH 1314/QĐ-BYT
Ngày 24/3/2020, Bộ Y tế đã ra Quyết định 1314/QĐ-BYT về việc ban hành Hướng dẫn chẩn đoán, điều trị và dự phòng bệnh lao.
Cụ thể, lao là một bệnh truyền nhiễm do vi khuẩn lao (Mycobacterium tuberculosis) gây nên. Bệnh lao có thể gặp ở tất cả các bộ phận của cơ thể, trong đó lao phổi là thể lao phổ biến nhất (chiếm 80 – 85% tổng số ca bệnh) và là nguồn lây chính cho người xung quanh. Người nghi lao phổi khi có các triệu chứng sau: Ho kéo dài trên 2 tuần (ho khan, ho có đờm, ho ra máu) là triệu chứng nghi lao quan trọng nhất; Gầy sút, kém ăn, mệt mỏi; Sốt nhẹ về chiều; Ra mồ hôi “trộm” ban đêm; Đau ngực, đôi khi khó thở. Để chẩn đoán bệnh lao phổi, có thể dựa vào:
Thứ nhất, triệu chứng lâm sàng như: Toàn thân sốt nhẹ về chiều, ra mồ hôi đêm, chán ăn, mệt mỏi, gầy sút cân; Cơ năng ho, khạc đờm, ho ra máu, đau ngực, khó thở; Thực thể, nghe phổi có thể có tiếng bệnh lý (ran ẩm, ran nổ,....).
Thứ hai, triệu chứng cận lâm sàng như: Nhuộm soi đờm trực tiếp tìm AFB, tất cả những người có triệu chứng nghi lao phải được xét nghiệm đờm phát hiện lao phổi; Xét nghiệm Xpert MTB/RIF để chẩn đoán bệnh lao và lao kháng Rifampicin cho kết quả sau khoảng 2 giờ với độ nhậy và độ đặc hiệu cao; Nuôi cấy tìm vi khuẩn lao: nuôi cấy trên môi trường đặc thường cho kết quả dương tính sau 3-4 tuần;…
Quyết định này có hiệu lực kể từ ngày ký.
Xem chi tiết Quyết định 1314/QĐ-BYT có hiệu lực kể từ ngày 24/03/2020
Tải Quyết định 1314/QĐ-BYT
|
BỘ Y TẾ |
CỘNG HÒA XÃ HỘI CHỦ NGHĨA VIỆT NAM |
|
Số: 1314/QĐ-BYT |
Hà Nội, ngày 24 tháng 3 năm 2020 |
QUYẾT ĐỊNH
VỀ VIỆC BAN HÀNH HƯỚNG DẪN CHẨN ĐOÁN, ĐIỀU TRỊ VÀ DỰ PHÒNG BỆNH LAO
_____________
BỘ TRƯỞNG BỘ Y TẾ
Căn cứ Luật khám bệnh,chữa bệnh năm 2009;
Căn cứ Nghị định số 75/2017/NĐ-CP ngày 20/6/2017 của Chính phủ quy định chức năng, nhiệm vụ, quyền hạn và cơ cấu tổ chức của Bộ Y tế;
Xét Biên bản họp Hội đồng tài liệu cập nhật, điều chỉnh Hướng dẫn chẩn đoán, điều trị và dự phòng bệnh lao ngày 20 tháng 12 năm 2019;
Xét đề nghị của Cục trưởng Cục Quản lý khám, chữa bệnh- Bộ Y tế,
QUYẾT ĐỊNH:
Điều 1. Ban hành kèm theo Quyết định này “Hướng dẫn chẩn đoán, điều trị và dự phòng bệnh lao”.
Điều 2. “Hướng dẫn chẩn đoán, điều trị và dự phòng bệnh lao” áp dụng cho tất cả các cơ sở khám bệnh, chữa bệnh Nhà nước và tư nhân trên cả nước.
Điều 3. Quyết định này có hiệu lực kể từ ngày ký, ban hành và thay thế Quyết định số 3126/QĐ-BYT ngày 23 tháng 5 năm 2018 của Bộ trưởng Bộ Y tế về việc ban hành Hướng dẫn chẩn đoán, điều trị và dự phòng bệnh lao.
Điều 4. Các Ông/Bà: Chánh Văn phòng Bộ, Cục trưởng Cục Quản lý Khám, chữa bệnh- Bộ Y tế; Chánh Thanh tra- Bộ Y tế; Tổng Cục trưởng, Cục trưởng, Vụ trưởng các Tổng Cục, Cục, Vụ thuộc Bộ Y tế; Giám đốc các Bệnh viện, Viện có giường bệnh trực thuộc Bộ Y tế; Giám đốc Sở Y tế các tỉnh, thành phố trực thuộc trung ương; Thủ trưởng y tế các ngành chịu trách nhiệm thi hành Quyết định này.
|
Nơi nhận: |
KT. BỘ TRƯỞNG |
HƯỚNG DẪN
CHẨN ĐOÁN ĐIỀU TRỊ VÀ DỰ PHÒNG BỆNH LAO
(Ban hành kèm theo Quyết định số: 1314/QĐ-BYT ngày 24 tháng 3 năm 2020 của Bộ trưởng Bộ Y tế)
MỤC LỤC
CHẨN ĐOÁN BỆNH LAO
1. Người nghi lao
2. Chẩn đoán lao phổi
3. Chẩn đoán lao ngoài phổi
4. Chẩn đoán lao kháng thuốc
5. Chẩn đoán lao đồng nhiễm HIV
6. Chẩn đoán bệnh lao ở trẻ em
7. Phân loại bệnh lao
8. Lộ trình sử dụng Xpert MTB/RIF trong chẩn đoán lao và lao kháng thuốc
XÉT NGHIỆM AFB NHUỘM SOI TRỰC TIẾP PHƯƠNG PHÁP NHUỘM SOI ZIEHL NEELSEN
1. Mục đích
2. Bệnh phẩm
3. Trang thiết bị - Vật liệu
4. Hóa chất
5. Nguyên lý
6. Các bước thực hiện
7. Ghi chép và báo cáo kết quả
8. Kiểm tra chất lượng
9. Thực hành an toàn phòng xét nghiệm
XÉT NGHIỆM AFB NHUỘM SOI TRỰC TIẾP PHƯƠNG PHÁP NHUỘM HUỲNH QUANG ĐÈN LED
1. Mục đích
2. Bệnh phẩm
3. Trang thiết bị và vật liệu
4. Hóa chất nhuộm huỳnh quang
5. Nguyên lý
6. Các bước thực hiện
7. Đọc tiêu bản, ghi chép và báo cáo kết quả
8. Kiểm tra chất lượng
9. Thực hành an toàn phòng xét nghiệm
X-QUANG TRONG CHẨN ĐOÁN LAO PHỔI
1. Vai trò của Xquang trong chẩn đoán lao phổi
2. Các kỹ thuật X-quang trong chẩn đoán
3. Quy trình kỹ thuật chụp X-quang ngực thường quy
4. Mô tả và phân tích hình ảnh Xquang của lao phổi trên phim phổi thường quy
5. Đặc điểm tổn thương lao phổi ở người nhiễm HIV
ĐIỀU TRỊ BỆNH LAO
1. Nguyên tắc điều trị
2. Nguyên tắc quản lý
3. Chỉ định và phác đồ điều trị
4. Điều trị lao cho những trường hợp đặc biệt
5. Quản lý điều trị
6. Theo dõi điều trị bệnh lao
7. Đánh giá kết quả điều trị
PHÁT HIỆN XỬ TRÍ TÁC DỤNG KHÔNG MONG MUỐN CỦA THUÔC CHỐNG LAO
1. Các khái niệm cơ bản
2. Phân loại mức độ tác dụng không mong muốn của thuốc lao
3. Một số tác dụng không mong muốn thường gặp với thuốc chống lao và hướng xử trí
4. Xử trí một số tác dụng không mong muốn do thuốc lao
PHÒNG BỆNH LAO
1. Các khái niệm cơ bản
2. Phòng bệnh lao
3. Thực hiện phòng lây nhiễm trong cơ sở y tế
4. Dự phòng lây nhiễm ở hộ gia đình
CÁC PHỤ LỤC
TÀI LIỆU THAM KHẢO
DANH MỤC CHỮ VIẾT TẮT
AFB: Vi khuẩn lao kháng cồn, kháng a xít (Acid Fast Baccilli)
ATSH: An toàn sinh học
ADR: Phản ứng có hại của thuốc (Adverse Drug Reaction)
BN: Bệnh nhân
CBYT: Cán bộ Y tế
CTCLQG: Chương trình chống lao quốc gia
DOT: Điều trị có giám sát trực tiếp (Directly Oserved Treatment)
ĐKĐT: Đăng ký điều trị
GSV: Giám sát viên
HIV: Vi rút gây suy giảm miễn dịch (Human Immuno deficiency Virus)
KHV: Kính hiển vi
KSĐ: Kháng sinh đồ
KĐ: Kiểm định
MDR - TB: Bệnh lao đa kháng thuốc (Multi Drug Resistant Tuberculosis)
MRI: Chụp cộng hưởng từ (Magnetic Resonnace Imaging)
NRL: Phòng xét nghiệm chuẩn quốc gia (National Reference Laboratory)
PXN: Phòng xét nghiệm
PĐ: Phác đồ
XDR - TB: Bệnh lao siêu kháng thuốc
XN: Xét nghiệm
Xpert MTB/RIF: Xét nghiệm ứng dụng công nghệ sinh học phân tử để nhận diện vi khuẩn lao kể cả vi khuẩn lao kháng Rifampicin
ZN: Ziehl - Neelsen
TCYTTG: Tổ chức Y tế thế giới
VT: Vi trường
WHO: Tổ chức Y tế Thế giới (World Health Organization)
CHẨN ĐOÁN BỆNH LAO
Lao là một bệnh truyền nhiễm do vi khuẩn lao (Mycobacterium tuberculosis) gây nên. Bệnh lao có thể gặp ở tất cả các bộ phận của cơ thể, trong đó lao phổi là thể lao phổ biến nhất (chiếm 80 - 85% tổng số ca bệnh) và là nguồn lây chính cho người xung quanh.
1. NGƯỜI NGHI LAO PHỔI
1.1. Người nghi lao phổi khi có các triệu chứng sau:
- Ho kéo dài trên 2 tuần (ho khan, ho có đờm, ho ra máu) là triệu chứng nghi lao quan trọng nhất.
Ngoài ra có thể:
- Gầy sút, kém ăn, mệt mỏi.
- Sốt nhẹ về chiều.
- Ra mồ hôi “trộm” ban đêm.
- Đau ngực, đôi khi khó thở.
1.2. Nhóm nguy cơ cao cần chú ý
- Người nhiễm HIV.
- Người tiếp xúc trực tiếp với nguồn lây, đặc biệt trẻ em.
- Người mắc các bệnh mạn tính: loét dạ dày-tá tràng, đái tháo đường, suy thận mạn,...
- Người nghiện ma túy, rượu, thuốc lá, thuốc lào.
- Người sử dụng các thuốc ức chế miễn dịch kéo dài như corticoid, hóa chất điều trị ung thư,…
1.3. Các trường hợp có bất thường trên X-quang phổi đều cần xem xét phát hiện lao phổi.
2. CHẨN ĐOÁN LAO PHỔI
2.1. Dựa vào lâm sàng
- Toàn thân: sốt nhẹ về chiều, ra mồ hôi đêm, chán ăn, mệt mỏi, gầy sút cân.
- Cơ năng: ho, khạc đờm, ho ra máu, đau ngực, khó thở.
- Thực thể: nghe phổi có thể có tiếng bệnh lý (ran ẩm, ran nổ,....).
2.2. Dựa vào cận lâm sàng
- Nhuộm soi đờm trực tiếp tìm AFB: tất cả những người có triệu chứng nghi lao phải được xét nghiệm đờm phát hiện lao phổi. Để thuận lợi cho người bệnh có thể chẩn đoán được trong ngày đến khám bệnh, xét nghiệm 2 mẫu đờm tại chỗ cần được áp dụng thay cho xét nghiệm 3 mẫu đờm như trước đây. Mẫu đờm tại chỗ cần được hướng dẫn cẩn thận để người bệnh lấy đúng cách (Phụ lục 1), thời điểm lấy mẫu 1 và mẫu 2 phải cách nhau ít nhất là 2 giờ.
- Xét nghiệm Xpert MTB/RIF để chẩn đoán bệnh lao và lao kháng Rifampicin cho kết quả sau khoảng 2 giờ với độ nhạy và độ đặc hiệu cao. Các trường hợp AFB(+) cần được làm xét nghiệm Xpert để biết tình trạng kháng thuốc Rifampicin trước khi cho phác đồ thuốc chống lao hàng 1.
- Nuôi cấy tìm vi khuẩn lao: nuôi cấy trên môi trường đặc thường cho kết quả dương tính sau 3-4 tuần. Nuôi cấy trong môi trường lỏng (MGIT - BACTEC) cho kết quả dương tính sau 2 tuần. Các trường hợp phát hiện tại các bệnh viện tuyến tỉnh nên được khuyến khích xét nghiệm nuôi cấy khi có điều kiện.
- Xquang phổi thường quy: hình ảnh trên phim X-quang gợi ý lao phổi tiến triển là thâm nhiễm, nốt, hang, có thể 1 bên hoặc 2 bên. Ở người có HIV, hình ảnh X-quang phổi ít thấy hình hang, hay gặp tổn thương tổ chức kẽ và có thể ở vùng thấp của phổi. X-quang phổi có giá trị sàng lọc cao với độ nhạy trên 90% với các trường hợp lao phổi AFB(+). Cần tăng cường sử dụng X-quang phổi tại các cơ sở y tế cho các trường hợp có triệu chứng hô hấp để sàng lọc lao phổi. Tuy nhiên cần lưu ý độ đặc hiệu không cao, nên không khẳng định chẩn đoán lao phổi chỉ bằng 1 phim X-quang phổi. Xquang phổi còn có tác dụng đánh giá đáp ứng với điều trị thử bằng kháng sinh thông thường trước khi chẩn đoán lao phổi không có bằng chứng vi khuẩn và để đánh giá kế quả điều trị lao sau 2 tháng và kết thúc điều trị.
2.3. Chẩn đoán xác định
2.3.1. Chẩn đoán xác định lao phổi khi có tổn thương trên Xquang phổi nghi lao và một trong 2 tiêu chuẩn sau:
- Có bằng chứng về sự có mặt của vi khuẩn lao trong bệnh phẩm lâm sàng như đờm, dịch phế quản, dịch dạ dày và các bệnh phẩm khác.
- Khi có các triệu chứng lâm sàng, cận lâm sàng nhưng không xác định được vi khuẩn lao, chẩn đoán lao vẫn có thể xác định bằng tổng hợp các dấu hiệu lâm sàng cận lâm sàng của thầy thuốc được đào tạo chuyên khoa lao quyết định.
2.3.2. Phân loại chẩn đoán dựa theo xét nghiệm soi đờm trực tiếp tìm AFB
- Lao phổi AFB(+): có ít nhất 1 mẫu đờm hoặc dịch phế quản, dịch dạ dày có kết quả soi trực tiếp AFB(+) tại các phòng xét nghiệm được kiểm chuẩn bởi Chương trình chống lao Quốc gia.
- Lao phổi AFB(-): khi có ít nhất 2 mẫu đờm AFB(-), người bệnh cần được thực hiện quy trình chẩn đoán lao phổi AFB(-) (xem phụ lục 2).
Người bệnh được chẩn đoán lao phổi AFB(-) cần thỏa mãn 1 trong 2 điều kiện sau:
+ Có bằng chứng vi khuẩn lao trong đờm, dịch phế quản, dịch dạ dày bằng phương pháp nuôi cấy hoặc các kỹ thuật mới như Xpert MTB/RIF.
+ Được thầy thuốc chuyên khoa chẩn đoán và chỉ định một phác đồ điều trị lao đầy đủ dựa trên (1) lâm sàng, (2) bất thường nghi lao trên X-quang phổi và (3) thêm 1 trong 2 tiêu chuẩn sau: HIV(+) hoặc không đáp ứng với điều trị kháng sinh phổ rộng.
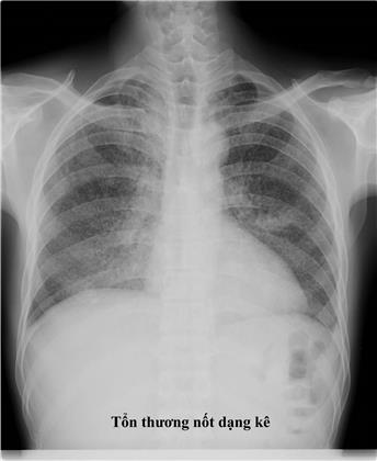
2.3.3. Lao kê: là một trong các thể lao phổi.
Là thể lao lan tỏa toàn thân, biểu hiện rõ nhất ở phổi, có thể có tổn thương màng não, gan, tủy xương hay nhiều bộ phận quan trọng khác. Hay xảy ra ở trẻ em, người nhiễm HIV hay bị suy giảm miễn dịch.
Lâm sàng: triệu chứng cơ năng thường rầm rộ: sốt cao, khó thở, tím tái. Triệu chứng thực thể tại phổi nghèo nàn (có thể chỉ nghe thấy tiếng thở thô). Ở những người bệnh suy kiệt triệu chứng lâm sàng có thể không rầm rộ.
Chẩn đoán xác định: lâm sàng: cấp tính với các triệu chứng ho, sốt cao, khó thở, có thể tím tái. X-quang phổi có nhiều nốt mờ, kích thước đều, đậm độ đều và phân bố khắp 2 phổi (3 đều: kích thước, mật độ và đậm độ cản quang các hạt kê trên phim X-quang phổi). Xét nghiệm đờm thường âm tính. Ngoài ra xét nghiệm vi khuẩn trong các mẫu bệnh phẩm (dịch phế quản, dịch não tủy, máu) có thể dương tính.
2.4. Chẩn đoán phân biệt: Giãn phế quản, ung thư phổi, viêm phổi, áp xe phổi, bệnh phổi tắc nghẽn mạn tính, bệnh phổi ký sinh trùng. Ở người có HIV cần phân biệt với viêm phổi, nhất là viêm phổi do Pneumocystis jiroveci hay còn gọi là Pneumocystis carinii (PCP). Trong quá trình quản lý các bệnh mạn tính ở phổi như hen, COPD, bệnh phổi kẽ, bụi phổi,… cần lưu ý sàng lọc lao phổi phối hợp.
3. CHẨN ĐOÁN LAO NGOÀI PHỔI
3.1. Chẩn đoán lao ngoài phổi
Lao ngoài phổi là thể lao khó chẩn đoán - do vậy để tiếp cận chẩn đoán, người thầy thuốc trong quá trình thăm khám người bệnh phải hướng tới và tìm kiếm các dấu hiệu của bệnh lao, phân biệt với các bệnh lý ngoài lao khác và chỉ định làm các kỹ thuật, xét nghiệm để từ đó chẩn đoán xác định dựa trên:
- Các triệu chứng, dấu hiệu ở cơ quan ngoài phổi nghi bệnh.
- Luôn tìm kiếm xem có lao phổi phối hợp không, sàng lọc ngay bằng Xquang phổi. Nếu có lao phổi sẽ là cơ sở quan trọng cho chẩn đoán lao ngoài phổi.
- Lấy bệnh phẩm từ các vị trí tổn thương để xét nghiệm:
+ Tìm vi khuẩn bằng kỹ thuật nhuộm soi trực tiếp, nuôi cấy, Xpert MTB/RIF (với bệnh phẩm dịch não tủy, đờm, dịch phế quản, dịch dạ dày, dịch (mủ) các màng, mủ tổn thương hạch, xương, tai, khớp,…).
+ Xét nghiệm mô bệnh, tế bào học xác định hình ảnh tổn thương lao.
- Chẩn đoán lao ngoài phổi đơn thuần không kết hợp với lao phổi thường khó khăn, cần dựa vào triệu chứng nghi lao (sốt về chiều kéo dài, ra mồ hôi ban đêm, sút cân); triệu chứng tại chỗ nơi cơ quan bị tổn thương, nguy cơ mắc lao.
- Mức độ chính xác của chẩn đoán phụ thuộc nhiều vào khả năng phát hiện của các kỹ thuật hỗ trợ như: X-quang, siêu âm, sinh thiết, xét nghiệm vi khuẩn học.
- Cần luôn chẩn đoán phân biệt với các bệnh khác.
- Các thầy thuốc được đào tạo chuyên khoa tập hợp phân tích các triệu chứng dấu hiệu để quyết định chẩn đoán và chỉ định phác đồ điều trị.
3.2. Chẩn đoán một số lao ngoài phổi thường gặp
3.2.1. Lao hạch
Lâm sàng: Vị trí thường gặp nhất là hạch cổ, điển hình là dọc cơ ức đòn chũm, nhưng cũng có thể ở các vị trí khác. Hạch sưng to, lúc đầu hạch chắc, riêng rẽ, di động, không đau sau đó dính vào nhau và tổ chức dưới da, kém di động, hạch nhuyễn hóa, rò mủ. Có thể khỏi và để lại sẹo xấu.
Chẩn đoán xác định: sinh thiết hạch, chọc hút hạch xét nghiệm mô bệnh học, tế bào thấy chất hoại tử bã đậu, tế bào bán liên, tế bào lympho, nang lao; nhuộm soi trực tiếp tìm thấy AFB; ngoài ra có thể tìm vi khuẩn lao bằng phương pháp nuôi cấy bệnh phẩm chọc hút hạch. Bệnh phẩm mủ có thể xét nghiệm Xpert.
3.2.2. Tràn dịch màng phổi (TDMP) do lao
Triệu chứng lâm sàng: đau ngực, khó thở tăng dần, khám phổi có hội chứng 3 giảm.
Xquang ngực thấy hình mờ đậm thuần nhất, mất góc sườn hoành, đường cong Damoiseau. Siêu âm màng phổi có dịch.
Chẩn đoán xác định: chọc hút khoang màng phổi thấy dịch màu vàng chanh, rất hiếm khi dịch màu hồng, dịch tiết, ưu thế thành phần tế bào lymphô; có thể tìm thấy bằng chứng vi khuẩn lao trong dịch màng phổi bằng nhuộm soi trực tiếp và nuôi cấy. Sinh thiết màng phổi mù hoặc qua soi màng phổi để lấy bệnh phẩm chẩn đoán vi khuẩn học hoặc mô bệnh tế bào. Dịch màng phổi có thể xét nghiệm Xpert.
3.2.3. Tràn dịch màng tim (TDMT) do lao
Triệu chứng lâm sàng: các triệu chứng phụ thuộc vào số lượng dịch và tốc độ hình thành dịch màng tim. Triệu chứng thường gặp bao gồm: đau ngực, khó thở, tĩnh mạch cổ nổi, phù chi dưới. Khám có tim nhịp nhanh, huyết áp kẹt, mạch đảo ngược nếu có hội chứng ép tim cấp. Nghe có tiếng cọ màng tim ở giai đoạn sớm hoặc tiếng tim mờ khi tràn dịch nhiều.
Xquang ngực thấy bóng tim to, hình giọt nước, hình đôi bờ. Điện tim có điện thế thấp ở các chuyển đạo, sóng T âm và ST chênh. Siêu âm có dịch màng ngoài tim.
Chẩn đoán xác định: chọc hút dịch màng tim, dịch thường màu vàng chanh, dịch tiết, tế bào lympho chiếm ưu thế. Có thể tìm thấy bằng chứng vi khuẩn lao trong dịch màng tim bằng nhuộm soi trực tiếp và nuôi cấy. Dịch màng tim có thể xét nghiệm Xpert.
3.2.4. Tràn dịch màng bụng (TDMB) do lao
Triệu chứng lâm sàng: có các dấu hiệu tràn dịch màng bụng (gõ đục vùng thấp thay đổi theo tư thế, “sóng vỗ”, dấu hiệu gõ đục “ô bàn cờ” giai đoạn muộn, …). Có thể sờ thấy các u cục, đám cứng trong ổ bụng. Có thể có dấu hiệu tắc hoặc bán tắc ruột do các hạch dính vào ruột.
Siêu âm ổ bụng có các hình ảnh gợi ý lao màng bụng: hạch mạc treo to, hạch sau màng bụng, dịch khu trú giữa các đám dính, nội soi ổ bụng thấy các hạt lao.
Chẩn đoán xác định: chọc hút dịch màng bụng màu vàng chanh, đôi khi đục, dịch tiết, tế bào lympho chiếm ưu thế. Có thể tìm thấy bằng chứng vi khuẩn lao trong dịch màng bụng bằng nhuộm soi trực tiếp, nuôi cấy. Soi ổ bụng và sinh thiết là kỹ thuật rất có giá trị cho chẩn đoán trong hầu hết các trường hợp. Trên tiêu bản sinh thiết thấy hoại tử bã đậu, nang lao. Dịch màng bụng có thể xét nghiệm Xpert.
3.2.5. Lao màng não - não
Triệu chứng lâm sàng: bệnh cảnh viêm màng não khởi phát bằng đau đầu tăng dần và rối loạn tri giác. Khám thường thấy có dấu hiệu cổ cứng và dấu hiệu Kernig(+). Có thể có dấu hiệu tổn thương dây thần kinh sọ não và dấu hiệu thần kinh khu trú (thường liệt dây 3, 6, 7, rối loạn cơ tròn). Các tổn thương tủy sống có thể gây ra liệt 2 chi dưới (liệt cứng hoặc liệt mềm).
Chọc dịch não tủy áp lực tăng, dịch có thể trong (giai đoạn sớm), ánh vàng (giai đoạn muộn), có khi vẩn đục. Xét nghiệm sinh hóa dịch não tủy thường thấy protein tăng và đường giảm. Tế bào trong dịch não tủy tăng vừa thường dưới 600 tế bào/mm3 và tế bào lympho chiếm ưu thế, ở giai đoạn sớm tỷ lệ neutro tăng nhưng không có bạch cầu thoái hóa (mủ)
Chẩn đoán xác định: dựa vào bệnh cảnh lâm sàng, đặc điểm dịch não tủy và xét nghiệm sinh hóa tế bào dịch não tuỷ, có thể tìm thấy bằng chứng vi khuẩn lao trong dịch màng não bằng nuôi cấy (tỷ lệ dương tính cao hơn khi nuôi cấy trên môi trường lỏng), nhuộm soi trực tiếp AFB(+) với tỷ lệ rất thấp. Dịch màng não có thể xét nghiệm Xpert
Chụp MRI não có thể thấy hình ảnh màng não dày và tổn thương ở não gợi ý lao, ngoài ra chụp MRI não giúp chẩn đoán phân biệt bệnh lý khác ở não (U não, Viêm não, Áp xe não, Sán não…).
Chẩn đoán loại trừ với các căn nguyên khác như: viêm màng não mủ, viêm màng não nước trong và các bệnh lý thần kinh khác.
3.2.6. Lao xương khớp
Triệu chứng lâm sàng: hay gặp ở cột sống với đặc điểm: đau lưng, hạn chế vận động, đau tại chỗ tương ứng với đốt sống bị tổn thương (giai đoạn sớm); giai đoạn muộn gây biến dạng gù cột sống hoặc có dấu hiệu chèn ép tủy gây liệt.
Ngoài cột sống lao còn hay gặp ở các khớp lớn với biểu hiện: sưng đau khớp kéo dài, không sưng đỏ, không đối xứng, có thể dò mủ bã đậu.
Chụp Xquang, CT, MRI cột sống, khớp thấy hẹp khe đốt, xẹp đốt sống hình chêm, có thể thấy mảnh xương chết và hình áp xe lạnh cạnh cột sống, hẹp khe khớp.
Chẩn đoán xác định: dựa vào lâm sàng và các đặc điểm tổn thương trên Xquang, CT, MRI cột sống, khớp. Nếu có áp xe lạnh, dò mủ xét nghiệm mủ áp xe tìm AFB cho tỷ lệ dương tính cao. Sinh thiết tổ chức cho phép chẩn đoán mô bệnh tế bào. Dịch mủ khớp có thể xét nghiệm Xpert
3.2.7. Lao tiết niệu - sinh dục
Lâm sàng: hay gặp triệu chứng rối loạn bài tiết nước tiểu (đái buốt, đái rắt) kéo dài từng đợt, điều trị kháng sinh đỡ sau đó lại bị lại, có thể đái máu không có máu cục, đái đục, đau thắt lưng âm ỉ.
Lao sinh dục nam: sưng đau tinh hoàn, mào tinh hoàn, ít gặp viêm cấp tính, tràn dịch màng tinh hoàn.
Lao sinh dục nữ: ra khí hư, rối loạn kinh nguyệt, dần dần “mất kinh”, vô sinh.
Chẩn đoán xác định: tìm thấy vi khuẩn lao trong nước tiểu, dịch màng tinh hoàn, dịch dò, khí hư bằng nuôi cấy (tỷ lệ dương tính cao hơn khi cấy trên môi trường lỏng), nhuộm soi trực tiếp AFB(+) với tỷ lệ rất thấp. Chụp UIV thấy hình ảnh gợi ý lao (đài thận cắt cụt, hang lao, niệu quản chít hẹp…). Soi bàng quang, soi tử cung và sinh thiết xét nghiệm mô bệnh, tế bào có nang lao, xét nghiệm vi khuẩn lao. Chọc hút dịch màng tinh hoàn (có đặc điểm như lao các màng khác trong cơ thể), chọc dò “u” tinh hoàn xét nghiệm tế bào có viêm lao. Dịch mủ có thể xét nghiệm Xpert.
3.2.8. Các thể lao khác ít gặp hơn: lao da, lao lách, lao gan, v.v… chẩn đoán hoặc có phối hợp với lao phổi hoặc bằng sinh thiết chẩn đoán mô bệnh tế bào.
4. CHẨN ĐOÁN LAO KHÁNG THUỐC (SƠ ĐỒ CHẨN ĐOÁN- PHỤ LỤC 3)
Các nhóm đối tượng được làm Xpert MTB/RIF để chẩn đoán kháng thuốc
(1) Người bệnh lao thất bại phác đồ điều trị lao không kháng Rifampicin (bao gồm lao nhạy cảm, kháng đơn và nhiều thuốc)
(2) Người nghi lao mới hoặc người bệnh lao mới có tiếp xúc với người bệnh lao đa kháng.
(3) Người bệnh lao không âm hóa đờm sau 2 hoặc 3 tháng điều trị phác đồ lao không kháng Rifampicin
(4) Người bệnh lao tái phát phác đồ lao không kháng Rifampicin (nhóm “4a”), lao kháng Rifampicin (nhóm “4b”)
(5) Người bệnh lao điều trị lại sau bỏ trị ( lao không kháng Rifampicin:nhóm “5a”; lao kháng Rifampicin:nhóm “5b”)
(6) Người bệnh lao mới có HIV (+)
(7) Các trường hợp khác: Bao gồm người nghi lao hoặc người bệnh lao có tiền sử dùng thuốc lao trên 1 tháng (bao gồm cả người nghi lao tái phát, người nghi lao sau bỏ trị, người nghi lao hoặc người bệnh lao có tiền sử điều trị lao ở y tế tư nhưng không rõ kết quả điều trị)
(8) Người bệnh lao phổi mới (*)
(*)Sàng lọc trong số AFB (+)hoặc mở rộng tới AFB (-) tùy chủ trương và nguồn lực của CTCLQG tại mỗi giai đoạn
Lâm sàng:
- Người bệnh khi đang điều trị lao nhưng các triệu chứng sốt, ho, khạc đờm không thuyên giảm hoặc thuyên giảm một thời gian rồi lại xuất hiện trở lại với các triệu chứng tăng lên, bệnh nhân tiếp tục sút cân.
- Tuy nhiên bệnh lao kháng thuốc có thể được chẩn đoán ở người chưa bao giờ mắc lao và triệu chứng lâm sàng của lao đa kháng có thể không khác biệt so với bệnh lao thông thường.
Cận lâm sàng:
- Xét nghiệm AFB, nuôi cấy dương tính liên tục hoặc âm tính một thời gian rồi dương tính trở lại hoặc âm tính, dương tính xen kẽ ở người đang điều trị lao.
- Xét nghiệm kháng sinh đồ cho kết quả kháng với các thuốc chống lao hàng 1, hàng 2.
- Các kỹ thuật sinh học phân tử có thể chẩn đoán nhanh lao đa kháng, tiền/siêu kháng thuốc và để phân biệt với trực khuẩn lao không điển hình: LPA với thuốc lao hàng 1, thuốc lao hàng 2 ( Hain test), Xpert MTB/RIF.
- Hình ảnh tổn thương trên phim Xquang phổi không thay đổi hoặc xuất hiện thêm tổn thương mới trong quá trình điều trị đúng phác đồ có kiểm soát. Trường hợp lao kháng thuốc phát hiện ở người chưa bao giờ mắc lao, hình ảnh tổn thương trên phim Xquang có thể không khác biệt so với bệnh lao thông thường.
Chẩn đoán xác định lao kháng thuốc:
Căn cứ vào kết quả kháng sinh đồ hoặc các xét nghiệm chẩn đoán nhanh được WHO chứng thực (Hain test, Xpert MTB/RIF…), tiêu chuẩn chẩn đoán cho các thể bệnh lao kháng thuốc được xác định như sau:
- Kháng đơn thuốc: Chỉ kháng với duy nhất một thuốc chống lao hàng một khác Rifampicin
- Kháng nhiều thuốc: Kháng với từ hai thuốc chống lao hàng một trở lên mà không kháng với Rifampicin
- Lao kháng Rifampicin: Kháng với Rifampicin, có hoặc không kháng thêm với các thuốc lao khác kèm theo (có thể là kháng đơn thuốc, kháng nhiều thuốc, đa kháng thuốc hoặc siêu kháng thuốc). Tuy nhiên ở Việt Nam hiện nay, các chủng đã kháng với Rifampicin thì có tới trên 90% có kèm theo kháng Isoniazid, vì vậy khi phát hiện kháng Rifampicin người bệnh được coi như đa kháng thuốc và thu nhận điều trị phác đồ đa kháng
- Đa kháng thuốc (MDR-TB): Kháng đồng thời với ít nhất hai thuốc chống lao là Isoniazid và Rifampicin
- Tiền siêu kháng: Lao đa kháng có kháng thêm với bất cứ thuốc nào thuộc nhóm Fluoroquinolone hoặc với ít nhất một trong ba thuốc tiêm hàng hai Capreomycin, Kanamycin, Amikacin, (chứ không đồng thời cả 2 loại thêm).
- Siêu kháng thuốc (XDR-TB): Lao đa kháng có kháng thêm với bất cứ thuốc nào thuộc nhóm Fluoroquinolone và bất cứ thuốc nào trong ba thuốc tiêm hàng hai (Capreomycin, Kanamycin, Amikacin).
5. CHẨN ĐOÁN LAO ĐỒNG NHIỄM HIV
5.1. Chẩn đoán nhiễm HIV ở người bệnh lao
Tất cả những người bệnh lao cần được cung cấp tư vấn và xét nghiệm HIV theo quy trình PITC tức là cán bộ y tế chủ động tư vấn, đề xuất và cung cấp dịch vụ xét nghiệm HIV cho người bệnh lao của Bộ Y tế. (PITC: Provider Initiated HIV Testing and Counseling).
5.1.1. Tư vấn trước xét nghiệm chẩn đoán HIV
Hình thức tư vấn tùy từng đối tượng và điều kiện cụ thể có thể áp dụng hình thức tư vấn sau đây:
- Tư vấn theo nhóm, ví dụ: cho các nhóm phạm, can phạm; nhóm học viên các trung tâm chữa bệnh - dạy nghề,…
- Tư vấn cho từng cá nhân.
- Ngoài ra tờ rơi, tờ bướm tuyên truyền... có thể được sử dụng trong quá trình tư vấn.
Nội dung tư vấn bao gồm:
- Tìm hiểu về tiền sử làm xét nghiệm chẩn đoán HIV của người bệnh và các hành vi nguy cơ lây truyền HIV
- Giải thích lý do và lợi ích của việc xét nghiệm HIV để chẩn đoán, điều trị và dự phòng đối với người bệnh, các thông tin sau cần được cung cấp cho người bệnh:
+ Người mắc lao cũng có khả năng bị nhiễm HIV
+ Chẩn đoán HIV sớm và điều trị thích hợp lao và HIV sẽ cho kết quả tốt hơn điều trị lao đơn thuần.
- Xác nhận tính tự nguyện và bảo mật của xét nghiệm chẩn đoán HIV
- Khẳng định việc từ chối xét nghiệm HIV sẽ không ảnh hưởng đến khả năng tiếp cận của người bệnh đối với những dịch vụ khám chữa bệnh khác
- Giới thiệu về dịch vụ chuyển tiếp nếu như kết quả xét nghiệm là dương tính
- Giải đáp những thắc mắc - băn khoăn của người bệnh.
5.1.2. Xét nghiệm chẩn đoán nhiễm HIV
- Khi người bệnh đồng ý, họ sẽ ký một bản cam kết và bản cam kết này được lưu lại trong hồ sơ người bệnh.
- Máu của người bệnh được thu thập và gửi đến cơ sở y tế có khả năng thực hiện test sàng lọc tại các đơn vị PITC thuộc Chương trình chống lao. Nếu test sàng lọc có kết quả dương tính, mẫu máu sẽ được tiếp tục gửi đến phòng xét nghiệm được phép khẳng định HIV gần nhất thực hiện. Thông thường kết quả sẽ có sau 7 - 10 ngày sau khi mẫu máu được gửi xét nghiệm.
5.1.3. Trả kết quả - Tư vấn sau khi có kết quả xét nghiệm
Tùy theo kết quả cuối cùng, nhân viên y tế nơi tư vấn sẽ chọn một trong các tình huống sau để tiếp tục tư vấn cho người mắc lao:
Nếu kết quả xét nghiệm chẩn đoán HIV âm tính:
- Thông báo cho người bệnh kết quả xét nghiệm âm tính.
- Tư vấn giúp người bệnh hiểu đúng về kết quả xét nghiệm và ý nghĩa của giai đoạn cửa sổ đồng thời khuyên người bệnh nên xét nghiệm lại sau 6 đến 12 tuần ở một trung tâm tư vấn xét nghiệm HIV tự nguyện (nếu có yếu tố nguy cơ).
- Tư vấn cho người bệnh về nguy cơ lây nhiễm HIV và biện pháp dự phòng, kể cả khuyên bạn tình của họ cần được xét nghiệm chẩn đoán HIV.
- Giới thiệu chuyển tiếp người bệnh đến các dịch vụ can thiệp dự phòng lây nhiễm HIV nếu họ có yêu cầu.
Nếu kết quả xét nghiệm chẩn đoán HIV dương tính:
- Thông báo kết quả xét nghiệm HIV cho người bệnh biết, giải thích cho người bệnh về kết quả xét nghiệm.
- Hỗ trợ tinh thần, tâm lý cho người bệnh.
- Tư vấn cho người bệnh về sự cần thiết của chăm sóc - điều trị HIV, thông tin các dịch vụ hỗ trợ sẵn có tiếp theo cho người bệnh.
- Tư vấn các công việc cần thiết ngay: tiếp tục điều trị bệnh lao, dự phòng các bệnh lây truyền cho bản thân và người thân.
- Trao đổi với người bệnh cách tiết lộ kết quả HIV dương tính cho vợ, chồng, người thân... động viên tư vấn những người này xét nghiệm HIV tự nguyện.
- Giới thiệu, hội chẩn với cơ sở điều trị, tạo điều kiện chuyển tiếp người bệnh đến các dịch vụ chăm sóc HIV để được đăng ký điều trị ARV sớm nhất có thể và điều trị dự phòng bằng Cotrimoxazol.
- Sau giới thiệu cần theo dõi hỗ trợ tiếp tục để chắn chắn người bệnh tiếp cận được dịch vụ.
Nếu kết quả xét nghiệm chẩn đoán HIV là không xác định:
- Giải thích để người bệnh hiểu đúng về kết quả xét nghiệm.
- Hỗ trợ tinh thần, tâm lý cho người bệnh.
- Tư vấn về các biện pháp dự phòng lây nhiễm HIV.
- Hẹn xét nghiệm lại sau 14 ngày.
5.2. Chẩn đoán lao ở người có HIV
Biểu hiện lâm sàng, cận lâm sàng của bệnh lao ở người có HIV thường không điển hình và tiến triển nhanh dẫn tới tử vong.
Tại các cơ sở y tế, đặc biệt các phòng khám ngoại trú cho người nhiễm HIV cần luôn sàng lọc lao cho người nhiễm HIV mỗi lần đến khám do bất kỳ lý do nào.
Chẩn đoán mắc lao ở người nhiễm HIV do thầy thuốc quyết định, dựa trên yếu tố nguy cơ mắc lao, các biểu hiện lâm sàng và cận lâm sàng như sau:
5.2.1. Các yếu tố nguy cơ mắc lao ở người nhiễm HIV
- Người bệnh có tiền sử điều trị lao.
- Người bệnh có tiếp xúc với nguồn lây lao.
- Người bệnh có tiền sử chữa bệnh trong các cơ sở cai nghiện hoặc ở trại giam.
- Tình trạng suy dinh dưỡng.
- Tiền sử nghiện rượu, ma túy.
5.2.2. Các dấu hiệu lâm sàng
Sàng lọc bệnh lao ở người HIV nhằm loại trừ khả năng mắc lao để cung cấp điều trị dự phòng bằng INH theo quy định đồng thời phát hiện những bất thường nghi lao hoặc không loại trừ được bệnh lao để chuyển khám chuyên khoa phát hiện bệnh lao.
Người nhiễm HIV nếu không có cả 4 triệu chứng sau đây có thể loại trừ được không mắc lao tiến triển và có thể xem xét điều trị dự phòng lao bằng INH:
- Ho.
- Sốt nhẹ về chiều.
- Sút cân.
- Ra mồ hôi trộm.
Nếu có ít nhất 1 hoặc nhiều triệu chứng trên thì cần gửi khám chuyên khoa phát hiện bệnh lao. Các dấu hiệu này thường diễn tiến nhanh và ít đáp ứng với các điều trị thông thường. Người nhiễm HIV nếu có bất kỳ dấu hiệu hô hấp nào cũng cần được khám sàng lọc phát hiện lao phổi.
Về thực hành lâm sàng, thầy thuốc cần đánh giá tình trạng người bệnh xem có dấu hiệu nguy hiểm, bao gồm: không tự đi lại được, nhịp thở > 30 lần/phút, sốt cao > 39 độ C, mạch nhanh > 120 lần/phút ở người có HIV để có những có những quyết định xử trí chẩn đoán và điều trị phù hợp. (Xem sơ đồ xử trí phụ lục 5)
5.2.3. Cận lâm sàng
Vi khuẩn học:
- Xét nghiệm đờm: tùy theo điều kiện cơ sở vật chất và tổ chức, có thể thực hiện như sau:
+ Nhuộm soi đờm trực tiếp: được áp dụng ở tuyến huyện hoặc các điểm kính. Cần chú ý hướng dẫn người bệnh lấy đờm đúng cách, có thể 2 mẫu tại chỗ cách nhau ít nhất 2 giờ. Thời gian cho kết quả trong ngày đến khám.
+ Xpert MTB/RIF: là xét nghiệm ưu tiên dùng để chẩn đoán lao cho người có HIV. Thời gian cho kết quả khoảng 2 giờ.
+ Cấy đờm: được thực hiện khi nhuộm soi đờm trực tiếp có kết quả AFB âm tính. Áp dụng ở những nơi có điều kiện cơ sở vật chất phù hợp như bệnh viện tuyến tỉnh trở lên. Cơ sở không có khả năng nuôi cấy, có thể lấy mẫu đờm chuyển đến các phòng xét nghiệm thực hiện nuôi cấy. Thời gian có thể cho kết quả dương tính sau 2 tuần khi nuôi cấy ở môi trường lỏng (MGIT).
- Bệnh phẩm khác cũng có khả năng tìm thấy vi khuẩn lao: trong dịch màng phổi, dịch màng tim, dịch màng bụng, dịch màng não, hạch,…
Chẩn đoán hình ảnh:
- X-quang:
+ Lao phổi: ở giai đoạn lâm sàng nhiễm HIV sớm, khi sức đề kháng chưa ảnh hưởng nhiều, hình ảnh tổn thương trên X-quang ngực không khác biệt so với ở người HIV âm tính. Ở giai đoạn muộn, tổn thương thường lan tỏa 2 phế trường với những hình ảnh tổn thương dạng nốt, ưu thế tổ chức liên kết lan tỏa, ít thấy hình ảnh hang, có thể gặp hình ảnh hạch rốn phổi, hạch cạnh phế quản … cần phân biệt với viêm phổi do Pneumocystis Carinii (PCP).
+ Lao ngoài phổi: hình ảnh tùy theo cơ quan - bộ phận tổn thương.
- Chụp cắt lớp vi tính (CT scan): thấy hình ảnh các tổn thương như hang lao hoặc các tổn thương gợi ý lao.
Mô bệnh học - giải phẫu bệnh: sinh thiết hạch, chọc hạch để thực hiện chẩn đoán mô bệnh tế bào học có các thành phần đặc trưng như hoại tử bã đậu, tế bào bán liên, nang lao, có thể thấy AFB nếu nhuộm ZN.
Chẩn đoán lao ở người nhiễm HIV
- Dựa vào lâm sàng: sàng lọc 4 triệu chứng ho, sốt, sút cân, ra mồ hôi đêm với bất kỳ thời gian nào.
- Cận lâm sàng: khi có bất thường nghi lao trên phim X-quang ở bệnh nhân có triệu chứng nghi lao kể trên, có thể chẩn đoán xác định lao. Các xét nghiệm khác: xét nghiệm đờm nhuộm soi trực tiếp, nuôi cấy môi trường lỏng MGIT, cần ưu tiên chỉ định xét nghiệm Xpert MTB/RIF cho người có HIV.
Chẩn đoán loại trừ lao tiến triển ở người nhiễm HIV
Khi sàng lọc lâm sàng người bệnh không có bất kỳ triệu chứng nào trong 4 triệu chứng (ho, sốt, sụt cân, ra mồ hôi trộm) thì có thể loại trừ lao hoạt động và có thể chỉ định điều trị lao tiềm ẩn bằng INH sớm.
Quy trình chẩn đoán lao phổi ở người HIV(+) (xem phụ lục 4 và 5)
6. CHẨN ĐOÁN BỆNH LAO Ở TRẺ EM
6.1. Các dấu hiệu nhận biết sớm bệnh lao ở trẻ em:
Khi trẻ có các dấu hiệu dưới đây cần được các bác sĩ làm chẩn đoán xác định bệnh lao:
6.1.1. Tiền sử:
- Tiền sử tiếp xúc gần gũi với người bệnh lao phổi, trong vòng 1-2 năm gần đây.
- Tiền sử có các triệu chứng lâm sàng nghi lao đã được điều trị nhưng triệu chứng không hoặc ít cải thiện, nhanh tái phát.
6.1.2. Triệu chứng lâm sàng nghi lao:
- Triệu chứng toàn thân: Sốt, ra mồ hôi đêm; mệt mỏi/giảm chơi đùa; chán ăn/không tăng cân/sụt cân/suy dinh dưỡng.
- Triệu chứng cơ năng: tùy thuộc vào cơ quan mắc lao, các triệu chứng thường kéo dài trên 2 tuần, không cải thiện với liệu pháp điều trị khác ngoài lao.
- Triệu chứng thực thể: nghèo nàn hoặc rầm rộ tùy từng cơ quan bị bệnh và giai đoạn tiến triển của bệnh.
6.1.3. Xquang:
- Các hình ảnh tổn thương nghi lao trẻ em thường gặp trên phim Xquang ngực thường quy:
● Hạch bạch huyết cạnh khí phế quản hoặc hạch rốn phổi to biểu hiện là hình mờ tròn hoặc bầu dục
● Nốt, đông đặc nhu mô phổi
● Nốt kê
● Hang lao
● Hình ảnh tràn dịch màng phổi, màng tim
● Hình ảnh dày rãnh liên thùy phổi, có thể kèm theo hình ảnh tràn dịch khu trú.
Chụp Xquang ngực giúp xác định các tổn thương lao tại phổi phối hợp với lao các cơ quan khác.
- Hình ảnh tổn thương nghi lao cột sống: thân đốt sống bị phá hủy tạo thành hình chêm (trên phim nghiêng), có thể thấy hình ảnh ổ áp xe lạnh ở hai bên cạnh các đốt sống tổn thương (phim thẳng).
- Hình ảnh tổn thương xương khớp nghi lao: hình ảnh ổ khớp, cổ/thân xương bị phá hủy, ổ khuyết xương, tràn dịch ổ khớp.
6.1.4. Tìm thấy vi khuẩn lao: đây là tiêu chuẩn vàng để chẩn đoán bệnh lao
- Bệnh phẩm: bất kỳ bệnh phẩm nào có thể lấy được tùy theo thể bệnh: Đờm, dịch dạ dày, dịch các màng, dịch phế quản, dịch não tủy, mủ hạch, phân, mủ áp xe,....
- Kỹ thuật xét nghiệm: Xpert MTB/RIF, nhuộm soi trực tiếp, nuôi cấy,...
6.1.5. Xét nghiệm nhiễm lao:
Tét da hoặc IGRA dương tính cho biết trẻ đã nhiễm lao nhưng không khẳng định trẻ đang mắc lao. Các xét nghiệm này âm tính cũng chưa loại trừ trẻ có mắc lao (khi có sự xuất hiện các yếu tố mục 6.2)
6.1.6. Các xét nghiệm khác:
- Xét nghiệm giải phẫu bệnh (tế bào - mô bệnh học): lao hạch, lao các màng, lao xương khớp,…
- Chẩn đoán hình ảnh: Siêu âm, CT scan, MRI,… các cơ quan nghi lao
- Xét nghiệm HIV: các trẻ nhiễm HIV cần được sàng lọc mắc lao và ngược lại.
- Xét nghiệm TCD8, TCD4
6.2. Chẩn đoán lao phổi ở trẻ em:
Trẻ được chẩn đoán mắc lao phổi khi thỏa mãn một trong hai điều kiện sau:
1. Trẻ có triệu chứng nghi lao và xét nghiệm tìm vi khuẩn lao dương tính đối với các bệnh phẩm lâm sàng: đờm, dịch dạ dày, dịch phế quản, phân.
2. Được các bác sĩ chuyên khoa hội chẩn chẩn đoán dựa trên:
- Triệu chứng lâm sàng: ho, sốt, ra mồ hôi đêm, sụt cân/không tăng cân, giảm chơi đùa trên 2 tuần
- Hình ảnh Xquang ngực nghi lao
- Không đáp ứng với điều trị kháng sinh phổ rộng 10-14 ngày
- Tiền sử tiếp xúc nguồn lây trong vòng 2 năm gần đây
- Tét da với Tuberculin /IGRA dương tính
(Sơ đồ chẩn đoán lao phổi trẻ em-phụ lục 6)
6.3. Chẩn đoán lao ngoài phổi trẻ em:
6.3.1. Lao hạch ngoại vi:
Lao hạch ngoại vi là thể lao gặp nhiều thứ 2 sau lao phổi ở trẻ em. Trẻ được chẩn đoán mắc lao hạch ngoại vi khi có các dấu hiệu lâm sàng và cận lâm sàng sau:
6.3.1.1. Lâm sàng:
- Hạch thường gặp ở vùng cổ, tiến triển chậm, to dần, kích thước trên 2cm, không đối xứng, không đau, không đỏ, giai đoạn muộn nếu không được điều trị có thể dò chất bã đậu, lâu liền sẹo.
- Triệu chứng toàn thân có thể gặp: sốt, ra mồ hôi đêm, sụt cân
- Điều trị kháng sinh phổ rộng 1 - 2 tuần không đáp ứng.
6.3.1.2. Cận lâm sàng:
- Xét nghiệm tế bào học có thể tìm thấy chất hoại tử bã đậu, tế bào bán liên, tế bào khổng lồ trong các bệnh phẩm lâm sàng hạch (chọc hút, dịch mủ).
- Xét nghiệm mô bệnh học bệnh phẩm sinh thiết hạch có hình ảnh nang lao điển hình: ở giữa là vùng hoại tử bã đậu, bao quanh là các tế bào bán liên, tế bào khổng lồ và tế bào lympho, ngoài cùng là lớp tế bào xơ.
- Soi trực tiếp, Xpert MTB/RIF hoặc nuôi cấy tìm vi khuẩn lao từ bệnh phẩm mủ hạch.
Lưu ý: Cần chẩn đoán phân biệt với hạch viêm phản ứng BCG
- Vị trí thường gặp là trong hố nách, thượng đòn cùng bên tiêm BCG, thường xuất hiện trong năm đầu tiên sau tiêm.
- Xử trí tại chỗ, không dùng phác đồ điều trị lao hạch.
- Trường hợp hạch BCG lan tỏa cần hội chẩn chuyên khoa lao.
6.3.2. Chẩn đoán các thể lao ngoài phổi khác:
|
Vị trí Lao ngoài phổi |
Biểu hiện lâm sàng hay gặp |
Xét nghiệm |
Khuyến cáo |
|
|
Lao màng phổi |
Rì rào phế nang giảm và gõ đục Có thể có đau ngực |
Chụp Xquang Chọc dịch màng phổi * |
- Điều trị lao - Nếu dịch màng phổi có mủ xem khả năng viêm mủ màng phổi và chuyển lên tuyến trên. |
|
|
Trẻ em dưới 5 tuổi mắc thể lao lan tràn và nặng. |
||||
|
Lao màng não |
Đau đầu, khó chịu, quấy khóc, nôn, hôn mê/giảm hoặc mất ý thức, co giật, cổ cứng, thóp phồng, liệt,… |
- Chọc dò tủy sống lấy dịch não tủy *. - Xquang phổi |
Nhập viện điều trị lao ** |
|
|
Lao kê |
Dấu hiệu lâm sàng có thể rầm rộ: khó thở, sốt cao, tím tái (không tương xứng với dấu hiệu thực thể ở phổi), hôn mê, suy kiệt… |
Xquang phổi |
Điều trị hoặc chuyển lên tuyến trên |
|
|
Trẻ em từ 5 tuổi trở lên |
||||
|
Lao màng bụng |
Bụng to dần, cổ trướng, gõ đục vùng thấp hoặc có các đám cứng trong ổ bụng |
Chọc hút dịch màng bụng * |
Chuyển lên tuyến trên ** |
|
|
Lao cột sống |
Đau cột sống vùng tổn thương, đau tăng khi vận động. Cột sống bị biến dạng, có thể chân bị yếu/bị liệt |
Chụp Xquang cột sống |
Chuyển lên tuyến trên** |
|
|
Lao màng ngoài tim |
- Tim nhịp nhanh - Tiếng tim mờ - Mạch khó bắt - Khó thở |
Xquang lồng ngực Siêu âm tim, chọc dịch màng tim * |
Chuyển lên tuyến trên** |
|
|
Lao xương khớp |
- Gặp ở cuối các xương dài, khớp sưng biến dạng, hạn chế vận động. - Tràn dịch một bên, thường ở khớp gối hoặc khớp háng. |
Chụp Xquang/ hút dịch ổ khớp * |
Chuyển lên tuyến trên ** |
|
* Đặc điểm: dịch lỏng màu vàng chanh, protein cao, nhuộm soi trực tiếp có các tế bào bạch cầu, chủ yếu là tế bào lympho.
** Nếu không chuyển được bắt đầu điều trị lao.
(Xem sơ đồ hướng dẫn quy trình chẩn đoán bệnh lao trẻ em ở phụ lục số 7)
7. PHÂN LOẠI BỆNH LAO
7.1. Phân loại bệnh lao theo vị trí giải phẫu
- Lao phổi: bệnh lao tổn thương ở phổi - phế quản, bao gồm cả lao kê. Trường hợp tổn thương phối hợp cả ở phổi và cơ quan ngoài phổi được phân loại là lao phổi.
- Lao ngoài phổi: bệnh lao tổn thương ở các cơ quan ngoài phổi như: màng phổi, hạch, màng bụng, sinh dục tiết niệu, da, xương, khớp, màng não, màng tim,... Nếu lao nhiều bộ phận, thì bộ phận có biểu hiện tổn thương nặng nhất (lao màng não, xương, khớp,...) được ghi là chẩn đoán chính.
7.2. Phân loại lao phổi theo kết quả xét nghiệm nhuộm soi trực tiếp
- Lao phổi AFB(+) và lao phổi AFB (-).
- Xem thêm tiêu chuẩn ở phần chẩn đoán.
7.3. Phân loại bệnh lao theo kết quả xét nghiệm vi khuẩn
- Bệnh nhân lao có bằng chứng vi khuẩn học: là người bệnh có kết quả xét nghiệm dương tính với ít nhất một trong các xét nghiệm: nhuộm soi đờm trực tiếp; nuôi cấy; hoặc xét nghiệm vi khuẩn lao đã được TCYTTG chứng thực (như Xpert MTB/RIF, HAIN).
- Bệnh nhân lao không có bằng chứng vi khuẩn học (chẩn đoán lâm sàng): là người bệnh được chẩn đoán và điều trị lao bởi thầy thuốc lâm sàng mà không đáp ứng được tiêu chuẩn có bằng chứng vi khuẩn học. Các trường hợp bệnh nhân lao không có bằng chứng vi khuẩn (chẩn đoán lâm sàng), sau đó trong quá trình điều trị tìm thấy vi khuẩn lao bằng các xét nghiệm cần được phân loại lại là bệnh nhân lao có bằng chứng vi khuẩn.
7.4. Phân loại bệnh nhân lao theo tiền sử điều trị lao
- Mới: người bệnh chưa bao giờ dùng thuốc chống lao hoặc mới dùng thuốc chống lao dưới 1 tháng.
- Tái phát: người bệnh đã được điều trị lao và được thầy thuốc xác định là khỏi bệnh, hay hoàn thành điều trị nay mắc bệnh trở lại với kết quả AFB(+) hoặc có bằng chứng vi khuẩn.
- Thất bại điều trị, khi người bệnh có:
○ AFB(+) từ tháng điều trị thứ 5 trở đi, phải chuyển phác đồ điều trị,
○ có chẩn đoán ban đầu AFB(-), sau 2 tháng điều trị xuất hiện AFB(+),
○ lao ngoài phổi xuất hiện thêm lao phổi AFB(+) sau 2 tháng điều trị,
○ vi khuẩn đa kháng thuốc được xác định trong bất kỳ thời điểm nào trong quá trình điều trị với thuốc chống lao hàng 1.
- Điều trị lại sau bỏ trị: người bệnh không dùng thuốc liên tục từ 2 tháng trở lên trong quá trình điều trị, sau đó quay trở lại điều trị với kết quả AFB(+) hoặc có bằng chứng vi khuẩn.
- Khác:
+ Lao phổi AFB (+) khác: là người bệnh đã điều trị thuốc lao trước đây với thời gian kéo dài trên 1 tháng nhưng không xác định được phác đồ và kết quả điều trị hoặc không rõ tiền sử điều trị, nay chẩn đoán là lao phổi AFB (+).
+ Lao phổi AFB (-) và lao ngoài phổi khác: Là người bệnh đã điều trị thuốc lao trước đây với thời gian kéo dài trên 1 tháng nhưng không xác định được phác đồ và kết quả điều trị hoặc được điều trị theo phác đồ với đánh giá là hoàn thành điều trị, hoặc không rõ tiền sử điều trị, nay được chẩn đoán lao phổi AFB(-) hoặc lao ngoài phổi.
- Chuyển đến: người bệnh được chuyển từ đơn vị điều trị khác đến để tiếp tục điều trị (lưu ý: những bệnh nhân này không thống kê trong báo cáo “Tình hình thu nhận bệnh nhân lao” và “Báo cáo kết quả điều trị lao”, nhưng phải phản hồi kết quả điều trị cuối cùng cho đơn vị chuyển đi).
7.5. Phân loại bệnh nhân theo tình trạng nhiễm HIV
- Bệnh nhân lao/HIV(+): Bệnh nhân lao có kết quả xét nghiệm HIV(+).
- Bệnh nhân lao/HIV(-): Bệnh nhân lao có kết quả xét nghiệm HIV(-), các bệnh nhân lúc đầu kết quả HIV(-) nhưng sau đó xét nghiệm lại có kết quả HIV dương tính cần được phân loại lại.
- Bệnh nhân lao không rõ tình trạng HIV: Bệnh nhân lao không có kết quả xét nghiệm HIV, những bệnh nhân này sau khi có kết quả xét nghiệm HIV cần được phân loại lại.
7.6. Phân loại bệnh nhân dựa trên tình trạng kháng thuốc
Dựa theo phân loại của Tổ chức Y tế thế giới và các phân loại này không loại trừ lẫn nhau:
- Kháng đơn thuốc: Chỉ kháng với duy nhất một thuốc chống lao hàng một khác Rifampicin
- Kháng nhiều thuốc: Kháng với từ hai thuốc chống lao hàng một trở lên mà không kháng với Rifampicin
- Lao kháng Rifampicin: Kháng với Rifampicin, có hoặc không kháng thêm với các thuốc lao khác kèm theo (có thể là kháng đơn thuốc, kháng nhiều thuốc, đa kháng thuốc hoặc siêu kháng thuốc).
- Đa kháng thuốc (MDR-TB): Kháng đồng thời với ít nhất hai thuốc chống lao là Isoniazid và Rifampicin.
- Tiền siêu kháng: Lao đa kháng có kháng thêm với hoặc bất cứ thuốc nào thuộc nhóm Fluoroquinolone hoặc với ít nhất một trong ba thuốc tiêm hàng hai (Capreomycin, Kanamycin, Amikacin, chứ không đồng thời cả 2 loại thêm).
- Siêu kháng thuốc (XDR-TB): Lao đa kháng có kháng thêm với bất cứ thuốc nào thuộc nhóm Fluoroquinolone và với ít nhất một trong ba thuốc tiêm hàng hai (Capreomycin, Kanamycin, Amikacin).
7.6.1. Phân loại bệnh nhân lao đa kháng theo tiền sử điều trị
- Lao đa kháng mới: bệnh nhân lao đa kháng chưa có tiền sử điều trị lao hoặc mới điều trị lao dưới 1 tháng (còn có thể gọi là lao đa kháng nguyên phát).
- Tái phát: là bệnh nhân đã có tiền sử điều trị lao trước đây, được kết luận khỏi bệnh hay hoàn thành điều trị, nay được chẩn đoán là lao đa kháng.
- Thất bại công thức I: bệnh nhân lao đa kháng có tiền sử là bệnh nhân lao thất bại điều trị công thức I trước đây.
- Thất bại công thức II: bệnh nhân lao đa kháng có tiền sử là bệnh nhân lao thất bại điều trị công thức II trước đây.
- Điều trị lại sau bỏ trị: là bệnh nhân đã có tiền sử điều trị lao trước đây, được kết luận là bỏ trị, nay được chẩn đoán là lao đa kháng.
- Lao đa kháng khác: là bệnh nhân lao đa kháng không rõ kết quả điều trị trước đây.
7.6.2. Phân loại bệnh nhân lao đa kháng theo xét nghiệm trước điều trị
- S+, C+: bệnh nhân lao đa kháng có xét nghiệm trước điều trị nhuộm soi trực tiếp dương tính, nuôi cấy dương tính.
- S-, C+: bệnh nhân lao đa kháng có xét nghiệm trước điều trị nhuộm soi trực tiếp âm tính, nuôi cấy dương tính.
- S+, C-: bệnh nhân lao đa kháng có xét nghiệm trước điều trị nhuộm soi trực tiếp dương tính, nuôi cấy âm tính.
7.7. Phân loại bệnh nhân lao theo tiền sử điều trị (theo phân loại mới của TCYTTG)
- Lao mới: người bệnh chưa bao giờ dùng thuốc chống lao hoặc mới dùng thuốc chống lao dưới 1 tháng.
- Bệnh nhân điều trị lại: là người bệnh đã dùng thuốc chống lao từ 1 tháng trở lên. Bệnh nhân điều trị lại bao gồm:
+ Tái phát: người bệnh đã được điều trị lao trước đây và được xác định là khỏi bệnh, hay hoàn thành điều trị ở lần điều trị gần đây nhất, nay được chẩn đoán là mắc lao trở lại.
+ Thất bại: người bệnh đã được điều trị lao trước đây và được xác định thất bại điều trị ở lần điều trị gần đây nhất.
+ Điều trị lại sau bỏ trị: người bệnh đã điều trị lao trước đây và được xác định bỏ trị ở lần điều trị gần đây nhất.
+ Điều trị lại khác: các trường hợp đã từng điều trị lao trước đây nhưng không xác định được kết quả điều trị.
- Bệnh nhân không rõ về tiền sử điều trị: là các bệnh nhân không rõ tiền sử điều trị, không thể xếp vào một trong các loại trên.
8. LỘ TRÌNH SỬ DỤNG XPERT MTB/RIF TRONG CHẨN ĐOÁN LAO VÀ LAO KHÁNG THUỐC
Song song với việc chẩn đoán kháng thuốc, Xpert MTB/ RIF còn được sử dụng để chẩn đoán bệnh lao trên một số nhóm đối tượng đặc biệt. Lộ trình mở rộng các nhóm đối tượng được xét nghiệm Xpert MTB/RIF dự kiến sẽ triển khai trong Chương trình Chống lao Quốc gia từ 2017 như sau:
Năm 2017:
- Chẩn đoán kháng thuốc trên nhóm nghi lao kháng thuốc và người bệnh lao phổi AFB (+) mới (8 nhóm nêu trên)
- Chẩn đoán lao trên một số nhóm đối tượng đặc biệt bao gồm: Người nghi lao có HIV (+), trẻ em nghi lao, người nghi lao màng não, AFB (-) ở một số địa phương
Năm 2018: Tiếp tục triển khai trên các nhóm đối tượng đã thực hiện 2017, ngoài ra bổ sung:
- Xét nghiệm Xpert MTB/RIF trước khi điều trị cho người bệnh đã được chẩn đoán lao phổi AFB (-). Lưu ý: Xpert MTB/RIF có giá trị cung cấp thêm bằng chứng vi khuẩn trong chẩn đoán bệnh lao. Trường hợp xét nghiệm Xpert cho kết quả không có bằng chứng vi khuẩn lao cũng không loại trừ bệnh lao trong trường hợp đã được chẩn đoán lao phổi AFB (-).
Năm 2019: Bổ sung và mở rộng chẩn đoán lao phổi:
Xét nghiệm Xpert MTB/RIF cho các trường hợp có hình ảnh XQ bất thường nghi lao.
Từ năm 2020: Bổ sung và mở rộng chẩn đoán bệnh lao:
- Mở rộng tới mọi đối tượng biểu hiện nghi lao (Tùy nguồn lực)

XÉT NGHIỆM AFB NHUỘM SOI TRỰC TIẾP
PHƯƠNG PHÁP NHUỘM ZIEHL - NEELSEN
1. MỤC ĐÍCH
Kỹ thuật này nhằm xác định vi khuẩn kháng cồn kháng toan AFB (Acid-Fast- Bacilli) bằng phương pháp nhuộm Ziehl-Neelsen (ZN) sử dụng kính hiển vi quang học.
2. BỆNH PHẨM
2.1. Loại bệnh phẩm
- Bệnh phẩm đờm đạt chất lượng: có nhày mủ, thể tích mẫu ít nhất 2 ml.

- Cặn bệnh phẩm sau ly tâm.
- Khuẩn lạc mọc trên môi trường đặc.
- Canh khuẩn từ týp MGIT (+).
2.2. Yêu cầu về hành chính
- Mẫu phải đựng trong cốc/týp theo qui định.
- Mẫu phải đầy đủ thông tin trên thân dụng cụ chứa mẫu.
- Phiếu xét nghiệm (XN) phải đủ thông tin người bệnh.
- Thông tin trên mẫu và phiếu xét nghiệm phải phù hợp.
3. TRANG THIẾT BỊ - VẬT LIỆU
3.1. Thiết bị
- Tủ an toàn sinh học cấp I được kiểm chuẩn hàng năm.
- Đèn gas hoặc đèn cồn để cố định tiêu bản.
- Máy làm khô tiêu bản (ở nơi có số lượng mẫu nhiều trong ngày).
- Bồn nhuộm tiêu bản.
- Đồng hồ phút.
- Kính hiển vi quang học 2 mắt với vật kính 100X, 10X.
- Nồi hấp hoặc lò đốt.
- Thùng rác có nắp đậy.
3.2. Vật liệu
- Lam kính có đầu mờ.
- Bút chì đen HB.
- Que phết đờm dùng 1 lần (tre, gỗ).
- Vòi nước.
- Bộ hóa chất nhuộm ZN.
- Que có đầu bông (gạc) để đốt lửa hơ nóng tiêu bản.
- Giá nhuộm tiêu bản.
- Giấy lau kính.
- Hộp đựng tiêu bản.
- Giá để tiêu bản sau khi dàn, giá để tiêu bản sau khi nhuộm.
- Giấy lọc thuốc nhuộm.
- Dụng cụ và túi nilon chứa chất thải.
- Dầu soi kính.
4. HÓA CHẤT
4.1. Chuẩn bị hóa chất nhuộm ZN
4.1.1. Dung dịch nhuộm màu Ziehl’s Carbol Fuchsin 0,3%
- Công thức:
Phenol tinh thể…………………………...50gam
Cồn Ethylic 95° …… ……………..........100ml
Fuchsin basis………………………………3gam
Nước cất ………………………………..850ml
- Cách pha: hòa tan phenol trong 100ml cồn, thêm 3 g Fuchsin hòa tan, lọc hỗn dịch trên vào 850 ml nước cất, lắc đều.
4.1.2. Dung dịch tẩy màu cồn acid HCl 3%
- Công thức:
Acid HCl đậm đặc…………………………30ml
Cồn Ethylic 95°…………………………..970ml
- Cách pha: cho từ từ acid đậm đặc vào chai chứa 970 cồn. Không làm ngược lại vì gây nổ.
4.1.3. Dung dịch nhuộm nền xanh methylen 0,3%
- Công thức:
Methylen blue ……………………………...3gam
Nước cất…………………………………1000ml.
- Cách pha: hòa tan 3g Methylen blue trong 1000ml nước cất.
4.2. Bảo quản và hạn sử dụng
- Tuyến tỉnh pha hóa chất nhuộm ZN, lọc và kiểm tra chất lượng đạt yêu cầu, cấp cho tuyến huyện theo chu kỳ hàng tháng.
- Hóa chất màu của ZN phải được bảo quản trong chai thủy tinh màu.
- Bộ hóa chất nhuộm ZN và bộ chai bảo quản thuốc nhuộm phải dán nhãn ghi tên hóa chất, nồng độ, ngày pha và hạn sử dụng.
- Bảo quản hóa chất ở nơi thoáng mát, tránh ánh nắng mặt trời.
- Khi thay hóa chất mới, phải rửa sạch chai cũ tránh tạo cặn fuchsin gây lỗi sai dương.
5. NGUYÊN LÝ
Mycobacteria (trong đó có vi khuẩn lao) có lớp vách sáp dày nên khó bắt màu với thuốc nhuộm thông thường và có tính kháng cồn - acid. Phương pháp nhuộm Ziehl do thuốc nhuộm có chứa phenol và hơ nóng khi nhuộm nên fuchsin ngấm qua lớp vách của vi khuẩn, khi tẩy màu bằng dung dịch cồn-acid 3%, AFB vẫn giữ được màu đỏ Fuchsin trong khi các tế bào và vi khuẩn khác bị tẩy mất màu đỏ, bước nhuộm nền tạo sự tương phản giữa AFB màu đỏ trên màu nền xanh sáng.
6. CÁC BƯỚC THỰC HIỆN
6.1. Chuẩn bị
- Sử dụng lam kính mới, không có vết xước hoặc mốc, đã lau cồn 95° và làm khô.
- Cập nhật thông tin bệnh nhân vào sổ xét nghiệm trước khi thực hiện kỹ thuật.
- Số xét nghiệm thống nhất từ sổ xét nghiệm, phiếu xét nghiệm, cốc đờm và lam kính. Số xét nghiệm gồm 2 phần: tử số là số thứ tự trong sổ xét nghiệm, mẫu số là số thứ tự của mẫu (Ví dụ: 120/1, 120/2). Đối chiếu và kiểm tra các thông tin cẩn thận tránh nhầm lẫn. Số xét nghiệm theo thứ tự từ đầu năm đến cuối năm.
- Dùng bút chì đen HB viết số xét nghiệm lên đầu mờ của lam kính. Không chạm tay vào phần lam kính còn lại.
- Sắp xếp cốc đờm và lam kính theo thứ tự tránh nhầm lẫn.
- Khởi động tủ ATSH trước khi sử dụng ít nhất 15 phút để thanh lọc khí.
- Sắp xếp dụng cụ/vật liệu cần thiết vào tủ ATSH: máy làm khô tiêu bản (bật máy ở 50°-60°C), que dàn tiêu bản, bô can chứa chất sát khuẩn, giá đựng tiêu bản, khay có lót khăn, giấy thấm dung dịch sát khuẩn, lam kính và cốc đờm.
6.2. Dàn tiêu bản
6.2.1. Bệnh phẩm đờm
- Mở nắp cốc đờm nhẹ nhàng, đặt nắp ngửa trên khay.
- Quan sát kỹ mẫu đờm, dùng đầu vát của que phết đờm chọn mảnh đờm nhày mủ, nhẹ nhàng cắt mẩu đờm bằng cách di cạnh vát que tre vào thành cốc đờm.
- Đặt mẩu đờm lên giữa lam kính trùng số với cốc đờm, dùng mặt vát que tre dàn đờm trên lam theo hình bầu dục kích thước 1x2cm, quay mũi nhọn que tre dàn tiếp tạo độ mịn cho vết dàn. Dàn đờm đều đặn, liên tục theo hình xoắn ốc từ trung tâm ra ngoài hoặc theo kiểu tóc rối, dàn đến khi thấy đờm hơi se. Không dàn khi đờm đã khô.
- Hủy que phết đờm vào bô can có chất sát khuẩn.
- Đặt tiêu bản lên giá để khô tự nhiên hoặc làm khô trên máy làm khô tiêu bản.
- Đậy lại nắp cốc đờm.

Sử dụng que tre có đầu vát theo hình ảnh
6.2.2. Cặn bệnh phẩm sau li tâm
- Nhỏ 1 - 2 giọt cặn lên giữa lam kính, dàn tiêu bản theo kích thước 1 x 2 cm.
- Các bước tiếp theo giống như tiêu bản đờm.
6.2.3. Canh khuẩn MGIT (+)
- Quan sát tuýp MGIT (+) nếu có cặn vụn ở đáy tuýp, dùng pipet nhựa vô trùng hút nhẹ lớp cặn vụn nhỏ 1 giọt vào lam kính đã tạo nền albumin, dàn nhẹ nhàng.
- Nếu canh khuẩn đục đều hút 1 - 2 giọt làm tiêu bản.
- Các bước tiếp theo giống như tiêu bản đờm.
6.2.4. Khuẩn lạc từ nuôi cấy đặc
- Lấy khuẩn lạc từ tuýp cấy nghiền nhẹ vào 1 giọt nước cất trên lam kính tạo huyền dịch hơi đục, dàn tiêu bản.
- Các bước tiếp theo giống như tiêu bản đờm.
6.3. Cố định tiêu bản
Hơ nóng tiêu bản qua ngọn lửa đèn cồn 3 lần mỗi lần khoảng 3 giây (mặt tiêu bản ngửa lên trên).
6.4. Nhuộm tiêu bản: 3 bước
6.4.1 Nhuộm màu
- Xếp tiêu bản theo thứ tự trên giá nhuộm, mỗi tiêu bản cách nhau ít nhất 1 cm.
- Phủ dung dịch Fuchsin 0,3% kín toàn bộ bề mặt lam kính.
- Hơ nóng tiêu bản từ phía dưới đến khi Fuchsin bốc hơi.
- Để ít nhất 5 phút.
- Nếu Fuchsin tràn ra ngoài, bổ sung thêm Fuchsin và hơ nóng lại.
- Rửa tiêu bản nhẹ nhàng cho trôi hết thuốc nhuộm.
- Nghiêng tiêu bản cho ráo nước.
6.4.2 Tẩy màu
- Phủ đầy dung dịch acid - cồn lên tiêu bản, để 3 phút.
- Rửa nước. Nghiêng tiêu bản cho ráo nước.
- Sau khi rửa, các tiêu bản không còn màu hồng.
- Nếu tiêu bản vẫn còn màu hồng, tẩy lại lần 2, thời gian từ 1- 3 phút cho đến khi hết màu hồng, rửa lại nước.
6.4.3 Nhuộm nền
- Phủ đầy dung dịch xanh Methylene 0,3% lên tiêu bản.
- Để 30 giây - 1 phút.
- Rửa nước, nghiêng tiêu bản cho ráo nước.
Chú ý: cho vòi nước chảy nhẹ nhàng từ đầu tiêu bản. KHÔNG xối vòi nước thẳng vào vết dàn.
6.5. Làm khô tiêu bản
- Xếp tiêu bản lên giá để khô tự nhiên, hoặc bằng máy làm khô tiêu bản.
Chú ý: KHÔNG làm khô tiêu bản bằng cách hơ tiêu bản qua ngọn lửa hay dùng khăn hoặc giấy để thấm khô.
6.6. Soi kính hiển vi
6.6.1 Lấy vi trường
- Bật nguồn điện.
- Lau thị kính, vật kính và tụ quang bằng giấy lau chuyên dụng.
- Xoay vật kính x10 vào trục quang học.
- Đặt tiêu bản lên mâm kính, sử dụng vật kính x10 để lấy vi trường.
- Nhỏ một giọt dầu soi vào đầu trái của vết dàn, để giọt dầu rơi tự do không chạm đầu ống nhỏ giọt vào vết dàn tránh nhiễm chéo.

- Xoay vật kính x100 vào trục quang học. Dầu soi tạo thành 1 lớp mỏng giữa vật kính x100 và tiêu bản.
- Không để vật kính chạm tiêu bản.
- Điều chỉnh ốc vi cấp nhẹ nhàng để nhìn hình ảnh rõ nét.
Chú ý: Không soi tiêu bản ướt vì không rõ vi trường và có thể hỏng vật kính
Chỉ dùng ốc vi cấp với vật kính x100.
6.6.2. Cách soi tiêu bản và nhận định kết quả
- Cách soi: cần phải hệ thống và chuẩn hóa, soi dòng giữa từ trái sang phải (tương đương với 100 vi trường). Điều chỉnh ốc vi cấp cho hình ảnh rõ nét nhất, quan sát kỹ từ ngoại vi vào trung tâm vi trường để phát hiện AFB. Đọc xong vi trường thứ nhất, chuyển sang đọc các vi trường kế tiếp cho đến hết dòng. Khi cần đọc > 100 vi trường, chuyển dòng kế tiếp từ phải qua trái (theo hình vẽ).

- Nhận định kết quả:
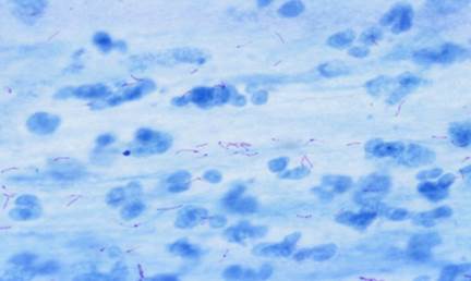
+ Hình ảnh AFB từ bệnh phẩm: AFB có hình que mảnh, hơi cong, bắt màu đỏ, đứng riêng biệt hay xếp thành từng cụm, dễ nhận biết trên nền xanh. Đếm số lượng AFB và ghi kết quả theo qui định như bảng 1.

Bảng 1: Quy định ghi kết quả xét nghiệm AFB nhuộm ZN
|
Số lượng AFB |
Kết quả |
Phân loại |
|
0 AFB / 100 vi trường |
Âm tính |
|
|
1 - 9 AFB / 100 vi trường |
Dương tính |
Ghi số lượng AFB cụ thể |
|
10 - 99 AFB / 100 vi trường |
Dương tính |
1+ |
|
1 -10 AFB /1 vi trường (soi ít nhất 50 vi trường) |
Dương tính |
2+ |
|
>10 AFB / 1 vi trường (soi ít nhất 20 vi trường) |
Dương tính |
3+ |
+ Hình ảnh AFB từ khuẩn lạc trên nuôi cấy đặc: AFB màu đỏ xếp thành đám dày đặc hoặc thành từng búi lớn.
+ Hình ảnh AFB từ tuýp MGIT(+): AFB màu đỏ kết thành cuộn thừng (cord forming) hoặc thành đám hoặc rải rác riêng biệt.
6.6.3. Lưu trữ tiêu bản
- Không ghi kết quả soi trên tiêu bản.
- Các tiêu bản sau khi soi xong, làm sạch dầu soi bằng cách xếp tiêu bản vào hộp bảo quản có lót giấy mềm để thấm dầu soi chảy xuống. Hôm sau, lau phần dầu soi còn đọng lại ở cạnh tiêu bản.
- Xếp các tiêu bản vào hộp đựng tiêu bản theo thứ tự trong sổ xét nghiệm để phục vụ cho công tác kiểm định tiêu bản.
- Hộp tiêu bản lưu ở nơi thoáng, khô ráo và tránh ánh nắng trực tiếp.
7. GHI CHÉP VÀ BÁO CÁO KẾT QUẢ
- Kiểm tra số XN trên tiêu bản trùng với số ghi trên phiếu XN.
- Ghi kết quả soi kính vào phần xét nghiệm của phiếu XN và sổ xét nghiệm.
- Ghi ngày tháng làm XN và ký tên vào phiếu và sổ xét nghiệm.
- Kết quả dương tính phải ghi bằng mực đỏ trong sổ xét nghiệm.
- Thực hiện báo cáo tháng, báo cáo quý và báo cáo năm theo qui định của CTCLQG.
8. KIỂM TRA CHẤT LƯỢNG
8.1. Kiểm tra chất lượng thuốc nhuộm
- Kiểm tra chất lượng thuốc nhuộm ngay sau khi pha lô mới:
+ Chuẩn bị sẵn lô tiêu bản từ mẫu đờm biết trước kết quả âm tính và dương tính ở mức độ 1 +.
+ Mỗi lô thuốc nhuộm mới pha nhuộm 3 tiêu bản dương và 3 tiêu bản âm đúng qui trình kĩ thuật.
+ Kết quả thuốc nhuộm đạt chất lượng: tiêu bản dương thấy AFB bắt màu đỏ trên nền xanh sáng, không thấy cặn thuốc nhuộm, tiêu bản âm không thấy AFB.
+ Kết quả thuốc nhuộm không đạt chất lượng: tiêu bản dương không thấy AFB hoặc AFB nhạt màu, nền xanh tối, thấy cặn thuốc nhuộm, tiêu bản âm thấy AFB.
+ Kiểm tra chất lượng nhuộm tiêu bản hàng ngày: nhuộm chứng dương và âm cùng mẻ nhuộm tiêu bản thông thường. Đọc kết quả chứng dương và chứng âm trước khi đọc tiêu bản của người bệnh.
+ Khi kết quả kiểm tra không đạt, phải xem xét lại toàn bộ quá trình từ thuốc nhuộm, tiêu bản chứng đến kỹ thuật nhuộm soi, nhuộm thêm lô tiêu bản chứng mới nếu kết quả vẫn không đạt phải hủy bỏ thuốc nhuộm.
- Chỉ sử dụng và cấp phát thuốc nhuộm đã kiểm tra đảm bảo chất lượng.
- Phải có sổ pha, kiểm tra, quản lý và cấp phát thuốc nhuộm.
- Hạn sử dụng thuốc nhuộm 1 tháng theo qui định của CTCLQG.
- Chai lọ đựng thuốc nhuộm phải được dán nhãn và hạn sử dụng, được bảo quản nơi thoáng mát, khô ráo và tránh ánh nắng mặt trời.
8.2. Kiểm tra chất lượng tiêu bản theo 6 tiêu chuẩn
8.2.1. Chất lượng bệnh phẩm
- Sự có mặt của bạch cầu đa nhân, đại thực bào.
- Chất lượng bệnh phẩm đạt yêu cầu khi soi:
+ Có trên 25 bạch cầu đa nhân/1VT ở độ phóng đại 100x (vật kính 10x, thị kính 10x) hay 3-4 bạch cầu đa nhân/1VT với vật kính dầu.
+ Hoặc có đại thực bào.
- Bệnh phẩm đạt chất lượng kết quả xét nghiệm mới chính xác.
8.2.2. Kích thước tiêu bản
- Kích thước 1x2cm, cú hình ovan nằm ở giữa lam kính

8.2.3. Độ mịn
- Bệnh phẩm được dàn đều để đạt độ mịn cần thiết.
- Tiêu bản đạt về độ mịn:
+ Bề mặt tiêu bản liên tục, đều đặn, không bị rỗng, bong trụi.
+ Soi kính: các vi trường liên tục không có nhiều vi trường rỗng, độ sáng đều đặn.
8.2.4. Độ dày
- Tiêu bản đạt tiêu chuẩn có độ dày khoảng 0,04 mm, khi tiêu bản khô, chưa nhuộm có thể kiểm tra bằng cách để một tờ giấy có chữ in xuống dưới tiêu bản cách 4-5 cm nếu nhìn thấy chữ mờ có thể đọc được là đạt, không đọc được chữ là dày, nhìn chữ quá rõ là mỏng.

Quá mỏng Đạt độ dày Quá dày
- Nếu quá dày tiêu bản có nhiều lớp, không soi thấu, vi trường xanh tối; nếu quá mỏng các vi trường thưa thớt, nền xanh nhạt.
8.2.5. Nhuộm và tẩy màu
- Tiêu bản nhuộm và tẩy màu đạt: AFB bắt mầu đỏ phân biệt rõ ràng với nền màu xanh
- Tiêu bản nhuộm và tẩy màu không đạt:
+ AFB nhạt mầu có thể do tẩy quá hoặc nhuộm chưa đủ (thời gian, sức nóng...).
+ Nền cũng màu đỏ do tẩy màu chưa đủ khó phân biệt rõ AFB (những tiêu bản nhìn bằng mắt thường còn màu đỏ là tẩy chưa đạt).
+ Nền xanh đậm, AFB tối do nhuộm nền quá lâu.
8.2.6. Độ sạch
- Tiêu bản đạt độ sạch: soi không thấy các cặn bẩn, cặn Fuchsin, tinh thể..
- Tiêu bản không đạt độ sạch: soi thấy các cặn bẩn, cặn Fuchsin, tinh thể.. do thuốc nhuộm cú cặn hoặc do hơ quá nóng trong khi nhuộm Fuchsin.
8.3. Kiểm định tiêu bản
- Thực hiện kiểm định tiêu bản theo phương pháp kiểm định theo lô (LQAS)
- PXN tuyến tỉnh thực hiện kiểm định tiêu bản hàng tháng cho tuyến huyện.
- PXN tuyến trung ương kiểm định cho tuyến tỉnh hàng quí hoặc kiểm tra ngẫu nhiên trong các đợt KTGS quí.
8.4. Đọc sai kết quả - Hậu quả - Cách phòng ngừa
8.4.1.Hậu quả lỗi sai dương
- Người bệnh “bị” điều trị một cách không cần thiết.
- Đánh giá sai kết quả, tăng tỉ lệ bệnh nhân lao.
- Lãng phí thuốc.
- Người bệnh không tin tưởng vào xét nghiệm.
8.4.2. Phòng ngừa lỗi sai dương
- Chất lượng kính hiển vi tốt.
- Sử dụng tiêu bản mới, không có vết xước.
- Sử dụng que phết đờm riêng cho từng bệnh phẩm.
- Hóa chất nhuộm Ziehl đạt chất lượng.
- Không để dung dịch Fuchsin khô trong khi nhuộm.
- Không có thức ăn hoặc chất xơ trong mẫu đờm.
- Lau vật kính dầu sau mỗi lần soi tiêu bản dương.
- Đối chiếu số xét nghiệm chính xác, thông tin bệnh nhân phù hợp.
- Ghi chép và báo cáo kết quả chính xác.
8.4.3. Hậu quả của lỗi sai âm
- Người bệnh lao không được điều trị có thể tử vong.
- Người bệnh tiếp tục truyền bệnh cho những người xung quanh.
- Đánh giá kết quả điều trị sai lệch.
- Người bệnh không tin tưởng vào xét nghiệm.
8.4.4. Phòng ngừa lỗi sai âm
- Chất lượng kính hiển vi tốt.
- Đảm bảo đờm đạt chất lượng (ít nhất 2 ml, có nhày mủ).
- Hóa chất nhuộm Ziehl đạt chất lượng.
- Thực hiện đúng qui trình kĩ thuật: chọn mảnh đờm đặc, mủ để làm tiêu bản, dàn tiêu bản đạt độ dày, cố định tiêu bản tốt, nhuộm fuchsin đủ độ nóng và đủ thời gian.
- Phải đọc đủ 100 vi trường.
- Đối chiếu số xét nghiệm chính xác, thông tin bệnh nhân phù hợp.
- Ghi chép và báo cáo kết quả chính xác.
8.5. Các vấn đề phát sinh khi soi kính và cách giải quyết
|
Vấn đề |
Nguyên nhân |
Giải pháp |
|
Độ sáng của vi trường không đạt |
- Tụ quang để quá thấp - Tụ quang bị đóng |
- Nâng tụ quang lên - Mở chắn sáng ra |
|
Bóng tối trong vi trường chuyển động khi xoay thị kính |
- Thị kính bị bẩn - Bề mặt của thị kính bị xước |
- Lau sạch thị kính - Thay thị kính mới |
|
Hình ảnh không rõ khi soi vật kính dầu |
- Mặt tiêu bản bị lật ngược - Có bọt khí trong dầu - Chất lượng dầu soi kém - Vật kính bị bẩn |
- Lật tiêu bản lên - Di chuyển vật kính x 100 nhanh từ bên này sang bên kia - Chỉ sử dụng dầu soi chất lượng tốt. - Lau sạch vật kính |
|
Hình ảnh không rõ khi soi vật kính độ phóng đại nhỏ |
- Có dầu ở vật kính - Có lớp bụi trên bề mặt của vật kính - Vật kính có thể bị vỡ |
- Lau sạch vật kính - Thay vật kính mới |
8.6. Bảo quản kính hiển vi
- Đặt KHV ở nơi vững chắc, khô ráo, không có bụi, tránh ánh nắng trực tiếp. Độ ẩm cao có thể làm mốc bộ phận quang học (vật kính, thị kính, tụ quang..) và bộ phận cơ học bị han rỉ.
- Tránh va chạm mạnh làm hỏng kính hiển vi, không để vật kính chạm vào tiêu bản
- Chỉ sử dụng ốc vi cấp khi soi vật kính dầu
- Lau bộ phận quang học bằng giấy lau chuyên dụng, lau sạch dầu soi trên bề mặt vật kính dầu ngay sau khi sử dụng
- Vệ sinh kính sau mỗi ngày sử dụng.
- Khi không sử dụng để kính ở trạng thái “nghỉ”: tắt nguồn điện, xoay vật kính ra khỏi trục quang học, hạ tụ quang, phủ kính tránh bụi.
- Nếu có điều kiện bảo quản KHV trong tủ bảo quản kính chuyên dụng.
- Nếu phát hiện kính bị hỏng tuyệt đối không được tự ý tháo ra sửa chữa phải báo người có trách nhiệm giải quyết.
9. THỰC HÀNH AN TOÀN PXN
- Sắp xếp bố trí phòng xét nghiệm nhuộm soi trực tiếp hợp lý.
- Sử dụng tủ ATSH theo qui định, đảm bảo luồng khí lưu thông trong tủ không bị ảnh hưởng bởi các vật liệu che lấp. Kết thúc công việc, lau tủ bằng cồn 70°.
- Các thao tác kỹ thuật phải nhẹ nhàng tránh tạo hạt mù: mở nắp lọ đờm, lấy mảnh đờm, dàn tiêu bản., cố định khi tiêu bản chưa khô hoàn toàn.
- Khử nhiễm vật liệu lây nhiễm theo qui định.
XÉT NGHIỆM AFB NHUỘM SOI TRỰC TIẾP PHƯƠNG PHÁP NHUỘM HUỲNH QUANG ĐÈN LED
1. MỤC ĐÍCH
Kỹ thuật này nhằm xác định vi khuẩn kháng cồn kháng toan AFB (Acid -Fast- Bacilli) bằng phương pháp nhuộm huỳnh quang sử dụng kính huỳnh quang đèn LED.
2. BỆNH PHẨM
Đờm và cặn bệnh phẩm sau li tâm (không nhuộm huỳnh quang chủng vi khuẩn).
3. TRANG THIẾT BỊ VÀ VẬT LIỆU
Giống phương pháp nhuộm Ziehl - Neelsen. Thay thế KHV quang học bằng KHV huỳnh quang đèn LED.
- Cấu tạo KHV đèn LED: 30 phần
1. Diềm thị kính (có thể tháo ra nếu người sử dụng cảm thấy không thuận tiện).
2. Thị kính.
3. Ống gắn thị kính.
4. Ống chứa hệ thống lăng kính.
5. Cần chuyển đổi quang hệ (quang hệ truyền qua/quang hệ phản xạ).
6. Nút bật/tắt và điều chỉnh cường độ chiếu sáng cho quang hệ phản xạ.
7. Tay xách.
8. Bộ chuyển nguồn điện.
9. Cụm đèn báo cường độ chiếu sáng cho quang hệ truyền qua.
10. Nút bật/tắt và điều chỉnh cường độ chiếu sáng cho quang hệ truyền qua.
11. Nút điều chỉnh vi cấp (bên phải).
12. Nút điều chỉnh vĩ cấp (bên phải).
13.Nút điều chỉnh di chuyển mâm kính (chiều trái - phải).
14. Nút điều chỉnh di chuyển mâm kính (chiều trước - sau).
15. Chốt cố định tụ quang.
16. Nguồn chiếu sáng.
17. Gá phin lọc ánh sáng vàng.
18. Màn trập (cố định).
19. Cặp vít chỉnh tụ quang chính tâm.
20. Tụ quang.
21. Vật kính.
22. Mâm kính.
23. Cần kẹp lam kính.
24. Vòng xoay gắn vật kính.
25. Đèn báo nguồn chiếu sáng quang hệ phản xạ (màu xanh dương: bật; cường độ chiếu sáng tỷ lệ thuận với độ chiếu sáng của đèn báo).
26. Cần điều chỉnh màn chập của tụ quang.
27. Nút điều chỉnh theo chiều thẳng đứng.
28. Nút điều chỉnh vĩ cấp (bên trái).
29. Nút điều chỉnh vi cấp (bên trái).
30.Vòng điều chỉnh độ mượt khi di chuyển nút vĩ cấp.
- Các bước sử dụng kính hiển vi huỳnh quang đèn LED: 8 bước
Bước 1. Nối nguồn điện hoặc dùng pin. Đóng chắn sáng.
Bước 2. Lựa chọn ánh sáng huỳnh quang (gạt nút ngược chiều kim đồng hồ phía”fluorescence”) (công tắc số 5).
Bước 3. Chỉnh nút on/of điều chỉnh ánh sáng huỳnh quang (số 6).
Bước 4. Quan sát tiêu bản bằng vật kính 10 X, sử dụng vĩ cấp.
Bước 5. Điều chỉnh khoảng cách giữa 2 ống thị kính để có 1 hình ảnh trùng nhau.
Bước 6. Chỉnh vi cấp để có hình ảnh rõ nét.
Bước 7. Chuyển vật kính 20 X để quan sát tìm AFB.
Bước 8. Quan sát kỹ vi trường, sau đó chuyển vi trường khác theo chiều dài tiêu bản bằng nút di chuyển (số 13, 14).
Hình ảnh KHV huỳnh quang đèn LED

4. HÓA CHẤT NHUỘM HUỲNH QUANG
4.1 Hóa chất tự pha:
4.1.1. Dung dịch Auramine 0,1%
- Công thức:
+ Auramin O: 1 gam
+ Phenol: 30 gam
+ Cồn 95% 100 ml
+ Nước cất 870 ml
- Cách pha
+ Hòa tan 30 gam phenol vào 100 ml cồn 95°
+ Thêm 1 gam auramin O vào dung dịch trên,
+ Trộn đều. Có thể sử dụng máy trộn,
+ Cho nước cất vừa đủ 1000 ml,
+ Lọc qua giấy lọc và chứa vào chai màu,
+ Dán nhãn ghi rõ tên hóa chất, nồng độ, và ngày pha,
+ Vặn chặt nút chai giữ trong tủ, tránh ánh sáng mặt trời.
+ Hạn sử dụng 1 tháng.
4.1.2. Dung dịch cồn tẩy acid HCl 0,5%
- Công thức:
+ Cồn 70° 995 ml
+ HCl 5 ml
- Cách pha:
+ Cho 995 ml cồn 70° vào bình 2 lít,
+ Rót từ từ acid HCl vào bình, trộn đều,
+ Dán nhãn ghi tên hóa chất, nồng độ và ngày pha,
+ Vặn chặt nút chai giữ trong tủ, tránh ánh sáng mặt trời,
+ Hạn sử dụng 1 tháng.
4.1.3. Dung dịch methylen blue 0,3%
- Công thức:
+ Methylene blue: 3 gam
+ Nước cất: 1000 ml
- Cách pha:
+ Hòa tan xanh methylen trong nước cất.
+ Dán nhãn ghi tên hóa chất, nồng độ và ngày pha.
+ Vặn chặt nút chai giữ trong tủ, tránh ánh sáng mặt trời.
+ Hạn sử dụng 1 tháng.
4.2. Hóa chất huỳnh quang nhanh (bô kít):
- QBC. FAST AuraminO: chai 250 ml màu nâu.
- QBC. FAST Decolerizer/Quencher: chai 250 ml màu xanh.
Bộ hóa chất trong hạn sử dụng.
5. NGUYÊN LÝ
Mycobacteria có lớp vách sáp dày, khi nhuộm Auramine thấm vào vi khuẩn do có phenol trong dung dịch nhuộm, khi tẩy màu bằng dung dịch acid-cồn AFB vẫn giữ được màu vàng của auramine do có tính kháng acid, nhuộm nền bằng xanh methylene để tạo màu nền tối, thuần nhất cho ánh sáng phát quang. Khi soi bằng ánh sáng huỳnh quang AFB phát quang màu vàng sáng tương phản rõ ràng trên nền tối.
Kính hiển vi huỳnh quang có ưu điểm là soi nhanh hơn KHV quang học (ánh sáng trắng) với nhuộm Ziehl - Neelsen và đặc biệt có giá trị ở những phòng xét nghiệm có khối lượng công việc lớn. Kĩ thuật này cũng có độ nhạy cao hơn ở những mẫu bệnh phẩm ít vi khuẩn vì số vi trường được quan sát nhiều hơn.
6. CÁC BƯỚC THỰC HIỆN
6.1. Chuẩn bị tiêu bản
Các bước làm tiêu bản, cố định tiêu bản giống như phương pháp nhuộm ZN.
6.2. Các bước nhuộm huỳnh quang (hóa chất tự pha)
6.2.1. Nhuộm màu Auramine
- Xếp tiêu bản theo thứ tự trên giá nhuộm, mỗi tiêu bản cách nhau ít nhất 1 cm.
- Phủ dung dịch auramine 0,1 % kín toàn bộ bề mặt tiêu bản.
- Để ít nhất 15 phút.
- Rửa tiêu bản nhẹ nhàng cho trôi hết thuốc nhuộm.
- Nghiêng tiêu bản cho ráo nước.
6.2.2 Tẩy màu
- Phủ đầy dung dịch acid - cồn 0,5% lên tiêu bản, để 2 phút.
- Rửa nước. Nghiêng tiêu bản cho ráo nước.
- Sau khi rửa, các tiêu bản không còn màu vàng.
- Nếu tiêu bản vẫn còn màu vàng, tẩy lại lần 2, thời gian từ 1 - 2 phút cho đến khi hết màu vàng, rửa lại nước.
6.2.3. Nhuộm nền
- Phủ đầy dung dịch xanh Methylene 0,3% lên tiêu bản.
- Để 1 - 2 phút.
- Rửa nước, nghiêng tiêu bản cho ráo nước.
6.2.4. Làm khô tiêu bản
- Để tiêu bản khô tự nhiên ở nhiệt độ PXN hoặc làm khô ở máy làm khô tiêu bản.
- Xếp tiêu bản vào hộp tránh ánh sáng.
6.3. Các bước nhuộm huỳnh quang nhanh (bộ kit QBC)
6.3.1. Nhuộm màu Auramine
- Xếp tiêu bản theo thứ tự trên giá nhuộm, mỗi tiêu bản cách nhau ít nhất 1 cm.
- Phủ dung dịch FAST AuraminO kín vết dàn.
- Để 1-2 phút.
- Rửa tiêu bản nhẹ nhàng cho trôi hết thuốc nhuộm.
- Nghiêng tiêu bản cho ráo nước.
6.3.2. Tẩy màu và nhuộm nền
- Phủ dung dịch FAST Decolerizer/Quencher kín vết dàn.
- Để 1 phút.
- Rửa nước. Nghiêng tiêu bản cho ráo nước.
- Để tiêu bản khô tự nhiên ở nhiệt độ PXN hoặc làm khô ở máy làm khô tiêu bản
- Xếp tiêu bản vào hộp tránh ánh sáng.
Hình ảnh mô tả các bước nhuộm huỳnh quang bằng hóa chất tự pha (phụ lục 16).
7. ĐỌC TIÊU BẢN, GHI CHÉP VÀ BÁO CÁO KẾT QUẢ
7.1. Lấy vi trường
- Bật nguồn điện.
- Lựa chọn ánh sáng huỳnh quang (gạt nút ngược chiều kim đồng hồ phía ”fluorescence”).
- Chỉnh nút on/of điều chỉnh ánh sáng huỳnh quang.
- Xoay vật kính x10 vào trục quang học.
- Đặt tiêu bản lên mâm kính, sử dụng vật kính x10 để lấy vi trường.
- Điều chỉnh khoảng cách giữa 2 ống thị kính để có 1 hình ảnh trùng nhau.
- Xoay vật kính x 20 vào trục quang học.
- Chỉnh vi cấp để có hình ảnh rõ nét.
7.2. Cách soi tiêu bản và nhận định kết quả
- Cách soi: cần phải hệ thống và chuẩn hóa, soi dòng giữa từ trái sang phải (tương đương với 30 vi trường). Điều chỉnh ốc vi cấp cho hình ảnh rõ nét nhất, quan sát kỹ từ ngoại vi vào trung tâm vi trường để phát hiện AFB. Đọc xong vi trường thứ nhất, chuyển sang đọc các vi trường kế tiếp cho đến hết dòng.
Khi cần đọc > 1 dòng, chuyển dòng kế tiếp từ phải qua trái.
- Hình thể AFB trên tiêu bản nhuộm huỳnh quang: AFB dạng trực khuẩn mảnh, màu vàng phát quang trên nền tối, AFB đứng riêng rẽ hoặc thành từng đám. Chú ý: một số thành phần khác có thể bắt màu vàng phát quang hoặc không nhưng hình thể không điển hình.
Lưu ý: khi cần xác định rõ hình ảnh AFB, chuyển vật kính 40, sau đó lại chuyển về vật kính 20 để tiếp tục nhận định kết quả.
- Phân loại kết quả như bảng 2.
Hình ảnh AFB trên tiêu bản nhuộm huỳnh quang

Bảng 2: Quy định ghi kết quả xét nghiệm AFB nhuộm huỳnh quang
|
Số lượng AFB quan sát bằng vật kính 20 X |
Kết quả |
Kết quả |
|
0 AFB/ 1 dòng |
Âm tính |
Âm tính |
|
1-29 AFB/ 1 dòng |
Dương tính |
Ghi số lượng AFB cụ thể |
|
30-299 AFB/ 1 dòng |
Dương tính |
1+ |
|
10-100 AFB/ 1 VT (soi ít nhất 10 VT) |
Dương tính |
2+ |
|
>100 AFB/ 1 VT (soi ít nhất 4 VT) |
Dương tính |
3+ |
Ghi chú: 1 dòng tương đương 30 vi trường, VT: vi trường
Bảng 3: So sánh ghi kết quả xét nghiệm AFB 2 phương pháp nhuộm
|
Kết quả |
Nhuộm ZN (phóng đại 1000 lần) 1 dòng = 2cm = 100VT |
Nhuộm huỳnh quang (phóng đại 200 lần) 1 dòng = 2cm = 20VT |
Nhuộm huỳnh quang (phóng đại 400 lần) 1 dòng = 2cm = 40VT |
|
Âm tính |
0 AFB / 100 VT |
0 AFB/ 20 VT |
0 AFB / ít nhất 40 VT |
|
Ghi số lượng AFB cụ thể |
1 - 9 AFB / 100 VT |
1-29 AFB/ 20 VT |
1-19 AFB / 40 VT |
|
1+ |
10 - 99 AFB / 100 VT |
30-299 AFB/ 20 VT |
20-199 AFB/ 40 VT (Soi ít nhất 40 VT) |
|
2+ |
1 -10 AFB /1 VT (soi ít nhất 50 VT) |
10-100 AFB/ 1 VT (soi ít nhất 10 VT) |
5-50 AFB/ 1 VT (Soi ít nhất 20 VT) |
|
3+ |
>10 AFB / 1 VT (soi ít nhất 20 VT) |
>100 AFB/ 1 VT (soi ít nhất 4 VT) |
>50 AFB/ 1 VT (Soi ít nhất 8 VT) |
7.3. Ghi chép và báo cáo kết quả
- Kiểm tra số XN trên tiêu bản trùng với số ghi trên phiếu XN.
- Ghi kết quả soi kính vào phiếu XN và sổ xét nghiệm.
- Ghi ngày tháng làm XN và ký tên vào phiếu và sổ xét nghiệm.
- Kết quả dương tính phải ghi bằng mực đỏ trong sổ xét nghiệm.
- Kết quả xét nghiệm được trả ngay sau khi đọc kết quả.
7.4. Lưu trữ tiêu bản
- Không ghi kết quả soi trên tiêu bản.
- Xếp các tiêu bản vào hộp đựng tiêu bản theo thứ tự trong sổ xét nghiệm để phục vụ cho công tác kiểm định tiêu bản.
- Hộp tiêu bản lưu ở nơi thoáng, khô ráo và tránh ánh nắng trực tiếp.
8. KIỂM TRA CHẤT LƯỢNG
8.1. Kiểm tra chất lượng thuốc nhuộm
- Kiểm tra chất lượng thuốc nhuộm ngay sau khi pha lô mới:
+ Chuẩn bị sẵn lô tiêu bản từ mẫu đờm biết trước kết quả âm tính và dương tính ở mức độ 1 +.
+ Mỗi lô thuốc nhuộm mới pha nhuộm 3 tiêu bản dương và 3 tiêu bản âm đúng qui trình kĩ thuật.
+ Kết quả thuốc nhuộm đạt chất lượng: tiêu bản dương thấy AFB bắt màu vàng phát quang trên nền tối, không thấy cặn thuốc nhuộm, tiêu bản âm không thấy AFB.
+ Kết quả thuốc nhuộm không đạt chất lượng: tiêu bản dương không thấy AFB hoặc AFB bắt màu vàng nhạt không phát quang hoặc phát quang yếu, nền không tối, có nhiều thành phần khác phát quang, thấy cặn thuốc nhuộm, tiêu bản âm thấy AFB.
- Kiểm tra chất lượng thuốc nhuộm hàng tuần: nhuộm chứng dương và âm cùng mẻ, nhuộm tiêu bản thông thường. Đọc kết quả chứng dương và chứng âm trước khi đọc tiêu bản của người bệnh.
- Khi kết quả kiểm tra không đạt, phải xem xét lại toàn bộ quá trình từ thuốc nhuộm, tiêu bản kiểm tra đến kỹ thuật nhuộm soi, nhuộm thêm lô tiêu bản chứng mới nếu kết quả vẫn không đạt phải hủy bỏ thuốc nhuộm.
- Chỉ sử dụng và cấp phát thuốc nhuộm đã kiểm tra đảm bảo chất lượng.
- Phải có sổ pha, kiểm tra, quản lý và cấp phát thuốc nhuộm.
- Hạn sử dụng thuốc nhuộm 1 tháng.
- Chai lọ đựng thuốc nhuộm phải được dán nhãn và hạn sử dụng, được bảo quản nơi thoáng mát, khô ráo và tránh ánh nắng mặt trời.
8.2. Kiểm tra chất lượng tiêu bản
8.2.1. Tiêu chuẩn đánh giá (3 tiêu chuẩn)
8.2.1.1. Kích thước tiêu bản
Xem mục 9.2.2. Kích thước tiêu bản (Bài Xét nghiệm AFB nhuộm soi trực tiếp bằng phương pháp nhuộm Ziehl - Neelsen).
8.2.1.2 Độ mịn
Xem mục 9.2.3. Độ mịn (Bài Xét nghiệm AFB nhuộm soi trực tiếp bằng phương pháp nhuộm Ziehl - Neelsen).
8.2.1.3 Độ dày
Xem mục 9.2.4. Độ dày (Bài Xét nghiệm AFB nhuộm soi trực tiếp bằng phương pháp nhuộm Ziehl - Neelsen).
8.2.2. Phương pháp đánh giá
- Thực hiện kiểm định tiêu bản theo phương pháp kiểm định theo lô (LQAS).
- Đánh giá chất lượng tiêu bản nhuộm theo 3 tiêu chuẩn: kích cỡ, độ dày và độ mịn.
8.3. Nguyên nhân sai kết quả dương
8.3.1. Nguyên nhân sai dương
- Chất lượng thuốc nhuộm không đạt (nước cất pha auramine nhiễm AFB).
- Kỹ thuật nhuộm chưa đúng: các tiêu bản để quá sít, xối nước mạnh AFB từ tiêu bản dương tràn sang tiêu bản khác, tẩy màu chưa đủ..).
- Nhận định sai AFB do XNV thiếu kinh nghiệm nhầm lẫn với các chất phát quang khác (thức ăn, cặn Auramine..).
- Chất lượng kính kém hoặc điều chỉnh chưa đúng.
8.3.2. Nguyên nhân sai âm
- Chất lượng bệnh phẩm không đạt (không chọn được mảnh đờm để dàn tiêu bản).
- Chất lượng thuốc nhuộm không đạt (nồng độ auramine < 0,1%, nồng độ acid cồn quá 0,5%).
- Kỹ thuật nhuộm chưa đúng: tẩy màu quá, thời gian nhuộm auramine không đủ, nhuộm nền quá lâu.
- Cố định tiêu bản quá nóng.
- Đọc tiêu bản chưa đủ một dòng.
- Thời gian từ khi nhuộm và đọc quá lâu (tiêu bản không giữ trong hộp tối).
8.4. Bảo quản kính hiển vi
- Đặt KHV ở nơi vững chắc, khô ráo, không có bụi, tránh ánh nắng trực tiếp. Độ ẩm cao có thể làm mốc bộ phận quang học (vật kính, thị kính, tụ quang..) và bộ phận cơ học bị han rỉ.
- Tránh va chạm mạnh làm hỏng kính hiển vi.
- Chỉ sử dụng ốc vi cấp khi cần chỉnh rõ nét hình ảnh.
- Lau bộ phận quang học bằng giấy lau chuyên dụng.
- Vệ sinh kính sau mỗi ngày sử dụng.
- Khi không sử dụng để kính ở trạng thái “nghỉ”: tắt nguồn điện, xoay vật kính ra khỏi vị trí quan sát, nâng mâm kính hết cỡ và phủ kính tránh bụi.
- Nếu có điều kiện bảo quản KHV trong tủ bảo quản kính chuyên dụng.
- Nếu phát hiện kính bị hỏng tuyệt đối không được tự ý tháo ra sửa chữa phải báo người có trách nhiệm giải quyết.
9. THỰC HÀNH AN TOÀN PXN (GIỐNG PHƯƠNG PHÁP NHUỘM ZN)
Xem mục 9. Thực hành an toàn của bài xét nghiệm AFB nhuộm soi trực tiếp phương pháp nhuộm ZIEHL - NEELSEN.
X-QUANG TRONG CHẨN ĐOÁN LAO PHỔI
1. VAI TRÒ CỦA XQUANG TRONG CHẨN ĐOÁN LAO PHỔI
- X-quang phổi có độ nhạy cao, vì vậy cần được sử dụng rộng rãi để sàng lọc lao phổi. Tất cả người bệnh có triệu chứng hô hấp (ho, khạc đờm, khó thở…) với bất kỳ thời gian nào đều nên được chụp X-quang ngực sàng lọc lao phổi, đặc biệt ở người có nguy cơ cao như đái đường, người già, suy dinh dưỡng, nhiễm HIV, ...
- Tuy nhiên, độ đặc hiệu trên phim chụp X-quang không cao, vì vậy không nên chẩn đoán xác định lao phổi chỉ dựa vào phim X-quang đơn thuần.
- Sự thay đổi đặc điểm tổn thương theo thời gian và đáp ứng điều trị sẽ mang lại ý nghĩa tốt hơn cho chẩn đoán, vì vậy cần chụp X-quang ở nhiều thời điểm hoặc đối chiếu với phim chụp trước đây.
- Các hình ảnh tổn thương trên phim X-quang của lao phổi không chỉ gặp riêng trong lao mà còn gặp trong nhiều bệnh lý khác (tính đặc hiệu không cao).
- Mọi hình thái và đặc điểm tổn thương không phải lúc nào cũng gặp đầy đủ trên một bệnh nhân. Nên càng nhiều yếu tố gợi ý càng có giá trị hướng tới lao phổi.
- X-quang phổi sàng lọc sau đó xác định vi khuẩn bằng Xpert là chiến lược “HAI X” của Chương trình chống lao Quốc gia Việt Nam.
2. CÁC KỸ THUẬT X-QUANG TRONG CHẨN ĐOÁN
- Để phát hiện và chẩn đoán lao phổi có nhiều kỹ thuật X-quang, nhưng phổ biến nhất là chụp phổi thẳng thường quy (tư thế sau - trước), chụp phổi nghiêng thường quy và chụp đỉnh phổi tư thế ưỡn ngực ( tư thế Lordotic).
- Với những trường hợp khó chẩn đoán bằng các kỹ thuật X-quang thường quy, người ta tiến hành chụp cắt lớp vi tính (CT). Một số kỹ thuật X-quang khác cũng được sử dụng để chẩn đoán phân biệt: dựng hình phế quản (soi phế quả ảo), chụp động mạch phổi, chiếu phổi trên truyền hình tăng sáng, …
- Trong hoạt động điều tra lao phổi trong cộng đồng: người ta đã sử dụng các xe X- quang huỳnh quang lưu động: MMR (Mass Miniature Radiography-Photofluography) hoặc xe Xquang kỹ thuật số (Digital MobileX-ray Car).
3. QUY TRÌNH KỸ THUẬT CHỤP X-QUANG NGỰC THƯỜNG QUY
- Quy trình chụp phổi thẳng (xem phụ lục 11).
- Quy trình chụp phổi nghiêng (xem phụ lục 12).
- Quy trình chụp phổi tư thế đỉnh phổi ưỡn (tư thế Lordotique) (xem phụ lục 13).
4. MÔ TẢ VÀ PHÂN TÍCH HÌNH ẢNH XQUANG CỦA LAO PHỔI TRÊN PHIM PHỔI THƯỜNG QUY
4.1. Hình ảnh tổn thương
4.1.1. Nốt: là một bóng mờ có kích thước nhỏ, đường kính nốt kê ≤ 2mm (lao kê), 2mm < đường kính nốt nhỏ ≤ 5mm, 5mm < đường kính nốt to < 10mm. Đậm độ của nốt rất thay đổi: có thể độ tương phản rất ít so với mô phổi xung quanh hoặc gần bằng đậm độ của mạch máu, có khi đậm độ cao gần bằng đậm độ xương hoặc kim loại. Tập hợp của các nốt gọi là đám mờ.
4.1.2. Thâm nhiễm: là đám mờ đồng đều có đặc điểm:
- Có hình “phế quản hơi’’.
- Không đẩy hoặc co kéo các tổ chức lân cận.
- Có thể mờ theo định khu: thùy/phân thùy hoặc mờ rải rác.
4.1.3. Hang: là hình sáng giới hạn bởi một bờ mở tròn khép kín liên tục, đường kính ≥ 0,5cm. Độ sáng của hang cao hơn của nhu mô phổi, kích thước của hang đa dạng: trung bình từ 2 - 4cm, 4cm ≤ hang lớn < 6cm, hang khổng lồ ≥ 6cm, tuy nhiên có thể rất lớn chiếm 1/2 phế trường, 1 thùy phổi.. hoặc rất nhỏ và tập trung lại tạo hình “rỗ tổ ong” hoặc “ruột bánh mì”.
Thành hang: có độ dày ≥ 2mm phân biệt với những bóng giãn phế nang. Trong lòng hang thường là hình sáng của khí, đôi khi có mức dịch còn gọi là hình liềm khí.
4.1.4. Dải xơ mờ: là các đường mờ có đường kính rộng từ 0,5 - 1 mm, thường tạo giống “hình lưới” hoặc hình “vân đá”.
4.1.5. Nốt vôi hóa: đâm độ gần tương đương kim loại và chất cản quang, hoặc đậm hơn xương, là những nốt có đậm độ cao, ranh giới rõ, thường gặp ở những trường hợp lao ổn định hoặc lao cũ …
4.1.6. Bóng mờ (u lao): Hình tròn hoặc hình ovan đậm độ đồng đều, bờ rõ, có thể đơn độc hoặc phối hợp với các dạng tổn thương khác của lao phổi. Cần phân biệt về kích thước, ranh giới của bóng mờ, có nốt vôi hóa không? (nếu có thì đồng tâm hay lệch tâm).
4.1.7. Bóng mờ giả định là hạch (thường gặp trong lao sơ nhiễm): các nhóm hạch thường gặp: nhóm cạnh khí quản, nhóm khí phế quản, nhóm rốn phổi, nhóm dưới chỗ phân chia phế quản gốc phải và phế quản gốc trái (Subcarina).
4.1.8. Hình ảnh tràn dịch màng phổi
- Mờ đồng đều không theo định khu thùy, phân thùy: Góc giữa ranh giới trên của hình mờ với thành ngực là góc tù.
- Có xu hướng đẩy các cơ quan - bộ phận lân cận sang bên đối diện, làm rộng các khoang liên sườn: nếu là tràn dịch màng phổi tự do.
- Có xu hướng co kéo các cơ quan bộ phận lân cận về bên tổn thương, kéo hẹp các khoang liên sườn: nếu là dày dính màng phổi hoặc vôi hóa màng phổi.
4.1.9. Hình ảnh tràn khí màng phổi
- Có hình dải sáng dọc theo màng phổi ở bên bị tràn khí, rất rõ ở vùng đỉnh.
- Thấy hình màng phổi tạng dưới dạng một dải viền, bao lấy nhu mô phổi bị co lại.
- Không thấy hình mạch phổi ngoài giới hạn của màng phổi tạng.
Xem phụ lục 14: Hình ảnh của các hình thái tổn thương lao
4.2. Tổng hợp hình ảnh Xquang lao phổi
a. Thường thấy ở vùng cao của phổi: vùng đỉnh - hạ đòn, cạnh rốn phổi (tương ứng với các phân thùy 1, 2, 3 và 6).
b. Mức độ nặng có thể lan ra hết một phổi hoặc cả hai bên phổi.
c. Tổn thương hai bên có thể là đối xứng ngang hoặc đối xứng chéo.
d. Tổn thương đan xen nhiều hình thái ổn định (xơ vôi) với những hình thái tiến triển (thâm nhiễm, nốt, hang …).
e. Đáp ứng chậm với thuốc chống lao sau 1 tháng điều trị
f. Tổn thương không thay đổi với điều trị kháng sinh thông thường. Vì vậy, khi tổn thương thay đổi nhanh trong thời gian dưới 1/2 tháng phải hết sức thận trọng khi chẩn đoán lao phổi.
5. ĐẶC ĐIỂM TỔN THƯƠNG LAO PHỔI Ở NGƯỜI NHIỄM HIV
- Giai đoạn lâm sàng sớm của nhiễm HIV (tế bào CD4 ≥ 200): hình ảnh tổn thương của Lao phổi / HIV(+) nói chung không có sự khác biệt so với hình ảnh lao phổi /HIV( -)
- Giai đoạn AIDS (tế bào CD4 < 200): hình ảnh tổn thương lao không còn điển hình nữa, có một số đặc điểm như:
+ Ít thấy tổn thương hang .
+ Tổn thương vùng cao không còn là phổ biến, thay thế vào đó tổn thương có tính lan tỏa (diffuse), thường cả ở vùng thấp của phổi.
+ Hình ảnh tiến triển nhanh hơn, lan tỏa, tổn thương khoảng kẽ nhiều hơn, vì vậy ít thấy tổn thương đan xen có đủ thanh phần với độ tuổi khác nhau phản ánh quá trình tiến triển chậm như thâm nhiễm, nốt, hang, xơ, vôi hóa.
ĐIỀU TRỊ BỆNH LAO
1. NGUYÊN TẮC ĐIỀU TRỊ
Bốn nguyên tắc điều trị bệnh lao bao gồm:
1.1. Phối hợp các thuốc chống lao
- Mỗi loại thuốc chống lao có tác dụng khác nhau trên vi khuẩn lao (diệt khuẩn, kìm khuẩn, môi trường vi khuẩn), do vậy phải phối hợp các thuốc chống lao.
- Với lao còn nhạy cảm với thuốc: phối hợp ít nhất 3 loại thuốc chống lao trong giai đoạn tấn công và ít nhất 2 loại trong giai đoạn duy trì.
- Với bệnh lao đa kháng: phối hợp ít nhất 5 thuốc có hiệu lực, bao gồm Pyrazinamid và 4 thuốc lao hàng hai có hiệu lực.
1.2. Phải dùng thuốc đúng liều
Các thuốc chống lao tác dụng hợp đồng, mỗi thuốc có một nồng độ tác dụng nhất định. Nếu dùng liều thấp sẽ không hiệu quả và dễ tạo ra các chủng vi khuẩn kháng thuốc, nếu dùng liều cao dễ gây tai biến. Đối với lao trẻ em cần được điều chỉnh liều thuốc hàng tháng theo cân nặng.
1.3. Phải dùng thuốc đều đặn
- Các thuốc chống lao phải được uống cùng một lần vào thời gian nhất định trong ngày và xa bữa ăn để đạt hấp thu thuốc tối đa.
- Với bệnh lao đa kháng: dùng thuốc 6 ngày/tuần, đa số thuốc dùng 1 lần vào buổi sáng, một số thuốc như: Cs, Pto, Eto, PAS tùy theo khả năng dung nạp của người bệnh - có thể chia liều 2 lần trong ngày (sáng - chiều) để giảm tác dụng phụ hoặc có thể giảm liều trong 2 tuần đầu nếu thuốc khó dung nạp, nếu bệnh nhân gặp tác dụng không mong muốn của thuốc tiêm - có thể giảm liều, tiêm 3 lần/tuần hoặc ngừng sử dụng thuốc tiêm căn cứ vào mức độ nặng-nhẹ
1.4. Phải dùng thuốc đủ thời gian và theo 2 giai đoạn tấn công và duy trì
- Giai đoạn tấn công kéo dài 2, 3 tháng nhằm tiêu diệt nhanh số lượng lớn vi khuẩn có trong các vùng tổn thương để ngăn chặn các vi khuẩn lao đột biến kháng thuốc. Giai đoạn duy trì kéo dài 4 đến 6 tháng nhằm tiêu diệt triệt để các vi khuẩn lao trong vùng tổn thương để tránh tái phát.
- Với bệnh lao đa kháng: Phác đồ điều trị chuẩn ngắn hạn từ 9 -11 tháng có giai đoạn tấn công 4-6 tháng, phác đồ điều trị chuẩn 20 tháng có thời gian tấn công 8 tháng. Phác đồ cá nhân có thể thay đổi thời gian sử dụng của từng loại thuốc tùy thuộc vào kết quả kháng sinh đồ, đáp ứng điều trị, tiền sử điều trị và khả năng dung nạp thuốc của bệnh nhân
2. NGUYÊN TẮC QUẢN LÝ
2.1. Tất cả các bác sĩ (công và tư) tham gia điều trị người bệnh lao phải được tập huấn theo hướng dẫn của Chương trình Chống lao Quốc gia và báo cáo theo đúng quy định.
2.2. Sử dụng phác đồ chuẩn thống nhất trong toàn quốc
2.3. Điều trị sớm ngay sau khi được chẩn đoán
2.4. Điều trị phải được theo dõi và kiểm soát trực tiếp
- Kiểm soát việc tuân thủ điều trị của người bệnh, theo dõi kết quả xét nghiệm đờm, theo dõi diễn biến lâm sàng, xử trí kịp thời các biến chứng của bệnh và tác dụng phụ của thuốc. Với bệnh lao trẻ em phải theo dõi cân nặng hàng tháng khi tái khám để điều chỉnh liều lượng thuốc.
- Với bệnh lao đa kháng:
+ Phải kiểm soát chặt chẽ việc dùng thuốc hàng ngày trong cả liệu trình điều trị.
+ Phối hợp chặt chẽ giữa các trung tâm - điểm điều trị - tỉnh lân cận trong quản lý điều trị bệnh nhân lao đa kháng.
+ Người bệnh lao đa kháng nên điều trị nội trú (khoảng 2 tuần) tại các trung tâm/điểm điều trị lao đa kháng để theo dõi khả năng dung nạp và xử trí các phản ứng bất lợi của thuốc (có thể điều trị ngoại trú ngay từ đầu cho người bệnh tại các địa phương nếu có đủ điều kiện: gần trung tâm điều trị lao đa kháng, nhân lực đảm bảo cho việc theo dõi và giám sát bệnh nhân một cách chặt chẽ).
+ Giai đoạn điều trị ngoại trú - điều trị có kiểm soát trực tiếp (DOT) có thể thực hiện tại các tuyến: quận huyện, xã phường, tái khám hàng tháng tại các trung tâm/điểm điều trị lao đa kháng để theo dõi diễn biến lâm sàng, xử trí kịp thời biến chứng của bệnh và tác dụng phụ của thuốc, theo dõi các xét nghiệm, X-quang và một số thăm khám cần thiết khác.
2.5. Thầy thuốc cần tư vấn đầy đủ cho người bệnh trước, trong và sau khi điều trị để người bệnh thực hiện tốt liệu trình theo quy định.
2.6. Chương trình Chống lao Quốc gia cung cấp thuốc chống lao đảm bảo chất lượng, miễn phí, đầy đủ và đều đặn.
2.7. Đối với người bệnh lao đa kháng, cần thực hiện chăm sóc giảm nhẹ và hỗ trợ tâm lý xã hội trong và sau quá trình điều trị.
3. CHỈ ĐỊNH VÀ PHÁC ĐỒ ĐIỀU TRỊ
3.1. Các thuốc chống lao
Chương trình Chống lao chịu trách nhiệm cung cấp đầy đủ, liên tục thuốc chống lao có chất lượng.
- Thuốc chống lao thiết yếu (hàng 1)
+ Các thuốc chống lao thiết yếu (hàng 1) là: isoniazid (H), rifampicin (R), pyrazinamid (Z), streptomycin (S), ethambutol (E). Ngoài ra,
+ Hiện nay TCYTTG đã khuyến cáo bổ sung 2 loại thuốc chống lao hàng 1 là rifabutin (Rfb) và rifapentine (Rpt). Các thuốc chống lao thiết yếu hàng 1 cần phải bảo quản trong nhiệt độ mát, tránh ẩm.
+ Thuốc chống lao hàng 2:
Các thuốc chống lao hàng 2 chủ yếu có thể phân ra thành các nhóm như sau:
Bảng 1. Phân loại các nhóm thuốc điều trị lao kháng thuốc (TCYTTG 2019)
|
Nhóm thuốc và các bước xây dựng phác đồ |
Thuốc |
|
|
Nhóm A: Chọn cả 3 thuốc |
Levofloxacin HOẶC Moxifloxacin |
Lfx Mfx |
|
Bedaquiline |
Bdq |
|
|
Linezolid |
Lzd |
|
|
Nhóm B: Thêm 1 hoặc cả 2 thuốc |
Clofazimine |
Cfz |
|
Cycloserine HOẶC Terizidone |
Cs Trd |
|
|
Nhóm C: Bổ sung để hoàn chỉnh phác đồ khi không thể sử dụng 1 số thuốc nhóm A và B |
Ethambutol |
E |
|
Delamanid |
Dlm |
|
|
Pyrazinamide |
Z |
|
|
Imipenem-cilastatin HOẶC Meropenem |
Ipm-Cln Mpm |
|
|
Amikacin (HOẶC Streptomycin) |
Am (S) |
|
|
Ethionamide HOẶC Prothionamide |
Eto Pto |
|
|
p-aminosalicylic acid |
PAS |
|
3.2. Chỉ định và phác đồ điều trị lao
3.2.1. Phác đồ điều trị lao vi khuẩn nhạy cảm với thuốc
Phác đồ A1: 2RHZE/4RHE
- Hướng dẫn:
+ Giai đoạn tấn công kéo dài 2 tháng, gồm 4 loại thuốc dùng hàng ngày.
+ Giai đoạn duy trì kéo dài 4 tháng, gồm 3 loại thuốc là R, H và E dùng hàng ngày.
- Chỉ định: cho các trường hợp bệnh lao người lớn không có bằng chứng kháng thuốc.
- Theo dõi - đánh giá kết quả: xem chi tiết tại mục 6, 7
Phác đồ A2: 2RHZE/4RH
- Hướng dẫn:
+ Giai đoạn tấn công kéo dài 2 tháng, gồm 4 loại thuốc dùng hàng ngày.
+ Giai đoạn duy trì kéo dài 4 tháng, gồm 2 loại thuốc là R và H dùng hàng ngày.
- Chỉ định: cho các trường hợp bệnh lao trẻ em không có bằng chứng kháng thuốc.
- Theo dõi- đánh giá kết quả: xem chi tiết tại mục 6, 7
Phác đồ B1: 2RHZE/10RHE
- Hướng dẫn:
+ Giai đoạn tấn công kéo dài 2 tháng, gồm 4 loại thuốc H, R, Z, E dùng hàng ngày.
+ Giai đoạn duy trì kéo dài 10 tháng, gồm 3 loại thuốc là R, H, E dùng hàng ngày.
- Chỉ định: lao màng não, lao xương khớp và lao hạch người lớn. Điều trị lao màng não nên sử dụng corticosteroid (dexamethasone hoặc prednisolone) liều giảm dần trong thời gian 6-8 tuần đầu tiên (tham khảo thêm mục 4.8-sử dụng Corticosteroid trong một số trường hợp ) và dùng Streptomycin (thay cho E) trong giai đoạn tấn công.
- Theo dõi- đánh giá kết quả: xem chi tiết tại mục 6, 7
Phác đồ B2: 2RHZE/10RH
- Hướng dẫn:
+ Giai đoạn tấn công kéo dài 2 tháng, gồm 4 loại thuốc H, R, Z, E dùng hàng ngày.
+ Giai đoạn duy trì kéo dài 10 tháng, gồm 2 loại thuốc là R, H dùng hàng ngày.
- Chỉ định: lao màng não, lao xương khớp và lao hạch trẻ em. Điều trị lao màng não nên sử dụng corticosteroid (dexamethasone hoặc prednisolone) liều giảm dần trong thời gian 6-8 tuần đầu tiên (tham khảo thêm mục 4.8-sử dụng Corticosteroid trong một số trường hợp) và dùng Streptomycin (thay cho E) trong giai đoạn tấn công.
- Theo dõi - đánh giá kết quả: xem chi tiết tại mục 6,7.
Lưu ý:
● Đối với các trường hợp bệnh nhân lao được phân loại là tái phát, thất bại, điều trị lại sau bỏ trị, tiền sử điều trị khác, không rõ tiền sử điều trị - Không áp dụng phác đồ II như trước đây. Đối với những trường hợp đã có tiền sử điều trị này (là người nghi lao kháng thuốc), cần được làm xét nghiệm Xpert - Nếu kết quả Xpert có vi khuẩn lao không kháng R ( xem sơ đồ chẩn đoán lao kháng thuốc - Phụ lục 2.1) cần chỉ định phác đồ A hoặc phác đồ B căn cứ vào vị trí tổn thương (phổi, ngoài phổi), độ tuổi (người lớn, trẻ em).
● Trong quá trình điều trị PĐ A, PĐ B nếu người bệnh không âm hóa (sau giai đoạn tấn công) hoặc thất bại (sau 5 tháng điều trị) cần được làm Xpert và/ hoặc kháng sinh đồ với thuốc lao hàng 1 (tùy nguồn lực và thể bệnh). Căn cứ vào kết quả kháng R để chỉ định điều trị phù hợp:
Nếu kết quả kháng R:
○ Ưu tiên thu nhận vào phác đồ chuẩn 9 tháng nếu đủ điều kiện:
v Tiêu chuẩn thu nhận: Lao phổi kháng R, chưa có tiền sử dùng thuốc lao hàng hai có trong phác đồ hoặc dùng dưới 1 tháng.
v Tiêu chuẩn loại trừ:
■ Có bằng chứng kháng hoặc không có hiệu lực với 1 thuốc trong phác đồ (trừ H)
■ Có thai hoặc cho con bú
■ Người mẫn cảm với bất kỳ thuốc nào trong phác đồ, không dung nạp thuốc hoặc có nguy cơ ngộ độc thuốc (tương tác thuốc)
■ Lao ngoài phổi
■ Bệnh nhân có khoảng QTc >=500 ms trên điện tâm đồ
■ Bệnh nhân có men gan cao gấp 3-4 lần mức bình thường (SGOT, SGPT: 120 - 160U/L, AST/ALT: 60 - 120 UI/L)
■ Bệnh nhân bị viêm dây thần kinh thị giác và thần kinh ngoại vi
○ Trường hợp không đủ điều kiện thu nhận vào phác đồ 9 tháng, có thể chuyển sang phác đồ 20 tháng (Sử dụng phác đồ chuẩn 20 tháng. Ngoại trừ phụ nữ có thai, bệnh nhân suy gan, thận, đái tháo đường cần chỉnh liều hoặc phác đồ cá nhân truyền thống)
Nếu kết quả không kháng R:
○ Kết quả Xpert (lao phổi, lao màng não) không kháng R: Tiếp tục điều trị và làm XN nuôi cấy, KSĐ hàng 1 (LPA hoặc KSĐ truyền thống) để điều chỉnh phác đồ cá nhân
○ Kết quả nuôi cấy, KSĐ hàng 1 (lao ngoài phổi khác) không kháng R: Điều chỉnh phác đồ cá nhân căn cứ vào kết quả KSĐ hàng 1 đối với các thuốc khác R.
● Trong quá trình điều trị PĐ A, PĐ B nếu người bệnh không dung nạp thì điều chỉnh phác đồ cá nhân phù hợp
3.2.2. Phác đồ điều trị lao kháng thuốc:
3.2.2.1. Các khuyến cáo cập nhật chính của WHO về phác đồ điều trị lao kháng thuốc:
Thuốc tiêm không còn được ưu tiên sử dụng nữa, thay vào đó là thuốc uống được khuyến cáo sử dụng cho phần lớn người bệnh. Hiện có hai loại phác đồ được chỉ định để điều trị cho người bệnh lao kháng R/MDR-TB bao gồm:
- Phác đồ dài hạn kéo dài từ 18-20 tháng, có thể là phác đồ chuẩn hoặc phác đồ cá thể. Phác đồ này được xây dựng trên nguyên tắc lựa chọn các thuốc sao cho số loại thuốc cần sử dụng là ít nhất nhưng vẫn đảm bảo hiệu lực của phác đồ căn cứ vào kết quả kháng sinh đồ của người bệnh.
- Phác đồ ngắn hạn từ 9-12 tháng. Đây là phác đồ chuẩn với thành phần thuốc và thời gian điều trị đã xây dựng thống nhất.
3.2.2.2. Phác đồ dài hạn:
a. Thành phần thuốc: Lựa chọn thuốc để xây dựng phác đồ dài hạn dựa trên nguyên tắc sau
● Hoặc bao gồm cả 3 thuốc nhóm A (Bdq, Mfx/Lfx, Lzd) và ít nhất 1 thuốc nhóm B (Cfz hoặc Cs). Đảm bảo phác đồ vẫn còn it nhất 3 thuốc sau khi ngừng BDQ
● Nếu chỉ chọn 1 hoặc 2 thuốc của nhóm A thì phải có đủ cả 2 thuốc nhóm B. Trường hợp không thể xây dựng phác đồ chỉ bao gồm nhóm A và B, có thể bổ sung nhóm C để phác đồ đủ hiệu lực
b. Lưu ý khi lựa chọn và sử dụng thuốc:
• Việc sử dụng phối hợp Bdq và Dlm cũng như thời gian sử dụng các thuốc này trên 6 tháng hiện chưa có đủ bằng chứng. Nếu cần thiết sử dụng trên 6 tháng cần tăng cường theo dõi biến cố bất lợi chặt chẽ.
• Nên sử dụng Bdq trong phác đồ dài hạn cho người bệnh trên 18 tuổi, tuy nhiên cũng có thể sử dụng cho trẻ từ 6-17 tuổi
• Delamanid có thể sử dụng trong phác đồ dài hạn cho trẻ từ 3 tuổi trở lên.
• Việc dùng Lzd trên 6 tháng có thể tăng hiệu quả điều trị nhưng có thể bị hạn chế vì các biến cố bất lợi.
• Z chỉ được coi là có hiệu lực khi kháng sinh đồ còn nhạy
• Imipenem-cilastatin và meropenem luôn được sử dụng cùng với clavulanic acid (chỉ có ở dạng kết hợp với amoxicillin). Amoxicillin-clavulanic không được coi là thuốc lao bổ sung và không được dùng khi không có imipenem-cilastatin hoặc meropenem.
• Km và Cm không được khuyến cáo sử dụng nữa. Thay vào đó sử dụng Am (hoặc S) khi còn nhạy cảm và có đủ điều kiện theo dõi thính lực. Ưu tiên dùng Am hơn S (S chỉ dùng khi không dung nạp Am)
• Pto, PAS chỉ sử dụng khi phác đồ không có đủ các thuốc hiệu lực khác (Bdq, Lzd, Cfz or Dlm).
• Hiện Gatifloxacin và Thioacetazone không có mặt trong bảng phân loại các nhóm thuốc và cũng không có mặt trên thị trường với chất lượng đảm bảo. Gatifloxacin đã bị rút khỏi thị trường vì biến cố gây rối loạn đường huyết.
• Isoniazid liều cao (Hh) không có trong bảng, tuy nhiên vẫn có thể sử dụng và có hiệu quả khi người bệnh còn nhạy cảm với H hoặc kháng H ở mức độ thấp. H ngấm tốt qua hàng rào máu não và nên chỉ định cho trường hợp lao màng não. Hh cho thấy hiệu có hiệu quả điều trị, tăng tỷ lệ điều trị thành công đối với lao trẻ em.
c. Thời gian điều trị: Tính theo tổng thời gian điều trị và thời gian sau âm hóa nuôi cấy
● Tổng thời gian điều trị từ 18-20 tháng đối với hầu hết các trường hợp, có thể điều chỉnh theo đáp ứng điều trị của người bệnh
● Thời gian sau khi âm hóa nuôi cấy 15-17 tháng đối với hầu hết các trường hợp, có thể điều chỉnh theo đáp ứng điều trị của người bệnh
● Nếu phác đồ có thuốc tiêm (Am/S), thời gian tấn công 6-7 tháng đối với hầu hết các trường hợp, có thể điều chỉnh theo đáp ứng điều trị của người bệnh
d. Một số lưu ý khác:
● Với người bệnh có kháng với các thuốc lao hàng hai (bao gồm tiền/ siêu kháng) : Tổng thời gian điều trị có thể kéo dài hơn 20 tháng tùy đáp ứng của người bệnh
● Nếu phác đồ chỉ gồm thuốc uống sẽ không có giai đoạn tấn công (giai đoạn tấn công chỉ áp dụng với phác đồ có thuốc tiêm. Nếu dùng Bdq hoặc các thuốc khác trong giai đoạn đầu điều trị cũng không được coi là tấn công)
● Người bệnh có tổn thương rộng: Thời gian sau âm hóa nuôi cấy có thể điều chỉnh tùy tình trạng đáp ứng điều trị.
● Đối với trẻ em:
◦ Hạn chế dùng thuốc tiêm (Am, S) trừ khi không có lựa chọn khác. Cần có KSĐ khẳng định còn nhạy thuốc tiêm, giám sát tốt thính lực và chức năng thận.
◦ Thời gian điều trị có thể 18-20 tháng tùy đáp ứng của trẻ, cũng có thể ít hơn18 tháng nếu tổn thương nhẹ.
● Phụ nữ có thai: thường chống chỉ định sử dụng thuốc tiêm, Pto/ Eto
● Người bệnh lao ngoài phổi hoặc nuôi cấy âm tính: Theo dõi và đánh giá thời gian điều trị dựa vào đáp ứng lâm sàng, tuy nhiên lưu ý chất lượng xét nghiệm nuôi cấy (kết quả âm tính do chất lượng XN mà không phải âm tính thực sự)
● Cần tiến hành nuôi cấy hàng tháng để theo dõi đáp ứng điều trị. Tuy nhiên, với trẻ nhỏ có thể sử dụng bệnh phẩm là dịch dạ dày hoặc đờm kích thích nên không nhất thiết phải xét nghiệm nuôi cấy hàng tháng.
3.2.2.3. Phác đồ ngắn hạn
Chỉ định: Có thể sử dụng đối với trường hợp lao phổi kháng R/MDR TB chưa có tiền sử dùng thuốc lao hàng hai (có trong phác đồ ngắn hạn) trên 1 tháng, hoặc không kháng với thuốc lao hàng hai.
Tiêu chuẩn loại trừ của phác đồ ngắn hạn và việc chuyển đổi sang phác đồ dài hạn

Lưu ý:
• Trước khi điều trị, cần chỉ định kháng sinh đồ đối với thuốc lao hàng hai (Fluoroquinolones và thuốc tiêm hàng hai), nếu có thể làm thêm kháng sinh đồ đối với các thuốc khác có trong phác đồ ngắn hạn
• Chỉ định phác đồ ngắn hạn cho trẻ em tương tự người lớn, tuy nhiên lưu ý trẻ nhỏ khi dùng thuốc tiêm (đặc biệt đối với thính lực)
• Nếu H kháng đồng thời tại hai vị trí inhA và KatG thì không sử dụng phác đồ ngắn hạn
• Thay thế kanamycin, capreomycin bằng amikacin
• Cân nhắc các tiêu chuẩn loại trừ, chống chỉ định khác để đảm bảo an toàn cho người bệnh khi sử dụng phác đồ ngắn hạn
3.2.2.4. Các phác đồ điều trị lao kháng thuốc áp dụng tại Việt Nam
Phác đồ chuẩn ngắn hạn điều trị lao đa kháng
4-6 Am Lfx Pto Cfz Z H liều cao E / 5 Lfx Cfz Z E
- Tiêu chuẩn thu nhận: Lao phổi kháng R, lao ngoài phổi đơn thuẩn chưa có tiền sử dùng thuốc lao hàng hai có trong phác đồ hoặc dùng dưới 1 tháng.
- Thời điểm chỉ định: Ngay sau khi phát hiện kháng R trong thời gian chờ kết quả LPA thuốc lao hàng hai. Quyết định điều trị tiếp tục hoặc chuyển phác đồ căn cứ vào kết LPA
- Tiêu chuẩn loại trừ:
• Có bằng chứng kháng hoặc không có hiệu lực với 1 thuốc trong phác đồ, trừ H (Tuy nhiên nếu người bệnh có bằng chứng kháng đồng thời cả Kat G và inhA thì cũng loại trử khỏi phác đồ)
• Có thai hoặc cho con bú
• Người mẫn cảm với bất kỳ thuốc nào trong phác đồ, không dung nạp thuốc hoặc có nguy cơ ngộ độc thuốc (tương tác thuốc)
• Lao toàn thể, nhiều cơ quan, lao màng não hoặc hệ thống TK trung ương, lao xương khớp
• Lao ngoài phổi trên NB HIV (+)
• Bệnh nhân có khoảng QTc ≥ 500 ms trên điện tâm đồ
• Bệnh nhân có men gan cao gấp 3-4 lần mức bình thường
• Bệnh nhân bị viêm dây thần kinh thị giác và thần kinh ngoại vi
• Trẻ em dưới 6 tuổi
- Lưu ý:
• Có thể dùng cho lao ngoài phổi thông thường mà HIV âm tính (lao hạch, lao màng phổi đơn thuần)
• Có thể làm KSĐ với các thuốc hàng 1 tại thời điểm ban đầu đối với người bệnh đã tái phát hoặc thất bại phác đồ lao nhạy cảm để loại trừ khi kháng Z, E
• Có thể làm LPA (Hain test) với thuốc lao hàng 1 tại thời điểm ban đầu đối với người bệnh đã tái phát hoặc thất bại phác đồ lao nhạy cảm để loại trừ khi kháng đồng thời inhA và Kat G
Phác đồ bán chuẩn dài hạn
Lfx Cfz Lzd Cs +1 thuốc nhóm C
Chỉ định: Dành cho các trường hợp kháng R (không kháng với thuốc lao hàng 2), tuy nhiên chống chỉ định của phác đồ chuẩn ngắn hạn: Có thai, lao ngoài phổi phức tạp, Lao ngoài phổi thông thường có HIV (+), lao toàn thể, không dung nạp hoặc tương tác thuốc trong phác đồ ngắn hạn
Phác đồ cá thể cho người bệnh tiền/siêu kháng thuốc
Căn cứ vào kết quả kháng sinh đồ, tiền sử dùng thuốc trước đây của người bệnh để xây dựng các phác đồ phù hợp. Xây dựng phác đồ theo nguyên tắc chung áp dụng với phác đồ dài hạn theo khuyến cáo cập nhật của WHO. Các phác đồ cá thể cho người bệnh tiền/siêu kháng cần thông qua Hội đồng điều trị tuyến Trung ương hoặc Khu vực.
- Đối với người bệnh tiền/siêu kháng phát hiện ngay từ đầu trước khi điều trị kháng thuốc (mẫu đờm lấy tại thời điểm trước hoặc bắt đầu điều trị lao kháng R/MDR-TB)
○ Phác đồ E1-TSFQ mới (Chỉ định cho người bệnh tiền siêu kháng FQ hoặc siêu kháng mới): Bdq Lzd Cfz Cs +1 thuốc nhóm C
○ Phác đồ E2-TST mới (Chỉ định cho người bệnh tiền siêu kháng thuốc tiêm hàng hai mới): Bdq Lfx Lzd Cfz +1 thuốc nhóm C
- Đối với người bệnh tiền/siêu kháng hoặc BN thất bại phát hiện trong quá trình điều trị PĐ chuẩn ngắn hạn (mẫu đờm lấy trong quá trình đang điều trị phác đồ ngắn hạn do không âm hóa, thất bại)
○ Phác đồ E3-TSFQ thất bại (Chỉ định cho người bệnh tiền siêu kháng FQ, thất bại PĐ chuẩn ngắn hạn) : Dlm Lzd Cs Am (S) PAS Imp/Mrp
○ Phác đồ E4-TST thất bại (Chỉ định cho người bệnh tiền siêu kháng thuốc tiêm hàng hai, thất bại PĐ chuẩn ngắn hạn): Dlm Mfx Lzd Cs PAS Imp/Mrp
○ Phác đồ E5-SK thất bại (Chỉ định cho người bệnh siêu kháng thất bại PĐ chuẩn ngắn hạn): DlmLzd Cs PAS Imp/Mrp +1-2 thuốc khác tùy người bệnh
- Đối với người bệnh tiền/siêu kháng hoặc BN thất bại phát hiện trong quá trình điều trị PĐ bán chuẩn dài hạn (mẫu đờm lấy trong quá trình đang điều trị do không âm hóa, thất bại)
○ Phác đồ E6-TSFQ thất bại (Chỉ định cho người bệnh tiền siêu kháng FQs, thất bại PĐ bán chuẩn dài hạn): Bdq PAS Imp/Mrp Am (S) Pto + 1 thuốc khác tùy từng người bệnh
○ Phác đồ E7-TST thất bại (Chỉ định cho người bệnh tiền siêu kháng thuốc tiêm hàng hai, thất bại PĐ bán chuẩn dài hạn): Bdq Mfx PAS Imp/Mrp Pto+ 1 thuốc khác tùy từng người bệnh
○ Phác đồ E8-SK thất bại (Chỉ định cho người bệnh siêu kháng thất bại PĐ bán chuẩn dài hạn): Bdq PAS Imp/Mrp Pto + 2 thuốc khác tùy từng người bệnh.
- Trường hợp người bệnh thất bại phác đồ chuẩn ngắn hạn hoặc bán chuẩn dài hạn nhưng kết quả kháng sinh đồ vẫn nhạy với thuốc lao hàng hai, cần thông qua Hội đồng điều trị để quyết định căn cứ vào một số yếu tố như: đáp ứng lâm sàng hiện tại, tiền sử điều trị trước đây và mức độ tuân thủ, khả năng dung nạp thuốc của người bệnh, các sai sót trong thực hiện xét nghiệm nếu có. Có thể làm các xét nghiệm bổ sung (tùy nguồn lực) để có thêm thông tin như đo nồng độ thuốc trong máu, xác định mức độ kháng với nồng độ thuốc cụ thể.
Lưu ý:
- Thời gian dùng BDQ là 6 tháng, Lzd có thể dùng tới 6 tháng hoặc hơn nếu người bệnh vẫn dung nạp tốt, các thuốc khác dùng cả liệu trình từ 18-20 tháng, trừ thuốc tiêm (Am, S) dùng 6 tháng.
- Các thuốc bổ sung nhóm C trong phác đồ bán chuẩn dài hạn tùy từng người bệnh. Có thể bổ sung 1 trong các thuốc theo trình tự ưu tiên Am (S), E, Z, Pto. Am được ưu tiên sử dụng bổ sung nếu không có chống chỉ định.
- Đối với người bệnh thu nhận vào phác đồ bán chuẩn dài hạn, nếu cần dùng Z thì có thể làm kháng sinh đồ với Z nếu người bệnh đã tái phát hoặc thất bại phác đồ lao nhạy cảm (Do Z khuyến cáo hạn chế sử dụng căn cứ vào kết quả kháng sinh đồ)
- BDQ chỉ dùng ở cơ sở có đủ điều kiện theo dõi và xử trí biến cố bất lợi (đặc biệt là điện tim để theo dõi khoảng QT)
- Các thuốc tiêm cần được sử dụng tại các cơ sở y tế theo quy định hiện hành
- Các phác đồ có thể được tiếp tục cập nhật sau một thời gian triển khai (ví dụ kết hợp Bdq và Dlm trong một số trường hợp cụ thể, phác đồ ngắn hạn chỉ sử dụng thuốc uống, v.v)
Phác đồ điều trị kháng đơn và nhiều thuốc
Hiện nay, CTCLQG chưa có chủ trương sàng lọc rộng rãi để phát hiện kháng nhiều thuốc, tuy nhiên NB có thể được phát hiện tình cờ. Cần lưu ý đối chiếu thời điểm nhận kết quả kháng sinh đồ và thời điểm lấy mẫu, căn cứ vào phác đồ điều trị trong khoảng thời gian này để dự báo khả năng kháng thuốc mắc phải. Kết quả kháng sinh đồ có thể không phản ánh đúng tình trạng kháng thuốc ở thời điểm hiện tại). Phác đồ để điều trị người bệnh kháng đơn và nhiều thuốc cần được theo dõi, đánh giá theo lô bệnh riêng.
Phác đồ điều trị cho người bệnh kháng Isoniazid
|
Kiểu kháng |
Phác đồ |
Lưu ý |
|
H (±S) |
6 R(H)ZELfx |
Tiến hành Xpert tại tháng 0, 2 và 3, nếu phát hiện kháng Rif thì chuyển bệnh nhân sang điều trị theo phác đồ lao đa kháng thuốc. Nếu người bệnh được chẩn đoán kháng H bằng xét nghiệm LPA mà không phải bằng kháng sinh đồ, cần làm thêm xét nghiệm kháng sinh đồ với thuốc lao hàng 1 để loại trừ các trường hợp kháng nhiều thuốc, đặc biệt đối với người bệnh đã thất bại, tái phát phác đồ lao nhạy cảm (Tránh việc bổ sung đơn độc Lfx vào phác đồ đã thực sự thất bại trước đó) |
Bảng 2. Tóm tắt các thuốc kháng chéo
|
Rifamycins |
Tất cả rifamycins (rifampicin và rifabutin) có tỷ lệ kháng chéo cao |
|
Isoniazid |
Tỷ lệ kháng chéo cao giữa isoniazid và ethionamide, Prothionamid nếu có đột biến inhA |
|
Aminoglycosides và polypeptides |
Am và Km có tỷ lệ kháng chéo rất cao. Am, Km, Cm có thể kháng chéo S có tỷ lệ kháng chéo thấp với Am, Km, Cm |
|
Fluoroquinolones |
Fluoroquinolones có kháng chéo ở nhiều mức độ khác nhau giữa các thuốc trong nhóm. Các phân tích trong phòng xét nghiệm cho thấy Fluoroquinolones thế hệ sau (levofloxacin, gatifloxacin, moxifloxacin) có thể vẫn còn hiệu lực khi thuốc hệ thấp (ofloxacin) có bằng chứng kháng. Tuy nhiên, chưa có kết luận rõ ràng về mối liên quan giữa bằng chứng trong phòng XN và bằng chứng lâm sàng Nếu levofloxacin (FQ thế hệ 3) có bằng chứng kháng, không khuyến cáo sử dụng FQs thế hệ 4 (moxifloxacin, gatifloxacin) vì không thể đảm bảo được những thuốc này còn nhạy cảm Mặc dù chưa có kết luận rõ ràng nhưng các nghiên cứu trong phòng XN cho thấy kháng chéo hoàn toàn giữa các thuốc FQs thế hệ 4 (giữa moxifloxacin và gatifloxacin) |
|
Thiamides |
Prothionamide và ethionamide kháng chéo 100% |
3.3. Liều lượng thuốc chống lao: (xem phụ lục 8)
4. ĐIỀU TRỊ LAO CHO NHỮNG TRƯỜNG HỢP ĐẶC BIỆT
4.1. Điều trị lao ở phụ nữ có thai hoặc cho con bú
- Sử dụng phác đồ điều trị 2RHZE/4RHE, không dùng Streptomycin vì có khả năng độc cho tai thai nhi. Nên dùng vitamin B6 liều 25mg hàng ngày nếu có dùng INH
4.2. Đang dùng thuốc tránh thai
Rifampicin tương tác với thuốc tránh thai, làm giảm tác dụng của thuốc tránh thai. Vì vậy nếu phụ nữ đang uống thuốc tránh thai điều trị lao bằng phác đồ có có Rifampicin có thể chọn một trong hai giải pháp: hoặc dùng thuốc tránh thai có chứa liều lượng Estrogen cao hơn hoặc dùng biện pháp tránh thai khác.
4.3. Trường hợp người bệnh lao có bệnh lý gan
4.3.1. Nếu người bệnh có tổn thương gan nặng từ trước
- Phải được điều trị nội trú tại bệnh viện và theo dõi chức năng gan trước và trong quá trình điều trị.
- Phác đồ điều trị sẽ do bác sĩ chuyên khoa quyết định tuỳ khả năng dung nạp thuốc của người bệnh.
- Sau khi người bệnh dung nạp thuốc tốt, men gan không tăng và có đáp ứng tốt về lâm sàng, có thể chuyển điều trị ngoại trú và theo dõi sát.
Người bệnh lao có bệnh gan mạn tính
+ Nếu chức năng gan là bình thường: có thể tiếp tục điều trị và không cần thiết xét nghiệm trừ khi bệnh nhân có triệu chứng của nhiễm độc gan.
+ Nếu men gan cao ít hơn 2 lần giới hạn trên của bình thường và không kèm triệu chứng nhiễm độc gan, bệnh nhân có thể được bắt đầu điều trị nhưng phải theo dõi đánh giá triệu chứng của nhiễm độc gan và các chỉ số men gan hàng tháng.
+ Nếu men gan cao > 2 lần giới hạn trên của mức bình thường, ngừng điều trị lao và phải tiếp tục quản lý tại bệnh viện.
+ Bệnh nhân có bệnh gan mạn tính không nên dùng pyrazinamid, isoniazid và rifampicin có thể kết hợp một hoặc hai loại thuốc không độc với gan như streptomycin và ethambutol. Hoặc kết hợp với một thuốc nhóm fluoroquinilone.
Người bệnh lao có viêm gan cấp tính
+ Bệnh nhân có bệnh lao và đồng thời bệnh viêm gan cấp tính (ví dụ như viêm gan siêu vi cấp tính) không liên quan đến lao hoặc điều trị lao. Đánh giá lâm sàng là cần thiết trong việc đưa ra quyết định điều trị. Trong một số trường hợp có thể trì hoãn việc điều trị lao cho đến khi bệnh viêm gan cấp tính đã điều trị ổn định.
+ Trong trường hợp cần thiết phải điều trị bệnh lao trong viêm gan cấp tính, viêm gan không ổn định hoặc tiến triển (có men gan cao gấp 3 lần mức ban đầu), có thể cân nhắc một trong các lựa chọn sau đây tùy thuộc vào mức độ tiến triển. Mức độ tiến triển càng nặng thì phác đồ lựa chọn cần sử dụng càng ít thuốc độc với gan. Các lựa chọn có thể như sau:
○ Giảm còn 2 thuốc (thay vì 3 thuốc độc với gan) :
■ 9 HRE
■ 2 HRSE/6 RH
■ 6-9 RZE
○ Chỉ sử dụng 1 thuốc độc với gan: 2 HES/10 HE
○ Không sử dụng thuốc độc với gan: 18-24 SE FQs
4.3.2. Trường hợp người bệnh được xác định có tổn thương gan do thuốc lao:
- Ngừng sử dụng những thuốc lao gây độc cho gan, xem xét sử dụng thuốc fluroquinolones nếu việc điều trị lao cần thiết, điều trị hỗ trợ chức năng gan cho đến khi men gan về bình thường, hết vàng da. Cần theo dõi lâm sàng và men gan.
- Nếu không đáp ứng hoặc có biểu hiện viêm gan do thuốc, chuyển đến cơ sở chuyên khoa để điều trị. (xem phần phát hiện, đánh giá và xử trí tác dụng không mong muốn của thuốc chống lao).
4.4. Người bệnh lao có suy thận
Phác đồ 2RHZ/4RH có thể áp dụng điều trị lao cho người bệnh suy thận. Các loại thuốc đầu tay (rifampicin, isoniazid, pyrazinamid) và ethionamide, prothionamide hoàn toàn chuyển hóa qua gan, có thể được sử dụng một cách an toàn với liều bình thường ở những bệnh nhân có suy thận. Tuy nhiên, có thể thay đổi phác đồ điều trị và liều lượng khi có suy thận nặng.
ethionamide/prothionamide cũng được lựa chọn trong phác đồ điều trị ở bệnh nhân đa kháng thuốc có suy thận (hiệu chỉnh liều khi có suy thận nặng).
Đối với bệnh nhân suy thận nặng, chạy thận nhân tạo: Trong suy thận nặng hiệu chỉnh liều thuốc lao điều trị là cần thiết được tính theo độ thanh thải của creatinin. isoniazid đôi khi gây ra bệnh não ở những bệnh nhân có suy thận và trong những ngày chạy thận (bổ sung điều trị pyridoxine ngăn chặn bệnh thần kinh ngoại vi).
Trường hợp bệnh lao nặng nguy cơ cao, đe dọa tính mạng: lựa chọn lợi ích và nguy cơ, có thể lựa chọn Streptomycin và ethambutol điều chỉnh liều là cần thiết trong suy thận, liều điều trị được tính theo độ thanh thải của creatinin.
Trong trường hợp cần thiết phải điều trị lao đa kháng, việc dùng thuốc chống lao hàng 2 cho bệnh nhân suy thận phải hết sức chú ý liều lượng và thời gian giữa các liều.
Điều chỉnh thuốc chống lao trong trường hợp suy thận
Liều khuyến cáo và tần suất cho người bệnh có độ thanh thải creatinine < 30 ml/min hoặc bệnh nhân đang chạy thận nhân tạo (chú ý: các thuốc nên sử dụng sau khi lọc máu)
|
Z |
25-35 mg/kg x cách nhật |
|
E |
15-25 mg/kg x cách nhật |
|
Cm |
12-15 mg/kg x cách nhật |
|
Km |
12-15 mg/kg x cách nhật |
|
Lfx |
750-1000 mg x cách nhật |
|
Mfx |
Không cần chỉnh liều |
|
Cs |
250 mg 1 lần/ngày dùng hàng ngày hoặc 500 mg/ngày dùng cách nhật |
|
Pto |
Không cần chỉnh liều |
|
PAS |
4 g/ngày, dùng 2 lần trong ngày |
|
Lzd |
Không cần chỉnh liều |
|
Cfz |
Không cần chỉnh liều |
4.5. Người bệnh lao mắc đái tháo đường (ĐTĐ)
- Điều trị cũng giống như đối với tất cả các bệnh nhân khác, bệnh nhân ĐTĐ có nguy cơ tổn thương thần kinh ngoại vi, thuốc INH có nguy cơ cao viêm thần kinh ngoại vi, do đó nên dùng thêm pyridoxin (10-25mg/ngày).
- Kết hợp chặt chẽ với thầy thuốc chuyên khoa để kiểm soát đường huyết, các biến chứng của ĐTĐ. Đảm bảo tối ưu kiểm soát đường huyết, khi đường huyết ổn định theo dõi lượng đường trong máu hàng tháng, giáo dục bệnh nhân tuân thủ điều trị, chế độ ăn uống, hoạt động thể chất.
- Xem xét đến tương tác thuốc trong việc kết hợp điều trị lao và điều trị ĐTĐ (rifampicin với nhóm sulphonylurea), cân nhắc sử dụng thuốc hạ đường máu bằng insulin, nhóm thuốc ít gây tương tác với thuốc lao: biguanide (ví dụ: eetformin, không có tương tác với rifampicin, tuy nhiên, metformin gây tác dụng phụ đến hệ tiêu hóa khi kết hợp với thuốc lao và thận trọng những trường hợp suy gan, thận).
4.6. Người bệnh lao nhiễm HIV/AIDS
Các thuốc chống lao có tác dụng tốt với bệnh lao ở người bệnh lao/HIV. Điều trị lao cho người bệnh HIV/AIDS nói chung không khác biệt so với người bệnh không nhiễm HIV/AIDS. Khi điều trị cần lưu ý một số điểm sau:
- Tiến hành điều trị lao sớm ở người HIV có chẩn đoán lao.
- Phối hợp điều trị thuốc chống lao với điều trị dự phòng nhiễm trùng cơ hội khác bằng Cotrimoxazol và ARV càng sớm càng tốt, ngay sau khi người bệnh dung nạp thuốc chống lao (sau 2 tuần đầu tiên).
- Thận trọng khi điều trị phối hợp ARV vì có hiện tượng tương tác thuốc giữa Rifampicin với các thuốc ức chế men sao chép ngược Non-nucleocide và các thuốc ức chế men protease.
- Hội chứng phục hồi miễn dịch có thể xảy ra ở một số bệnh nhân nhiễm HIV điều trị lao có sử dụng thuốc kháng virus biểu hiện bằng các triệu chứng lâm sàng, cận lâm sàng nặng lên - điều trị triệu chứng, trong trường hợp nặng có thể sử dụng corticosteroid với liều lượng 1mg/kg trong 1-2 tuần.
4.7. Một số lưu ý khi điều trị lao kháng thuốc:
Đối với phụ nữ có thai
● Tránh dùng thuốc tiêm. Phần lớn các thuốc tiêm Aminoglycoside không nên dùng trong các phác đồ cho người bệnh mang thai, có thể rất độc hại đối với việc phát triển thính lực của thai nhi. Capreomycin có thể gây độc cho tai thai nhi, nhưng lại là thuốc tiêm sẽ được lựa chọn nếu phải dùng một loại thuốc tiêm trong trường hợp bệnh nặng. Lúc này Capreomycin có thể được sử dụng cách nhật để giảm thiểu tác hại đối với thai nhi. Việc trì hoãn thuốc tiêm trong giai đoạn thai kỳ là cần thiết, tuy nhiên cần sử dụng ngay sau sinh để tăng cường hiệu lực của phác đồ.
● Tránh dùng Ethionamide/Prothionamid: Eto/Pto có thể tăng nguy cơ buồn nôn và nôn mửa có liên quan đến tình trạng mang thai, và một số tác động phụ sẽ dẫn đến dị tật thai nhi. Nếu có thể được, không dùng Ethionamide cho người bệnh.
Đối với Người bệnh bị động kinh
● Không dùng Cycloserine cho những người bệnh vẫn còn động kinh và chưa được kiểm soát triệt để bằng thuốc. Tuy nhiên, trong trường hợp mà Cycloserine là một thuốc thiết yếu của phác đồ điều trị thì loại thuốc này vẫn có thể được kê và thuốc chống bệnh động kinh phải được điều chỉnh theo yêu cầu để kiểm soát. Rủi ro và lợi ích của việc dùng Cycloserine phải được bàn bạc với người bệnh và cùng với người bệnh đưa ra quyết định liệu có dùng Cycloserine hay không.
Đối với người bệnh lao màng não, lưu ý khả năng thấm qua hàng rào máu não của các thuốc
● Ngấm tốt: FQs, Pto, Cs, Lzd, Z, H
● Ngấm khi đang có phản ứng viêm: Km, S
● Ngấm kém: PAS, E
● Chưa có đủ bằng chứng về tính thấm qua hàng rào máu não: Cm, Cfz, Bdq, Dlm
Những trường hợp không nên sử dụng Bedaquiline:
Chống chỉ định tuyệt đối
- Trẻ em dưới 18 tuổi
- Phụ nữ mang thai
- Phụ nữ đang cho con bú
- Nguy cơ biến chứng tim mạch cao: Bệnh nhân có khoảng QT lớn hơn 500ms, có tiền sử xoắn đỉnh hoặc loạn nhịp tâm thất hoặc có bệnh lý mạch vành nặng.
- Có tiền sử dị ứng nghiêm trọng với Bedaquiline
Chống chỉ định tương đối
- Bệnh nhân trên 65 tuổi
- Bệnh gan hoặc tổn thương gan thể hiện bằng các chỉ số xét nghiệm chức năng gan bất thường, ví dụ SGOT (AST) hoặc SGPT (ALT) >2 lần giới hạn trên của giá trị bình thường.
- Suy thận, Creatinine huyết thanh >2 lần giới hạn trên của giá trị bình thường trong tình trạng không mất nước; trong trường hợp mất nước, creatinine huyết thanh cần < 2 lần giới hạn trên của giá trị bình thường sau khi uống hoặc truyền dịch.
- Bệnh nhân có chỉ số xét nghiệm amylase và lipase máu ngoài giới hạn bình thường
- Bệnh nhân có tiền sử bệnh lý cơ vân
- Nhiễm HIV
- Không nên dùng kết hợp Moxifloxacin liều cao và Bedaquiline
4.8. Sử dụng Corticosteroid trong một số trường hợp
Dựa trên các bằng chứng về hiệu quả và an toàn của thuốc corticosteroide trong điều trị lao, hiện nay Tổ chức Y tế Thế giới khuyến cáo dùng corticosteroide cho điều trị lao màng não. Đối với lao màng tim, chỉ sử dụng trong một số trường hợp tràn dịch nhiều, nhanh tủy theo quyết định lâm sàng.
Với đặc tính chống viêm mạnh, thuốc được sử dụng là Dexamethasone với liều dùng như nhau (đã được thử nghiệm lâm sàng với quần thể bệnh nhân lao màng não ở Việt Nam):
- Tuần 1: liều 0,4 mg/kg tiêm tĩnh mạch trong 7 ngày
- Tuần 2: liều 0,3 mg/kg tiêm tĩnh mạch trong 7 ngày
- Tuần 3: liều 0,2 mg/kg tiêm tĩnh mạch trong 7 ngày
- Tuần 4: liều 0,1 mg/kg tiêm tĩnh mạch trong 7 ngày
- Từ tuần thứ 5 chuyển thuốc uống với liều bắt đầu 4mg và giảm 1mg sau 7 ngày trong vòng 4 tuần.
Các trường hợp khác tuỳ theo quyết định lâm sàng, tuy nhiên cần cân nhắc kỹ và theo dõi chặt chẽ các tác dụng phụ của corticosteroide.
Lưu ý: Sự thay đổi tâm trạng, lo lắng, trầm cảm có thể do corticosteroide nhưng khó phân biệt với độc tính thần kinh của cycloserine khi điều trị trong phác đồ lao kháng thuốc.
5. QUẢN LÝ ĐIỀU TRỊ
5.1. Quản lý điều trị bệnh nhân lao
- Sau khi được chẩn đoán xác định, người bệnh cần được đăng ký quản lý điều trị ngay càng sớm càng tốt tại một đơn vị chống lao tuyến quận huyện và tương đương. Cán bộ Đơn vị chống lao sẽ đăng ký bệnh nhân vào sổ ĐKĐT, lập thẻ bệnh nhân, lập phiếu điều trị có kiểm soát để theo dõi (mỗi người bệnh sẽ có một số đăng ký, thẻ người bệnh và phiếu điều trị có kiểm soát), đồng thời cán bộ chống lao tuyến quận huyện tư vấn cho người bệnh kiến thức cơ bản về điều trị lao.
- Sau khi đăng ký quản lý điều trị tại Đơn vị chống lao tuyến quận huyện - người bệnh được chuyển về xã điều trị, tại trạm y tế (TYT) xã:
+ Đăng ký bệnh nhân vào sổ Quản lý điều trị bệnh lao (dùng cho tuyến xã và đơn vị tương đương).
+ Cán bộ chống lao xã (giám sát viên 1: GSV1) thực hiện điều trị cho bệnh nhân: nhận thuốc hàng tháng từ tuyến huyện và cấp phát cho bệnh nhân 7-10 ngày/lần, ghi chép phiếu điều trị có kiểm soát, mỗi lần cấp phát thuốc là một lần giám sát, khám, tư vấn cho người bệnh.
+ Lựa chọn người giám sát hỗ trợ (giám sát viên 2: GSV2): có thể là cộng tác viên tuyến xã như: nhân viên Y tế thôn bản, hội viên các hội, tình nguyện viên hoặc là người thân bệnh nhân, việc lựa chọn người giám sát hỗ trợ (GSV2) làm sao cho phù hợp nhất với từng cá thể người bệnh, có cam kết tham gia với đầy đủ thông tin của 3 bên: CBYT - Bệnh nhân - GSV2
+ Cán bộ chống lao tuyến xã tư vấn cách giám sát hỗ trợ điều trị, kiến thức cơ bản về bệnh lao, hình thức và tần suất trao đổi thông tin giám sát cho GSV2, việc tư vấn này có thể được thực hiện thêm trong các chuyến vãng gia thăm bệnh nhân, GSV2 có thể được thay đổi trong quá trình điều trị nếu thấy không phù hợp.
+ CBYT xã thực hiện thăm bệnh nhân tại nhà theo xác suất, có trọng tâm, trọng điểm, ưu tiên thăm những người bệnh tiên lượng khả năng tuân thủ điều trị kém.
Lưu ý:
- Nhiều trường hợp người bệnh lao được chẩn đoán tại tuyến tỉnh - điều trị tại tỉnh một thời gian sau đó mới chuyển về huyện quản lý điều trị, một số nơi bệnh nhân được điều trị nội trú một thời gian tại huyện sau đó mới chuyển về xã điều trị, một số nơi đơn vị chống lao huyện trực tiếp quản lý điều trị một số bệnh nhân - Những trường hợp bệnh nhân này sau khi điều trị tại các tuyến trên - chuyển về huyện, xã quản lý điều trị phải thực hiện đúng theo quy trình nêu trên.
- Những người bệnh đang điều trị trong giai đoạn tấn công nếu bỏ trị hai ngày liền hoặc ở giai đoạn duy trì bỏ trị một tuần thì cán bộ y tế cần tìm người bệnh và giải thích cho họ quay lại điều trị.
- Khi chuyển người bệnh đi nơi khác điều trị phải kèm theo phiếu chuyển và các hồ sơ người bệnh theo quy định. Nơi nhận người bệnh phải có phản hồi tiếp nhận cho cơ sở chuyển ngay sau khi nhận và đăng ký điều trị tiếp, có phản hồi kết quả điều trị khi kết thúc điều trị cho nơi chuyển.
5.2. Quản lý điều trị bệnh nhân lao đa kháng
5.2.1. Hệ thống quản lý điều trị lao đa kháng
Quản lý lao đa kháng được được thực hiện tại các đơn vị trong hệ thống điều trị lao đa kháng theo tiêu chuẩn và nhiệm vụ cụ thể như sau:
Trung tâm điều trị
Tiêu chuẩn:
- Có đủ nhân lực điều trị bệnh nhân lao đa kháng: có bác sỹ, điều dưỡng, tư vấn viên… đã được đào tạo về lao đa kháng.
- Có khoa/phòng điều trị dành riêng cho bệnh nhân MDR-TB đảm bảo phòng chống lây nhiễm lao.
- Có khả năng nuôi cấy vi khuẩn lao đảm bảo ATSH (được phòng xét nghiệm chuẩn quốc gia (NRL) xác nhận).
- Có khả năng chẩn đoán vi khuẩn lao kháng thuốc (được NRL xác nhận).
Nhiệm vụ:
- Tầm soát người nghi ngờ lao đa kháng để chẩn đoán.
- Chẩn đoán vi khuẩn lao kháng thuốc.
- Tư vấn và thu nhận điều trị cho bệnh nhân lao đa kháng tại tỉnh.
- Tư vấn và thu nhận điều trị thời gian đầu cho bệnh nhân lao đa kháng của tỉnh lân cận được phân công.
- Tái khám cho bệnh nhân lao đa kháng của tỉnh và tỉnh lân cận được phân công.
- Thực hiện xét nghiệm nuôi cấy theo dõi cho bệnh nhân lao đa kháng của tỉnh và tỉnh lân cận được phân công.
Điểm điều trị
Tiêu chuẩn:
- Có đủ nhân lực điều trị bệnh nhân lao đa kháng: có bác sỹ đã được đào tạo về lao đa kháng.
- Có khoa/phòng dành riêng điều trị cho bệnh nhân MDR-TB đảm bảo phòng chống lây nhiễm lao.
Nhiệm vụ:
- Tầm soát người nghi ngờ lao đa kháng để chẩn đoán.
- Chẩn đoán vi khuẩn lao kháng thuốc hoặc vận chuyển mẫu đến điểm chẩn đoán.
- Tư vấn và thu nhận điều trị cho bệnh nhân lao đa kháng tại tỉnh sau khi nhận kết quả chẩn đoán MDR-TB.
- Tái khám cho bệnh nhân lao đa kháng của tỉnh.
- Thu nhận điều trị thời gian đầu cho bệnh nhân lao đa kháng của tỉnh lân cận được phân công (nếu có).
- Tái khám cho bệnh nhân MDR-TB của tỉnh lân cận được phân công (nếu có).
Tỉnh lân cận
Tiêu chuẩn:
- Có khả năng quản lý và điều trị bệnh nhân lao đa kháng trong giai đoạn ngoại trú.
Nhiệm vụ:
- Tầm soát người nghi ngờ lao đa kháng: lấy và vận chuyển mẫu bệnh phẩm đến điểm chẩn đoán.
- Tư vấn và gửi bệnh nhân lao đa kháng đến điểm điều trị/trung tâm điều trị theo phân vùng.
- Tiếp nhận và điều trị tiếp giai đoạn ngoại trú cho bệnh nhân lao đa kháng của tỉnh.
- Tái khám hoặc nhắc nhở bệnh nhân lao đa kháng đi khám đúng lịch.
5.2.2. Quản lý điều trị bệnh nhân lao đa kháng
- Sau khi được chẩn đoán xác định, người bệnh lao đa kháng sẽ được đăng ký quản lý điều trị nội trú ngay càng sớm càng tốt tại một trung tâm/điểm điều trị lao đa kháng
(Nếu người bệnh được phát hiện chẩn đoán qua xét nghiệm đờm chuyển mẫu - cán bộ chống lao tuyến quận huyện sẽ mời người bệnh đến tư vấn, cam kết điều trị - chuyển người bệnh tới trung tâm/điểm điều trị. Với người bệnh thuộc các tỉnh lân cận - cán bộ Tổ chống lao quận huyện sẽ mời người bệnh đến tư vấn, cam kết điều trị - chuyển người bệnh tới Phòng Chỉ đạo tuyến (CĐT) BVLBP tỉnh - Phòng CĐT BVLBP tỉnh đăng ký và chuyển tiếp người bệnh tới trung tâm/điểm điều trị theo hệ thống).
- Sau khi điều trị nội trú tại trung tâm/điểm điều trị lao đa kháng (khoảng 2 tuần) người bệnh lao đa kháng được chuyển điều trị ngoại trú
(Điều trị nội trú khoảng 2 tuần để theo dõi dung nạp, xử trí các phản ứng bất lợi của thuốc là hình thức phổ biến, tuy nhiên, có thể điều trị ngoại trú ngay từ đầu cho người bệnh tại các địa phương nếu có đủ điều kiện: gần trung tâm điều trị lao đa kháng, nhân lực đảm bảo cho việc theo dõi và giám sát bệnh nhân một cách chặt chẽ).
- Nếu người bệnh lao đa kháng thuộc tỉnh có trung tâm/điểm điều trị: Cán bộ trung tâm/điểm điều trị thông báo cho Phòng CĐT - Phòng CĐT thông báo cho Tổ chống lao quận huyện tiếp nhận người bệnh về điều trị ngoại trú và nhận thuốc điều trị cho người bệnh.
- Nếu người bệnh lao đa kháng thuộc tỉnh lân cận sẽ được chuyển về tỉnh lân cận thuộc hệ thống quản lý điều trị lao đa kháng để điều trị tiếp: Cán bộ trung tâm/điểm điều trị thông báo cho Phòng CĐT của BVLBP tỉnh lân cận - Phòng CĐT thông báo cho Đơn vị chống lao tuyến quận huyện tiếp nhận người bệnh về điều trị ngoại trú và nhận thuốc điều trị cho người bệnh.
- Tại Đơn vị chống lao tuyến quận huyện: người bệnh có thể được quản lý điều trị tại Đơn vị chống lao hoặc được chuyển về xã phường quản lý điều trị (nếu xã phường có đủ điều kiện). Tại đây, người bệnh hàng ngày đến đơn vị chống lao/Trạm y tế để dùng thuốc (6 ngày/tuần, trừ Chủ nhật), cán bộ đơn vị chống lao/trạm y tế thực hiện điều trị cho bệnh nhân, cập nhật phiếu điều trị, nhắc nhở người bệnh tái khám hàng tháng tại các trung tâm/điểm điều trị/điểm tái khám.
- Giám sát người bệnh lao đa kháng: được thực hiện bởi giám sát viên 1 (là cán bộ Tổ chống lao huyện/hoặc cán bộ chống lao tuyến xã) với tần suất hàng tháng đến vãng gia thăm bệnh nhân, ngoài ra còn được thực hiện bởi giám sát viên 2 (là người thân bệnh nhân hoặc nhân viên y tế thôn bản): đôn đốc, hỗ trợ, động viên bệnh nhân dùng thuốc hàng ngày.
- Trong quá trình điều trị nếu người bệnh bỏ thuốc phải tìm đến người bệnh tư vấn, thuyết phục người bệnh quay lại điều trị, nếu người bệnh bỏ thuốc 3 ngày phải báo cáo lên tuyến trên để phối hợp tìm giải pháp giải quyết.
- Khi chuyển người bệnh đi nơi khác điều trị phải kèm theo phiếu chuyển và các hồ sơ người bệnh theo quy định. Nơi nhận người bệnh phải có phản hồi tiếp nhận cho cơ sở chuyển ngay sau khi nhận bệnh nhân và đăng ký điều trị tiếp, có phản hồi kết quả điều trị khi kết thúc điều trị cho nơi chuyển.
6. THEO DÕI ĐIỀU TRỊ BỆNH LAO
6.1. Theo dõi điều trị bệnh lao
Trong quá trình điều trị người bệnh cần được theo dõi như sau:
- Người bệnh cần được theo dõi kiểm soát việc dùng thuốc.
- Theo dõi đánh giá đáp ứng lâm sàng, X-quang và tác dụng phụ của thuốc. Đối với trẻ em phải cân hàng tháng để điều chỉnh liều thuốc theo cân nặng.
- Xét nghiệm đờm theo dõi: người bệnh lao phổi cần phải xét nghiệm đờm theo dõi 3 lần
+ Phác đồ 6 tháng: xét nghiệm đờm vào cuối tháng thứ 2, 5 và 6.
+ Phác đồ 8 tháng: xét nghiệm đờm vào cuối tháng thứ 3, 5,7 (hoặc 8).
Xử trí kết quả xét nghiệm đờm theo dõi
- Với PĐ A (bao gồm cả PĐ A1 và PĐ A2), đờm còn AFB(+) ở cuối tháng thứ 2, chuyển điều trị duy trì, làm xét nghiệm nhuộm soi trực tiếp ở cuối tháng thứ 3. Nếu cuối tháng thứ 3 còn AFB(+), cần chuyển đờm làm Hain test, Xpert MTB/RIF (hoặc nuôi cấy và KSĐ).
- Lưu ý: ở bất kỳ thời điểm điều trị nào với thuốc chống lao hàng 1, khi xác định được chủng vi khuẩn lao kháng đa thuốc thì người bệnh cần được chỉ định PĐ lao đa kháng.
6.2. Theo dõi điều trị bệnh lao kháng thuốc
Trong quá trình điều trị người bệnh lao đa kháng cần được theo dõi chặt chẽ như sau:
- Người bệnh lao đa kháng cần được kiểm soát chặt chẽ việc dùng thuốc hàng ngày (DOT) trong cả liệu trình điều trị.
- Giai đoạn điều trị nội trú: Thăm khám lâm sàng hàng ngày tại giường bệnh; giai đoạn điều trị ngoại trú - Tái khám hàng tháng tại trung tâm/điểm điều trị/điểm tái khám: khám lâm sàng, theo dõi đáp ứng điều trị, theo dõi biến chứng bệnh và tác dụng phụ của thuốc, kiểm tra cân nặng hàng tháng, theo dõi về các xét nghiệm, chụp X-quang và một số thăm khám khác.
Thời gian biểu theo dõi điều trị
Danh mục xét nghiệm theo dõi phác đồ chuẩn ngắn hạn (9 - 11 tháng)
|
Tên xét nghiệm |
Tháng từ thời điểm bắt đầu điều trị |
|||||||||
|
Giai đoạn tấn công 4 tháng (có thể kéo dài thêm 2 tháng) |
Giai đoạn duy trì củng cố 5 tháng |
|||||||||
|
0 |
1 |
2 |
3 |
4 |
5 |
6 |
7 |
8 |
9 (11) |
|
|
Khám lâm sàng và cân nặng |
X |
X |
X |
X |
X |
X |
X |
X |
X |
X |
|
Soi đờm |
X |
X |
X |
X |
XX* |
X |
X |
X |
X |
XX* |
|
Nuôi cấy |
X |
X |
X |
X |
X |
X |
X |
X |
X |
X |
|
KSĐ |
X** |
|
|
|
X |
|
|
|
|
|
|
Điện tâm đồ |
X |
X |
X |
X |
X |
|
X |
|
|
X |
|
Đo thính lực cơ bản |
X |
X |
X |
X |
X |
|
X |
|
|
X |
|
Đo thị lực, Soi đáy mắt*** |
X |
|
|
|
|
|
|
|
|
|
|
X-quang phổi |
X |
X |
|
|
X |
|
X |
|
|
X |
|
Công thức máu toàn phần |
X |
X |
|
|
X |
|
X |
|
|
X |
|
Creatinin, ure máu |
X |
X |
X |
X |
X |
|
X |
|
|
X |
|
Điện giải đồ: K, Na, Ca |
X |
X |
X |
X |
X |
|
X |
|
|
X |
|
ASAT, ALAT, GGT Bilirubin (tp/tt) |
X |
X |
X |
X |
X |
|
X |
|
|
X |
|
TSH |
X |
|
|
|
X |
|
X |
|
|
X |
|
Thử thai |
X |
|
|
|
|
|
|
|
|
|
|
HIV test |
X |
|
|
|
|
|
|
|
|
|
|
Thần kinh ngoại biên |
X |
X |
X |
X |
X |
|
|
|
|
|
*) trong tháng thứ 4 và thứ 9 (và hàng tháng trong giai đoạn kéo dài của thuốc tiêm) 2 mẫu đờm buổi sáng sẽ được làm xét nghiệm. Quyết định thay đổi điều trị sẽ phụ thuộc vào kết quả soi đờm này
**) nếu nuôi cấy dương tính trở lại tại tháng thứ 4 hoặc dương tính sau khi đã âm hóa. KSĐ sẽ được thực hiện lại và bệnh nhân sẽ không được tiếp tục tham gia điều trị phác đồ chuẩn ngắn hạn.
***) Thực hiện soi đáy mắt tại bất cứ thời điểm nào khi có dấu hiệu nghi ngờ
Danh mục xét nghiệm theo dõi điều trị phác đồ dài hạn (18 - 20 tháng)
|
Stt |
Nội dung |
Trước điều trị |
Tháng |
||||||||||||||||||||
|
1 |
2 |
3 |
4 |
5 |
6 |
7 |
8 |
9 |
10 |
11 |
12 |
13 |
14 |
15 |
16 |
17 |
18 |
19 |
20 |
||||
|
1 |
Soi |
x |
x |
x |
x |
x |
x |
x |
x |
x |
x |
x |
x |
x |
x |
x |
x |
x |
x |
x |
x |
x |
|
|
2 |
Cấy |
x |
x |
x |
x |
x |
x |
x |
x |
x |
x |
x |
x |
x |
x |
x |
x |
x |
x |
x |
x |
x |
|
|
3 |
MTB siêu kháng LPA |
x |
|
|
|
x (nếu cấy đờm còn dương tính từ T4) |
|||||||||||||||||
|
4 |
LPA 1/ KSĐ 1/ KSĐ 2 |
Chỉ định tùy thuộc đối tượng bệnh nhân theo sơ đồ chẩn đoán lao kháng thuốc |
|||||||||||||||||||||
|
5 |
HIV |
x |
|
|
|
|
|
|
|
|
|
|
|
|
|
|
|
|
|
|
|
|
|
|
6 |
ECG |
x |
x |
x |
x |
x |
x |
x |
x |
x |
x |
x |
x |
x |
x |
x |
x |
x |
x |
x |
x |
x |
|
|
7 |
Xquang |
x |
|
|
|
x |
|
|
|
x |
|
|
|
|
|
x |
|
|
|
|
|
x |
|
|
8 |
Albumin |
x |
|
|
|
|
|
|
|
|
|
|
|
|
|
|
|
|
|
|
|
|
|
|
9 |
AST/ALT/GGT Bilirubin toàn phần/trực tiếp |
x |
x |
x |
x |
x |
x |
x |
x |
x |
|
|
x |
|
|
x |
|
|
x |
|
|
x |
|
|
10 |
Điện giải đồ (K, Na, Mg, Ca) |
x |
x |
x |
x |
x |
x |
x |
x |
x |
|
|
x |
|
|
x |
|
|
x |
|
|
x |
|
|
11 |
Creatinin/ure |
x |
x |
x |
x |
x |
x |
x |
x |
x |
|
|
x |
|
|
x |
|
|
x |
|
|
x |
|
|
12 |
Amylase/ Lipase (*) |
x |
|
|
|
|
|
|
|
x |
|
|
x |
|
|
x |
|
|
x |
|
|
x |
|
|
13 |
Acid lactic (**) |
x |
|
|
|
|
|
|
|
x |
|
|
|
|
|
|
|
|
|
|
|
|
|
|
14 |
Acid uric |
x |
|
|
|
|
|
|
|
x |
|
|
x |
|
|
x |
|
|
x |
|
|
x |
|
|
15 |
TSH |
x |
|
|
|
|
|
|
|
x |
|
|
|
|
|
x |
|
|
|
|
|
x |
|
|
16 |
Công thức máu |
x |
x |
X |
x |
x |
x |
x |
x |
x |
|
|
x |
|
|
x |
|
|
x |
|
|
x |
|
|
17 |
Thần kinh ngoại biên |
x |
x |
x |
x |
x |
x |
x |
x |
x |
|
|
x |
|
|
x |
|
|
x |
|
|
x |
|
|
18 |
Đo thính lực (nếu dùng thuốc tiêm) |
x |
x |
x |
x |
x |
x |
x |
x |
x |
|
|
|
|
|
|
|
|
|
|
|
|
|
|
19 |
Đo thị lực, soi đáy mắt |
x |
x |
x |
x |
x |
x |
x |
x |
x |
|
|
x |
|
|
x |
|
|
x |
|
|
x |
|
|
20 |
Glucose máu |
x |
x |
x |
x |
x |
x |
x |
x |
x |
|
|
x |
|
|
x |
|
|
x |
|
|
x |
|
7. ĐÁNH GIÁ KẾT QUẢ ĐIỀU TRỊ
7.1. Đánh giá kết quả điều trị bệnh lao
Đánh giá kết quả điều trị theo khuyến cáo của WHO:
● Khỏi: người bệnh lao phổi có bằng chứng vi khuẩn học tại thời điểm bắt đầu điều trị, có kết quả xét nghiệm đờm trực tiếp hoặc nuôi cấy âm tính tháng cuối của quá trình điều trị và ít nhất 1 lần trước đó.
● Hoàn thành điều trị: người bệnh lao hoàn thành liệu trình điều trị, không có bằng chứng thất bại, nhưng cũng không có xét nghiệm đờm trực tiếp hoặc nuôi cấy âm tính vào tháng cuối của quá trình điều trị và ít nhất 1 lần trước đó, bất kể không làm xét nghiệm hay không có kết quả xét nghiệm.
● Thất bại: người bệnh lao có kết quả xét nghiệm đờm trực tiếp hoặc nuôi cấy dương tính từ tháng thứ 5 trở đi của quá trình điều trị.
● Chết: người bệnh lao chết do bất cứ nguyên nhân gì trước hoặc trong quá trình điều trị lao.
● Không theo dõi được (bỏ): người bệnh lao ngừng điều trị liên tục từ 2 tháng trở lên.
● Không đánh giá: người bệnh lao không được đánh giá kết quả điều trị. Bao gồm các trường hợp chuyển tới đơn vị điều trị khác và không có phản hồi kết quả điều trị, cũng như các trường hợp đơn vị báo cáo không biết kết quả điều trị của bệnh nhân.
● Điều trị thành công: tổng số khỏi và hoàn thành điều trị.
7.2. Đánh giá kết quả điều trị lao đa kháng
Đối với phác đồ chuẩn ngắn hạn điều trị lao đa kháng
Khỏi: Hoàn thành liệu trình điều trị và không có bằng chứng thất bại, đồng thời có ít nhất 2 mẫu nuôi cấy âm tính liên tiếp cách nhau ít nhất 30 ngày ở cuối giai đoạn duy trì.
Hoàn thành điều trị: Hoàn thành liệu trình điều trị và không có bằng chứng thất bại, tuy nhiên không ghi nhận đủ thông tin có ít nhất 2 mẫu nuôi cấy âm tính liên tiếp cách nhau ít nhất 30 ngày ở cuối giai đoạn duy trì.
Thất bại:
• Không âm hóa cuối giai đoạn tấn công kéo dài, hoặc
• Dương tính trở lại trong giai đoạn duy trì sau khi đã âm hóa, hoặc
• Ngừng điều trị ít nhất 2 trong các thuốc bổ sung (E, Z, H), hoặc ít nhất 1 trong các thuốc chủ đạo (FQ, SLI, Pto/Eto, Cfz) vì lý do phản ứng bất lợi hoặc phát hiện kháng thuốc
Đối với các kết quả khác (chết, không theo dõi, không đánh giá), tiêu chuẩn đánh giá cho phác đồ 9-11 tháng tương tự đối với phác đồ 20 tháng.
Đối với phác đồ chuẩn 20 tháng
● Khỏi: hoàn thành liệu trình theo hướng dẫn của CTCLQG và không có dấu hiệu thất bại, đồng thời có 3 mẫu nuôi cấy âm tính liên tiếp cách nhau ít nhất 30 ngày trong giai đoạn duy trì.
● Hoàn thành điều trị: hoàn thành liệu trình theo hướng dẫn của CTCLQG và không có dấu hiệu thất bại, tuy nhiên không đầy đủ bằng chứng về 3 mẫu nuôi cấy âm tính liên tiếp cách nhau ít nhất 30 ngày trong giai đoạn duy trì.
● Thất bại: Ngừng điều trị hoặc thay đổi vĩnh viễn ít nhất 2 thuốc chống lao trong công thức điều trị vì các lý do:
○ Không âm hóa vào cuối giai đoạn tấn công (*) hoặc,
○ Dương tính trở lại trong giai đoạn duy trì sau khi đã âm hóa (**) hoặc,
○ Có bằng chứng kháng thêm với fluoroquinolon hoặc thuốc tiêm hàng hai, hoặc,
○ Có phản ứng bất lợi của thuốc (ADRs).
● Chết: người bệnh chết do bất cứ nguyên nhân nào trong quá trình điều trị lao kháng thuốc.
● Không theo dõi được: người bệnh ngừng điều trị liên tục từ 2 tháng trở lên do bất cứ lý do gì.
● Không đánh giá: người bệnh không được đánh giá kết quả điều trị (bao gồm cả các trường hợp chuyển đến đơn vị điều trị khác và các trường hợp không biết kết quả điều trị)
● Điều trị thành công: tổng cộng của khỏi và hoàn thành điều trị
(*) Âm hóa nuôi cấy: có ít nhất 2 mẫu nuôi cấy âm tính liên tiếp (cách nhau ít nhất 30 ngày).
(**) Dương tính trở lại: có ít nhất 2 mẫu nuôi cấy dương tính liên tiếp (cách nhau ít nhất 30 ngày) sau khi đã âm hóa. Chỉ sử dụng để kết luận là thất bại nếu dương tính trở lại trong giai đoạn duy trì.
PHÁT HIỆN, ĐÁNH GIÁ, XỬ TRÍ TÁC DỤNG KHÔNG MONG MUỐN CỦA THUỐC CHỐNG LAO
1. CÁC KHÁI NIỆM CƠ BẢN
- Tác dụng không mong muốn - Phản ứng có hại của thuốc (ADR: Adverse Drug Reaction): “Phản ứng có hại của thuốc là một phản ứng độc hại, không định trước và xuất hiện ở liều thường dùng cho người để phòng bệnh, chẩn đoán, chữa bệnh hoặc làm thay đổi một chức năng sinh lý” (Tổ chức Y tế thế giới - WHO).
- Gánh nặng do tác dụng không muốn của thuốc: bệnh nhân bỏ trị, thay thế thuốc điều trị, bỏ bớt thuốc điều trị hoặc thay đổi phác đồ…dẫn tới kéo dài liệu trình điều trị, tăng chi phí điều trị hoặc gặp thất bại điều trị va tình trạng kháng thuốc gia tăng và có thể để lại di chứng nặng nề…
- Tác dụng không mong muốn của thuốc lao thường gặp: triệu chứng tăng men gan, các biểu hiện trên da, rối loạn tiêu hóa, đau khớp, viêm dây thần kinh, rối loạn tiền đình…
- Các yếu tố nguy cơ làm tăng tần suất xuất hiện ADR ở bệnh nhân lao:
+ Phác đồ điều trị kéo dài (6 tháng đến 2 năm), sử dụng nhiều thuốc đồng thời (→ tương tác thuốc), mở rộng các phác đồ lao đa kháng thuốc, tỷ lệ bệnh mắc kèm (HIV, viêm gan nghiện rượu, đái tháo đường), tình trạng suy dinh dưỡng, bệnh nhân không tuân thủ điều trị, thói quen tự ý dùng thuốc của bệnh nhân, hiểu biết và kinh nghiệm hạn chế của cán bộ y tế.
+ Một số yếu tố khác làm tăng ADR với thuốc lao: lớn tuổi tăng nguy cơ tổn thương gan, thận, uống nhiều rượu và nghiện rượu làm tăng tổn thương gan…., tình trạng dinh dưỡng, suy dinh dưỡng đặc biệt thiếu vitamin B1 làm tăng tác dụng của thuốc lao với thần kinh ngoại vi, nhiễm virus như viêm gan, HIV, CMV, EBV… làm tăng nguy cơ gây ra các phản ứng dị ứng chậm với thuốc như: DRESS, SJS, TEN, tổn thương gan.
2. PHÂN LOẠI MỨC ĐỘ TÁC DỤNG KHÔNG MONG MUỐN CỦA THUỐC LAO (WHO)
- Mức độ 1. Thoảng qua hoặc khó chịu nhẹ (<48 giờ), không yêu cầu can thiệp y tế/liệu pháp điều trị.
- Mức độ 2. Giới hạn các hoạt động từ mức nhẹ đến mức trung bình, có thể cần vài sự hỗ trợ, không yêu cầu hoặc yêu cầu mức tối thiểu can thiệp y tế/liệu pháp điều trị.
- Mức độ 3. Giới hạn các hoạt động một cách đáng kể, thường yêu cầu một vài sự hỗ trợ, yêu cầu can thiệp y tế/liệu pháp điều trị hoặc có thể nhập viện.
- Mức độ 4. Giới hạn hoạt động rất nghiêm trọng, yêu cầu có sự hỗ trợ đáng kể, yêu cầu can thiệp y tế/liệu pháp điều trị đáng kể, yêu cầu phải nhập viện hoặc điều trị cấp cứu.
3. MỘT SỐ TÁC DỤNG KHÔNG MONG MUỐN THƯỜNG GẶP VỚI THUỐC CHỐNG LAO VÀ
HƯỚNG XỬ TRÍ
|
Thuốc (căn nguyên chính) |
Hướng xử trí |
|
|
Loại nhẹ (mức độ 1-2) |
|
Tiếp tục dùng |
|
Buồn nôn, nôn, đau bụng |
R |
Dùng thuốc lao sau bữa ăn buổi tối |
|
Nước tiểu đỏ hoặc da cam |
R |
Tiếp tục dùng thuốc lao |
|
Đau khớp, sưng khớp |
Z >> E > H |
Cân nhắc điều trị aspirin hoặc thuốc kháng viêm không steroid (xem thêm phụ lục 9) |
|
Ngứa, phát ban ngoài da (mức độ nhẹ: 1-2) |
H<R<Z<E<S |
Có thể kết hợp điều trị kháng histamin. |
|
Loại nặng (mức độ 3-4) |
|
Tạm ngừng thuốc hoặc ngừng và không sử dụng lại thuốc nghi ngờ |
|
Sốc phản vệ |
S |
Ngừng S, xử trí Shock phản vệ, thay bằng E, không dùng lại S |
|
Ù tai, chóng mặt, điếc |
S |
Ngừng S, thay bằng E |
|
Suy thận cấp |
R<Km=Am>S |
- Tạm ngừng S (xem phụ lục 9) - Xem xét dùng lại, hiệu chỉnh thuốc lao theo độ thanh thải của creatinin - Suy thận cấp là một chống chỉ định xa của Km, Am, S và R |
|
Vàng da, viêm gan (loại trừ căn nguyên khác) |
H+R>H>> Z>R |
- Ngừng thuốc nghi ngờ - Điều trị hỗ trợ chức năng gan cho đến khi men gan về bình thường, hết vàng da, thử dùng lại H, Z, R. Theo dõi lâm sàng và men gan. (xem phụ lục 9) - Bệnh lao nặng có thể tử vong có tổn thương gan: dùng 02 loại thuốc ít độc với gan là S, E hoặc kết hợp với một thuốc nhóm fluoroquinilon (Lfx hoặc Mfx). Khi hết các biểu hiện của tổn thương gan thì cân nhắc tiếp tục điều trị bằng các thuốc đã dùng. - Nếu không đáp ứng hoặc có biểu hiện viêm gan, theo dõi chặt chẽ, tham khảo ý kiến của bác sĩ chuyên khoa tiêu hóa khi cần thiết. |
|
Xuất huyết, thiếu máu tan huyết, Purpura (viêm trợt da) |
R |
(xem phụ lục 9) - Ngừng R - Xuất huyết giảm tiểu cầu và thiếu máu tan máu là một chống chỉ định xa của rifampicin. |
|
Giảm thị lực (trừ căn nguyên khác) |
E>>H |
- Ngừng thuốc nghi ngờ, cần kiểm tra thị lực. - Triệu chứng ban đầu sẽ hết nếu dừng điều trị thuốc nghi ngờ - Giảm thị lực vĩnh viễn có thể là hậu quả của việc tiếp tục điều trị khi có ADR |
|
ADR trên da mức độ vừa và nặng (phản ứng quá mẫn) |
H<R<Z<E<S |
- Dừng tất cả các thuốc đến khi hết phản ứng (xem phụ lục 9) - Nhận dạng thuốc gây ADR bằng test kích thích - ADR vẫn xảy ra trong suốt quá trình thay đổi liều và thuốc gây ADR không thể tiếp tục dùng, thì điều trị giải mẫn cảm. Có thể kết hợp thuốc chống dị ứng: corticoid, kháng histamine |
4. XỬ TRÍ MỘT SỐ TÁC DỤNG KHÔNG MONG MUỐN DO THUỐC LAO
4.1. Người bệnh lao có tổn thương gan do thuốc lao
Theo dõi thường quy các chỉ số men gan cơ bản:
- Ở bệnh nhân < 35 tuổi nếu có các chỉ số men gan bình thường và không có tiền sử bệnh gan: không yêu cầu bắt buộc theo dõi các chỉ số men gan định kỳ mỗi 4 - 6 tuần, trừ khi bệnh nhân có triệu chứng biểu hiện.
- Ở bệnh nhân > 35 tuổi, bệnh nhân uống rượu hàng ngày, có chỉ số men gan không bình thường hoặc có tiền sử bệnh gan: cần theo dõi các chỉ số men gan định kỳ mỗi 4 - 6 tuần.
4.1.1. Nguyên nhân
INH+Rifampicin > INH >> Pyrazinamid > Rifampicin > Ethionamide.
4.1.2. Biểu hiện lâm sàng
- Triệu chứng: Chán ăn, mệt mỏi, buồn nôn, nôn, đau bụng, đau hạ sườn phải, vàng da, vàng mắt.
- Dấu hiệu: gan to, tăng men gan.
4.1.3. Xử trí
- Ngừng sử dụng thuốc lao, điều trị hỗ trợ chức năng gan cho đến khi men gan về bình thường, hết vàng da. Cần theo dõi triệu chứng nặng liên quan đến suy gan.
- Nếu chức năng gan không cải thiện hoặc tiến triển nặng hơn, cần chuyển đến cơ sở chuyên khoa để điều trị.
- Chẩn đoán phân biệt với viêm gan viruts A, B, C…., viêm gan tự miễn và bệnh lý đường mật, các yếu tố tiềm tàng làm tăng nguy cơ độc tính trên gan, ví dụ: lạm dụng rượu, tiền sử sử dụng các thuốc có độc tính với gan.
Cân nhắc hướng xử trí dựa trên triệu chứng nhiễm độc gan và tăng men gan với các mức độ sau:
a) Men gan tăng nhỏ hơn 5 lần giới hạn trên bình thường không kèm triệu chứng lâm sàng (đã loại trừ căn nguyên khác và /hoặc không có bệnh gan từ trước, không có tiền sử lạm dụng rượu hoặc các thuốc gây độc tế bào gan):
- Có thể xảy ra trong các tuần điều trị đầu tiên.
- Điều trị hỗ trợ chức năng gan. Có thể không cần phải ngừng thuốc hoặc thay đổi điều trị vì men gan có thể tự trở lại mức bình thường. Nếu duy trì sử dụng thuốc chống lao cần phải theo dõi chặt chẽ, phát hiện các dấu hiệu gợi ý sớm trên lâm sàng (mệt mỏi, suy nhược, chán ăn, buồn nôn, đau bụng), xét nghiệm đánh giá chức năng gan sau 3 - 5 ngày.
b) Men gan tăng lớn hơn 5 lần và dưới 10 lần giới hạn trên bình thường (có kèm hoặc không kèm triệu chứng lâm sàng) hoặc lớn hơn 2,5 lần giới hạn trên bình thường có kèm triệu chứng lâm sàng:
Cân nhắc ngừng toàn bộ hoặc một số thuốc lao gây độc cho tế bào gan gồm rifampicin, isoniazid, pyrazinamid, điều trị hỗ trợ chức năng gan tích cực, đánh giá tình trạng lâm sàng chi tiết và toàn diện, xác định các yếu tố tiên lượng xấu: tăng bilirubin và rối loạn các yếu tố đông máu (định lượng fibrinogen và tỷ lệ prothrompin).
c) Men gan tăng lớn hơn 10 lần giới hạn trên bình thường:
- Cần phải ngừng toàn bộ thuốc lao, bệnh nhân được điều trị tích cực tại bệnh viện, cần kết hợp với chuyên khoa tiêu hóa. Nếu bilirubin toàn phần trong máu huyết thanh tăng kèm triệu chứng lâm sàng nặng, cần xem xét mức độ can thiệp hoặc điều trị bằng thuốc, sử dụng biện pháp thay huyết tương, điều trị hỗ trợ gan tích cực ở bệnh nhân suy gan cấp nặng (Bilirubin toàn phần > 250 µmol/l).
- Đánh giá lâm sàng chi tiết và toàn diện, xem xét các yếu tố tiên lượng xấu: tăng bilirubin và rối loạn các yếu tố đông máu (định lượng fibrinogen và tỷ lệ prothrombin).
4.1.4. Lựa chọn phác đồ điều trị lao
- Nếu mức độ viêm gan có khả năng đe dọa tính mạng và căn nguyên không phải do virut hoặc bệnh nhân mắc thể lao nặng mà việc ngừng tạm thời việc điều trị lao là không an toàn thì cân nhắc lựa chọn phác đồ điều trị lao gồm các thuốc ít có nguy cơ độc với gan như streptomycin và ethambutol, hoặc kết hợp với một thuốc nhóm fluoroquinilone.
- Nếu việc điều trị lao có thể tạm ngừng thì nên chờ cho các triệu chứng lâm sàng và xét nghiệm đánh giá chức năng gan về bình thường, nên tiến hành sử dụng lại các thuốc chống lao. Thường điều trị ít nhất 3 thuốc không độc với gan đến khi có thể xác định được nguyên nhân gây viêm gan và cần kéo dài thời gian điều trị cho phù hợp. Nên bắt đầu sử dụng lại từng thuốc nghi ngờ ở mỗi thời điểm sau khi nồng độ men gan đã giảm xuống dưới 2 lần giới hạn bình thường trên (ở bệnh nhân có tiền sử bị bệnh gan, thời điểm khuyên sử dụng lại thuốc khi nồng độ men gan giảm về gần mức giới hạn bình thường).
Các thuốc lần lượt được cân nhắc chỉ định sử dụng lại: RMP/INH/PZA nếu men gan không tăng có thể sau mỗi 3 ngày → 1 tuần điều trị.
Phác đồ điều trị thay thế phụ thuộc vào thuốc nào có thể là nguyên nhân gây viêm gan và phải loại trừ khỏi phác đồ, có thể cân nhắc lựa chọn phác đồ sau cho bệnh nhân không mắc lao đa kháng:
- Nếu viêm gan liên quan đến rifampicin, phác đồ đề nghị: 2SHE /10 HE.
- Nếu không thể sử dụng INH, cần được cân nhắc sử dụng phác đồ 9 tháng gồm RMP, PZA, EMB.
- Nếu cần ngừng điều trị PZA trong khi chưa kết thúc giai đoạn tấn công thì kéo dài điều trị bằng RMP, INH tới 9 tháng.
- Nếu cả 2 thuốc INH, RMP đều không thể sử dụng lại thì phác đồ khuyến cáo phối hợp SM, EMB và một fluoroquinolon (có thể kéo dài tới 18-24 tháng).
4.2. Tác dụng không mong muốn trên da mức độ vừa đến nặng (phản ứng quá mẫn)
4.2.1. Biểu hiện lâm sàng: phát ban có thể kèm theo sốt.
4.2.2. Nguyên nhân: có thể gặp ở các thuốc với mức độ thường gặp xảy ra như sau: isoniazid<rifampicin<pyrazinamid<ethionamid<ethambutol<PAS<streptomycin
Lưu ý: ở trẻ em, tình trạng nhiễm virus (ví dụ herpes simplex) thường cũng gặp phát ban nên có thể lẫn lộn với một phản ứng của thuốc.
4.2.3. Xử trí
- Trên trẻ em:
+ Ngừng tất cả các loại thuốc đang dùng.
+ Kiểm tra căn nguyên virus (các test xét nghiệm, công thức máu...).
+ Nếu là căn nguyên do nhiễm một loại virus nào đó thì tiếp tục sử dụng lại tất cả các thuốc lao.
+ Nếu loại trừ căn nguyên nhiễm virus thì theo dõi nguyên tắc thay đổi liều ở người lớn, hiệu chỉnh lại liều theo tuổi và cân nặng.
- Trên người lớn:
+ Dừng tất cả các thuốc đến khi hết phản ứng.
4.2.3.1. Chỉ định và chống chỉ định giải mẫn cảm
* Chỉ định giải mẫn cảm:
a) Thuốc gây dị ứng là thuốc không thể thay thế bằng thuốc khác trong quá trình điều trị (điều trị đặc hiệu).
b) Thuốc gây dị ứng là thuốc có hiệu quả tốt nhất cho lựa chọn liệu pháp điều trị (first line) ví dụ: thuốc điều trị lao, Cotrimoxazol cho bệnh nhân HIV.
* Chống chỉ định giải mẫn cảm:
a) Bệnh nhân có nguy cơ cao bệnh phối hợp: Hen phế quản (FEV1<70%), đang điều trị bêta blocke, tiền sử Shock phản vệ nặng và bệnh gan thận nặng.
b) Chống chỉ định tuyệt đối ở bệnh nhân nặng, phản ứng độc tế bào miễn dịch nặng hoặc đe dọa mạng sống (hội chứng Steven- Jhonson), hội chứng Lyell, Dress.
4.2.3.2. Nhận dạng thuốc gây ADR và giải mẫn cảm (xem phụ lục 10)
Đều phải dựa trên yếu tố cá thể ở từng người bệnh. Giải mẫn cảm chỉ nên cân nhắc sau khi đánh giá giữa yếu tố nguy cơ/ lợi ích.
4.3. Tác dụng không mong muốn trên thận
4.3.1. Biểu hiện
- Đau thắt lưng đột ngột, sốt, giảm niệu, vô niệu cấp.
- Tăng nồng độ creatinin/huyết thanh trong 7-10 ngày đầu điều trị.
- Sự thiếu hụt magie, kali có thể xảy ra.
4.3.2. Nguyên nhân
- Thường nguyên nhân gây độc trên thận gặp ở Kanamycin= Amikacin>Streptomycin, cơ chế gây độc là hủy tế bào ống thận cấp.
- Ngoài ra có thể gặp phản ứng suy thận cấp do Rifampicin, thường hiếm gặp, theo cơ chế miễn dịch trung gian.
4.3.3. Yếu tố nguy cơ
- Nồng độ Aminoglycosid/huyết thanh cao.
- Sử dụng Aminoglycosid kéo dài.
- Điều trị ngắt quãng hoặc điều trị thất thường rifampicin.
- Sử dụng đồng thời với các thuốc có độc với thận.
- Bệnh gan.
- Tuổi cao.
- Giảm huyết áp.
- Giảm thể tích tuần hoàn.
- Có tiền sử suy giảm chức năng thận.
- Có bệnh thận từ trước.
- Ung thư.
- Đái tháo đường.
4.3.4. Xử trí
- Ngừng sử dụng thuốc nghi ngờ.
- Kiểm soát các yếu tố nguy cơ có liên quan.
- Phác đồ 2RHZ/4RH có thể áp dụng điều trị cho người bệnh lao có suy thận.
- Suy thận cấp là một chống chỉ định xa hơn của kanamycin, amikacin, streptomycin và rifampicin.
- Trường hợp bệnh lao nặng nguy cơ cao, đe dọa tính mạng: cân nhắc lợi ích và nguy cơ, có thể sử dụng streptomycin và ethambutol, hiệu chỉnh thuốc lao theo độ thanh thải của creatinin.
- Trong phác đồ điều trị ở bệnh nhân đa kháng thuốc có suy thận ethionamide/prothionamide cũng được ưu tiên lựa chọn (hiệu chỉnh liều khi có suy thận nặng).
4.4. Đau khớp
- Týp 1
+ Nguyên nhân: Pyrazinamid >> Ethambutol > Isoniazid.
+ Biểu hiện lâm sàng: Đau khớp chân, vai, đầu gối…(thường ở mức độ nhẹ).
+ Xử trí:
• Không bắt buộc phải dừng thuốc chống lao.
• Liều thấp NSAID có thể sử dụng trong trường hợp đau nhẹ.
• Nếu các triệu chứng vẫn còn dai dẳng, cân nhắc chuyển đến chuyên khoa xương khớp đánh giá.
- Týp 2 (bị Gout)
+ Nguyên nhân: Pyrazinamid >> Ethambutol.
+ Biểu hiện lâm sàng:
● Triệu chứng: đau và sưng các khớp: chân, vai, đầu gối…
● Triệu chứng thường là nặng.
● Dấu hiệu: tăng acid uric máu.
+ Xử trí:
● Thông thường, không bắt buộc phải dừng thuốc chống lao.
● Nếu sưng khớp cấp vẫn tồn tại, âm thanh của khớp không tự nhiên và xét nghiệm có tinh thể urat thì nghĩ đến triệu chứng của đợt gút cấp.
● Điều trị
○ Sử dụng một NSAID: indomethacin 50mg x 3-4 lần/ngày đến khi giảm bớt đau, sau đó dùng 25mg x 3-4 lần/ngày hoặc ibuprofen 800mg ngày 3 lần hoặc naproxen 750mg/lần đầu và sau đó 250mg mỗi 8h.
○ Colchicin được sử dụng như một tác nhân thay thế NSAID
■ Liều: 0,5-1,2mg/lần đầu, sau đó 0,5-0,6mg mỗi 1-2h đến khi đau khớp đã giảm hoặc có biểu hiện buồn nôn, nôn hoặc tiêu chảy.
■ Triệu chứng đau thường hết sau tổng liều 4-8mg.
■ Liều tối đa 8mg
● Sử dụng corticoid giảm dần liều có thể được sử dụng trong trường hợp cơn gút nặng.
● Có thể xảy ra những đợt tái diễn trong quá trình sử dụng phác đồ có pyrazinamid hoặc ethambutol.
● Cân nhắc sử dụng dự phòng bằng colchicin với liều 0,6mg: 1 - 2 lần/hàng ngày.
● Tiếp tục sử dụng đến khi dừng sử dụng thuốc gây triệu chứng đau.
● Cân nhắc chuyển đến chuyên khoa xương khớp để lượng giá đợt gout cấp.
4.5. Sốt do thuốc lao
- Sốt do thuốc lao thường xuất hiện lại ở những bệnh nhân đã được điều trị vài tuần, đặc biệt ở bệnh nhân có cải thiện về vi khuẩn học và trên hình ảnh X-quang. Tuy nhiên cần chú ý rằng: sốt do bệnh lao có thể kéo dài tới 2 tháng sau khi bắt đầu điều trị.
- Không có chuẩn đặc biệt cho ghi nhận dấu hiệu sốt. Biểu hiện tăng bạch cầu eosin có thể có hoặc không.
- Cần phân biệt nguyên nhân nhiễm trùng, bệnh lao đang diễn biến xấu hơn, thuốc điều trị lao kê chưa đủ liều, chẩn đoán nhầm căn nguyên. Sốt cũng có thể là biểu hiện của hội chứng phục hồi miễn dịch (IRIS - Immune reconstitution), đặc biệt trên bệnh nhân đồng nhiễm HIV.
- Cần ngừng tạm thời tất cả các thuốc. Biểu hiện sốt do thuốc sẽ tự hết trong vòng 24h sau khi ngừng thuốc và sử dụng lại thuốc có thể thực hiện tương tự như phần xử trí triệu chứng phát ban.
PHÒNG BỆNH LAO
1. CÁC KHÁI NIỆM CƠ BẢN
1.1. Cơ chế lây truyền trong bệnh lao: Bệnh lao là bệnh lây truyền qua đường hô hấp do hít phải các hạt khí dung trong không khí có chứa vi khuẩn lao, các hạt khí dung có chứa vi khuẩn lao được sinh ra khi người mắc lao phổi trong giai đoạn tiến triển ho, khạc, hắt hơi (hạt khí dung có đường kính khoảng 1 - 5 micromet bay lơ lửng trong không khí khoảng từ vài giờ đến 24 giờ). Khả năng lây lan giảm mạnh sau điều trị từ 2 - 4 tuần, do vậy phát hiện và điều sớm bệnh lao sẽ làm giảm lây lan trong cộng đồng.
1.2. Nhiễm lao: là tình trạng có vi khuẩn lao trong cơ thể nhưng không sinh trưởng được do sự khống chế của hệ thống miễn dịch, vi khuẩn tồn tại trong cơ thể nhưng không hoạt động và có thể hoạt động sau này khi sức đề kháng của cơ thể suy giảm. Người nhiễm lao không có biểu hiện lâm sàng của bệnh lao, số lượng vi khuẩn lao ít, có thể phát hiện tình trạng nhiễm lao thông qua các xét nghiệm miễn dịch học như phản ứng tét da, hoặc xét nghiệm IGRA (xét nghiệm trên cơ sở giải phóng interferon gamma).
1.3. Bệnh lao: lao là một bệnh truyền nhiễm do vi khuẩn lao (Mycobacterium tuberculosis) gây nên. Bệnh lao có thể gặp ở tất cả các bộ phận của cơ thể, trong đó lao phổi là thể lao phổ biến nhất (chiếm 80 - 85%) và là nguồn lây chính cho người xung quanh. Người bệnh có các dấu hiệu của bệnh lao, số lượng vi khuẩn ở người bệnh lao nhiều hơn với số lượng vi khuẩn ở người nhiễm lao.
1.4. Nguy cơ chuyển từ nhiễm lao sang bệnh lao: khoảng 10% trong suốt cuộc đời những người khỏe mạnh có hệ thống miễn dịch bình thường bị nhiễm lao từ lúc nhỏ sẽ chuyển thành bệnh lao. Với những người suy giảm miễn dịch như đồng nhiễm HIV thì nguy cơ chuyển từ nhiễm lao sang bệnh lao hoạt động sẽ tăng lên rất cao, khoảng 10%/năm
1.5. Một số yếu tố liên quan đến sự lây truyền bệnh lao
- Sự tập trung của các hạt khí dung trong không khí bị chi phối bởi số lượng vi khuẩn do bệnh nhân ho khạc ra và sự thông khí tại khu vực phơi nhiễm.
- Thời gian tiếp xúc với các hạt khí dung bị nhiễm vi khuẩn lao.
- Trạng thái gần với nguồn các hạt khí dung mang vi khuẩn lao.
- Hệ thống miễn dịch suy giảm: HIV, tiểu đường, và suy dinh dưỡng…
- Những người sử dụng thuốc lá, rượu có thể làm gia tăng nguy cơ nhiễm lao và bệnh lao.
- Các yếu tố môi trường: không gian chật hẹp, thông khí không đầy đủ, tái lưu thông không khí có chứa các hạt khí dung chứa vi khuẩn lao.
2. PHÒNG BỆNH LAO
Phòng bệnh lao là áp dụng các biện pháp nhằm:
● Giảm nguy cơ nhiễm vi khuẩn lao.
● Giảm nguy cơ chuyển từ nhiễm lao sang bệnh lao.
2.1. Giảm nguy cơ nhiễm vi khuẩn lao
Kiểm soát nhiễm khuẩn lao là sự kết hợp các biện pháp nhằm hạn chế tối thiểu nguy cơ lan truyền của bệnh lao trong cộng đồng.
2.1.1. Kiểm soát vệ sinh môi trường
- Giảm đậm độ các hạt nhiễm khuẩn trong không khí bằng thông gió tốt:
+ Cửa đi và cửa sổ của buồng khám, khu chờ và buồng bệnh cần được mở cho thông gió tự nhiên hoặc dùng quạt điện đúng chiều để làm loãng các hạt nhiễm khuẩn và đẩy vi khuẩn ra ngoài, dưới ánh nắng mặt trời vi khuẩn lao sẽ dễ bị tiêu diệt.
+ Bố trí vị trí làm việc hợp lý theo chiều thông gió: Không để không khí đi từ người bệnh đến cán bộ y tế. (Sơ đồ buồng khám bệnh - xem phụ lục 15)
- Thay đổi hành vi của người bệnh (vệ sinh hô hấp) nhằm làm giảm các hạt nhiễm khuẩn ra môi trường:
+ Dùng khẩu trang hoặc ít nhất có khăn che miệng khi tiếp xúc nói chuyện với người khác (cán bộ y tế), khi hắt hơi, ho.
+ Khạc đờm vào giấy hoặc ca cốc, bỏ đúng nơi quy định, rửa tay xà phòng thường xuyên.
+ Lấy đờm xét nghiệm đúng nơi quy định, tốt nhất là ngoài trời, môi trường thông thoáng. Nếu không, cần ở nơi có thông gió tốt, ít khả năng tiếp xúc của nhân viên y tế và người khác. Không nên đặt nơi lấy đờm ở những phòng nhỏ đóng kín hoặc nhà vệ sinh.
2.1.2. Sử dụng phương tiện phòng hộ cá nhân cho nhân viên y tế
Khẩu trang thông thường ít có tác dụng bảo vệ nhiễm vi khuẩn lao. Những nơi có nguy cơ lây nhiễm cao cần đeo khẩu trang bảo vệ hô hấp đạt tiêu chuẩn như loại N95 hoặc tương đương trở lên.
2.1.3. Giảm tiếp xúc nguồn lây
- Cách ly: nên có nơi chăm sóc điều trị riêng cho người bệnh lao phổi AFB (+), đặc biệt với người bệnh lao đa kháng thuốc.
- Trong các cơ sở đặc biệt như trại giam, cơ sở cai nghiện, cơ sở giáo dục, trường giáo dưỡng, cơ sở bảo trợ xã hội có khả năng lây nhiễm rất cao, cần cách ly thỏa đáng những người bệnh để điều trị mới tránh được các vụ dịch nghiêm trọng.
- Nhân viên y tế cần tuân thủ quy trình khám, chăm sóc người bệnh: khi khám, hỏi bệnh, thực hiện tư vấn để người bệnh quay lưng lại. Thân thiện qua hành động, cử chỉ, lời nói chứ không nhất thiết phải tiếp xúc trực tiếp.
- Để bảo vệ cho người nhiễm HIV đến khám: cần xác định những người nghi lao (ho khạc) để hướng dẫn họ dùng khẩu trang, giấy che miệng, chuyển đến khu chờ riêng hoặc phòng cách ly (nếu có) và ưu tiên khám trước để giảm thời gian tiếp xúc.
2.2. Giảm nguy cơ chuyển từ nhiễm lao sang bệnh lao
2.2.1. Tiêm vaccin BCG (Bacille Calmette-Guérin): do Chương trình Tiêm chủng mở rộng thực hiện nhằm giúp cho cơ thể hình thành miễn dịch chống lại bệnh lao khi bị nhiễm lao.
Để có tác dụng cần:
- Tiêm đúng kỹ thuật, đúng liều lượng
- Vaccin phải được bảo quản đúng, đảm bảo chất lượng trong toàn bộ dây truyền đến từng liều sử dụng cho trẻ
Chỉ định tiêm vaccin BCG:
- Đối với trẻ không nhiễm HIV được tiến hành cho trẻ sơ sinh và trẻ dưới 1 tuổi
- Đối với trẻ nhiễm HIV không có triệu chứng của bệnh HIV/AIDS
Chống chỉ định tuyệt đối:
- Trẻ suy giảm miễn dịch bẩm sinh
- Nhiễm HIV có triệu chứng lâm sàng của bệnh HIV/AIDS
Chống chỉ định tương đối:
- Trẻ đẻ non thiếu tháng.
- Đang nhiễm khuẩn cấp tính.
- Sau một bệnh cấp tính, nhiễm virus cúm, sởi.
Liều lượng và phương pháp:
- Đường tiêm: Tiêm trong da
- Liều lượng: 0,05mg tương đương 1/10ml dung dịch, tại vị trí tiêm nổi vết sẩn đường kính 4-5mm
- Vị trí tiêm: vùng giữa 1/3 trên và 2/3 dưới, mặt ngoài chếch sau cánh tay trái, phía dưới vùng cơ Delta
Diễn biến: sau khoảng 3 đến 4 tuần tại chỗ tiêm sẽ có một nốt sưng nhỏ, rò dịch trong vài tuần rồi kín miệng đóng vảy. Khi vảy rụng sẽ để lại một sẹo nhỏ, màu trắng, có thể hơi lõm
Biến chứng tiêm BCG:
- Nốt loét to (đường kính 5- 8 mm) làm mủ và kéo dài, có thể dùng dung dịch isoniazid (INH) 1%, bột isoniazid (INH) hoặc rifampicin tại chỗ.
- Viêm hạch: tỷ lệ dưới 1%, thường xuất hiện trong 6 tháng sau tiêm, sưng hạch nách hoặc hạch thượng đòn cùng bên tiêm, hạch mềm, di động, sưng chậm và vỡ, có thể rò kéo dài trong vài tháng rồi lành tự nhiên. Khi hạch nhuyễn hóa có thể chích và rửa sạch, rắc bột Isoniazid (INH) hoặc Rifampicin tại chỗ. Không cần dùng thuốc chống lao đường lao toàn thân.
- Ở những trẻ phát triển thành bệnh BCG thì cần đánh giá tình trạng miễn dịch và điều trị thuốc lao hàng thứ nhất (trừ Pyrazinamid) và có thể điều trị phẫu thuật phối hợp.
2.2.2. Điều trị lao tiềm ẩn:
- Đối tượng:
+ Tất cả những người nhiễm HIV (người lớn) đã được sàng lọc hiện không mắc bệnh lao.
+ Trẻ em dưới 5 tuổi và trẻ 0-14 tuổi có HIV sống cùng nhà với người bệnh lao phổi, những trẻ này được xác định không mắc lao.
- Phác đồ:
+ Người lớn: Isoniazid (INH) liều dùng 300 mg/ngày, uống một lần hàng ngày trong 9 tháng, phối hợp Vitamin B6 liều lượng 25mg hàng ngày.
+ Trẻ em: Isoniazid (INH) liều dùng 10 mg/kg/ngày, uống một lần vào một giờ nhất định (thường uống trước bữa ăn 1 giờ), uống hàng ngày trong 6 tháng (tổng số 180 liều INH).
+ Phác đồ 3HP
|
Phác đồ |
Thời gian |
Đối tượng và Liều |
Tần suất |
Tổng liều |
|
3HP: Isoniazid (INH) và Rifapentine (RPT) |
3 tháng |
Người lớn và trẻ em trên 12 tuổi: INH: 15 mg/kg Tối đa: 900 mg/lần RPT: 10.0-14.0 kg 300 mg 14.1-25.0 kg 450 mg 25.1-32.0 kg 600 mg 32.1-49.9 kg 750 mg ≥50.0 kg tối đa 900 mg |
Một lần/tuần |
12 |
- Một số lưu ý với các đối tượng đặc biệt
+ Trẻ em :Không nên dùng phác đồ 3HP cho trẻ dưới 2 tuổi.
+ Người nhiễm HIV:
● Người nhiễm HIV đang điều trị ARV nên sử dụng phác đồ 9H.
● Người nhiễm HIV khỏe mạnh và không dùng ART có thể được xem xét sử dụng phác đồ 3HP (Rifampin chống chỉ định ở người nhiễm HIV đang điều trị ARV)
+ Phụ nữ mang thai và cho con bú:
● Ưu tiên sử dụng phác đồ 9H cho phụ nữ mang thai và cho con bú.
● Phác đồ 3HP chống chỉ định với phụ nữ mang thai và có ý định mang thai trong thời gian điều trị.
● Bổ sung thêm 10-25 mg/ngày pyridoxin (vitamin B6)
● Lượng INH qua sữa mẹ không đủ để điều trị lao tiềm ẩn cho trẻ sơ sinh.
● Có thể trì hoãn điều trị cho phụ nữ mang thai và mới sinh ( 2-3 tháng sau sinh) nếu không phải là người tiếp xúc gần gũi hoặc nhiễm HIV.
- Theo dõi đánh giá:
Đối với người lớn:
Cấp thuốc hàng tháng và đánh giá việc dùng thuốc ít nhất 01 tháng/lần. Nếu người bệnh bỏ trị, số liều bỏ trị ít hơn 50% tổng liều thì có thể bổ sung cho đủ. Nếu số liều bỏ quá 50% tổng liều thì nên bắt đầu điều trị từ đầu sau bỏ trị
Đối với trẻ em:
+ Tái khám 1lần/tháng. Khi tái khám phải cân trẻ, đánh giá sự tuân thủ điều trị và tìm dấu hiệu tác dụng ngoài ý muốn của thuốc lao như: vàng da, vàng mắt,…
+ Điều chỉnh liều điều trị theo cân nặng hàng tháng
+ Nếu trẻ xuất hiện các triệu chứng nghi lao trong khi đang điều trị lao tiềm ẩn, chuyển trẻ lên tuyến quận/huyện khám phát hiện bệnh lao. Nếu xác định trẻ không mắc lao, tiếp tục điều trị đủ liệu trình.
+ Nếu trẻ bỏ thuốc liên tục trên 2 tháng, muốn tiếp tục phải đăng ký điều trị lại từ đầu.
Đánh giá điều trị
- Hoàn thành điều trị:
● Phác đồ 6H: uống đủ 180 liều INH trong 6 tháng liên tục hoặc không quá 9 tháng tính từ lúc bắt đầu điều trị (trong đó không có lần nào bỏ điều trị quá 8 tuần).
● Phác đồ 9H: uống đủ 270 liều INH tính từ lúc bắt đầu điều trị (trong đó không có lần nào bỏ điều trị quá 8 tuần).
● Phác đồ 3HP: Hoàn thành 12 liều điều trị trong thời gian 3 tháng.
- Không hoàn thành điều trị:
● Phác đồ Isoniazid: Là những trường hợp bỏ uống thuốc quá 8 tuần, hoặc trong thời gian 9 tháng kẻ từ khi bắt đầu điều trị không uống đủ 180 liều INH (với phác đồ 6H) hoặc không uống đủ 270 liều INH (với phác đồ 9H)
● Phác đồ 3HP: Không uống đủ 12 liều trong thời gian 3 tháng
- Tiếp tục phác đồ hoặc điều trị lại từ đầu:
● Phác đồ Isoniazid: Tiếp tục phác đồ nếu bỏ thuốc dưới 8 tuần, người bệnh có nguyện vọng, được tiếp tục điều trị tiếp; điều trị lại từ đầu nếu người bệnh bỏ thuốc trên 8 tuần.
● Phác đồ 3HP: chưa có khuyến cáo liên quan.
- Tác dụng phụ:
+ Nhẹ: viêm thần kinh ngoại vi. Xử lí bằng vitamin B6 liều lượng 100mg/ngày.
+ Nặng: tổn thương gan (vàng da, chán ăn, men gan tăng cao). Xử trí: ngưng INH và chuyển đến các cơ sở y tế để điều trị.
3. THỰC HIỆN PHÒNG LÂY NHIỄM TRONG CƠ SỞ Y TẾ
Các cơ sở y tế phải thực hiện đầy đủ Quy chế kiểm soát nhiễm khuẩn bệnh viện và Hướng dẫn kiểm soát lây nhiễm lao tại các cơ sở y tế
- Lãnh đạo cần quan tâm, có kế hoạch, quy trình và phân công người phụ trách dự phòng lây nhiễm lao tại đơn vị. Cần đầu tư thích hợp các điều kiện cần thiết phục vụ kế hoạch và quy trình dự phòng lây nhiễm cho nhân viên y tế và cho người bệnh tại đơn vị.
- Kế hoạch và quy trình cần được phổ biến rộng rãi cho nhân viên từ các bước quản lý người bệnh, lấy bệnh phẩm, tuân thủ quy trình vệ sinh và phải được công khai dưới dạng bảng biểu, biển báo dễ thấy, dễ thực hiện và khuyến khích mọi nhân viên tham gia kiểm tra giám sát, góp ý.
- Định kỳ, người phụ trách dự phòng lây nhiễm báo cáo với lãnh đạo về thực hiện kế hoạch và tham mưu về các điểm cần thực hiện để cải thiện chất lượng công tác dự phòng lây nhiễm trong đơn vị.
4. DỰ PHÒNG LÂY NHIỄM Ở HỘ GIA ĐÌNH
- Người bệnh phải tuân thủ điều trị lao theo đúng hướng dẫn của thầy thuốc để đạt hiệu quả điều trị, tránh nguy cơ lây nhiễm (đặc biệt là khi còn ho khạc ra vi khuẩn lao, có xét nghiệm đờm AFB dương tính).
- Tránh lây nhiễm lao cho người xung quanh:
+ Dùng khẩu trang hoặc ít nhất có khăn che miệng khi tiếp xúc nói chuyện với người khác, khi hắt hơi, ho.
+ Không khạc nhổ bừa bãi, khạc đờm vào khăn giấy rồi đốt, rửa tay xà phòng thường xuyên.
- Đảm bảo vệ sinh môi trường nơi ở của người bệnh: thông khí tự nhiên (cửa ra vào, cửa sổ, ô thoáng), có ánh nắng.
- Thường xuyên phơi nắng đồ dùng cá nhân, chiếu, chăn, màn.
PHỤ LỤC
PHỤ LỤC 1
HƯỚNG DẪN LẤY ĐỜM LÀM XÉT NGHIỆM

1. Hít vào thật sâu
2. Thở ra thật mạnh
3. Hít vào thật sâu, thở ra thật mạnh (lần 2)
4. Hít sâu, thở mạnh lần 3, ho khạc thật sâu từ trong phổi
5. Đặt cốc đờm (đã mở nắp) vào sát miệng, nhổ đờm vào đáy cốc. Vặn chặt nắp.
6. Nộp cốc đờm và phiếu xét nghiệm cho người hướng dẫn (NVYT). Không đặt cốc đờm lên phiếu xét nghiệm.


Lưu ý: Nếu lượng đờm quá ít (< 2ml) và không có chất nhày mủ, làm lại các bước trên để có mẫu đờm đạt chất lượng.
PHỤ LỤC 2
SƠ ĐỒ QUY TRÌNH CHẨN ĐOÁN LAO PHỔI AFB(-)

Lưu ý: Điều trị thử bằng kháng sinh phổ rộng khi các triệu chứng nghi lao (ho khạc đờm kéo dài, sốt thất thường…) còn tồn tại. Không sử dụng nhóm Fluoquinolone vì nhóm thuốc này có tác dụng với vi khuẩn lao do vậy không phân biệt được giữa viêm do lao hay vi khuẩn khác. Nếu đã quyết định điều trị lao cần điều trị hết công thức và đủ thời gian tuân thủ nguyên tắc có kiểm soát trực tiếp.
PHỤ LỤC 3
Phụ lục 3.1. Sơ đồ chẩn đoán lao kháng thuốc
Sơ đồ 3.1.1 Sơ đồ chẩn đoán kháng thuốc theo các nhóm nguy cơ

Lưu ý sơ đồ 3.1.1:
(1*) Một số bệnh phẩm ngoài phổi chưa có chỉ định Xpert, có thể chỉ định kháng sinh đồ
(2*) Chỉ định điều trị theo phác đồ lao vi khuẩn nhạy cảm với thuốc (phác đồ A hoặc B theo vị trí tổn thương ).
Có thể làm KSĐ với thuốc lao hàng 1 nếu người bệnh thuộc nhóm tái phát, thất bại hoặc không âm hóa nhưng kết quả Xpert không kháng R
(3*) Chỉ định điều trị đa kháng, ưu tiên phác đồ ngắn hạn (9 tháng) nếu đủ tiêu chuẩn.
(4*) Lưu ý trên NB đang điều trị lao (không âm hóa, thất bại), tuy nhiên kết quả Xpert lại cho thấy không mắc lao. Cần hội chẩn và kiểm tra chất lượng mẫu đờm để loại trừ vi khuẩn Mycobacteria không lao (NTM). Nếu kết quả hội chẩn khẳng định không mắc lao, có thể làm nuôi cấy, định danh NTM
Một số trường hợp có kết quả MTB (-), tuy nhiên căn cứ vào các triệu chứng lâm sàng, XQ cũng không loại trừ bệnh lao (không có bằng chứng vi khuẩn)
(5*) Ưu tiên sử dụng Hain test hàng 2 để chẩn đoán nhanh tiền/siêu kháng. KSĐ truyền thống chỉ sử dụng để thực hiện cho các trường hợp cần khẳng định lại kết quả Hain 2 (vẫn nghi ngờ có kháng thuốc lao hàng hai khi kết quả Hain vẫn nhạy).
Đối với người bệnh tái phát hoặc thất bại phác đồ lao nhạy cảm, ngay sau khi chẩn đoán kháng R nếu được thu nhận vào phác đồ chuẩn ngắn hạn có thể chỉ định xét nghiệm KSĐ hàng 1 và Hain test hàng 1 để biết thêm thông tin kháng thuốc khi thu nhận người bệnh vào phác đồ này.
Đối với người bệnh tái phát hoặc thất bại phác đồ lao nhạy cảm, ngay sau khi chẩn đoán kháng R nếu được thu nhận vào phác đồ bán chuẩn dài hạn mà có chỉ định dùng thêm Z, cần xét nghiệm KSĐ với Z để biết thêm thông tin kháng thuốc khi thu nhận người bệnh vào phác đồ này.
Trường hợp người bệnh thất bại phác đồ đa kháng, ngoài chỉ định Hain test hàng hai và kháng sinh đồ hàng 2, có thể chỉ định thêm Hain test hàng 1 và KSĐ hàng 1 để có thêm lựa chọn thuốc cho người bệnh
(6*) Chỉ định điều trị tiền, siêu kháng (phác đồ cá nhân)
Sơ đồ 3.1.2. Hướng dẫn đối với kết quả “vết” trong thực hiện Xpert MTB/RIF Ultra

Giải thích sơ đồ 3.1.2.
1. MTB có vết, không cung cấp thông tin về nhạy hay kháng RIF
2. Người bệnh có thể dương tính với HIV hoặc chưa rõ về tình trạng HIV nhưng có bằng chứng lâm sàng rõ ràng về nhiễm HIV tại nơi có tỷ lệ cao nhiễm HIV hoặc trong nhóm người nguy cơ cao nhiễm HIV. Đối với đối tượng chưa nắm rõ tình trạng HIV thì cần thực hiện XN HIV theo hướng dẫn quốc gia.
3.1. Nếu người bệnh thuộc nhóm có nguy cơ cao kháng thuốc, trước tiên cần tiến hành hội chẩn để xem xét chỉ định điều trị. Việc quyết định có điều trị hay không cần căn cứ vào triệu chứng lâm sàng, tiền sử tiếp xúc với người bệnh lao kháng thuốc, dấu hiệu XQ và các dấu hiệu cận lâm sàng khác hướng tới mắc lao. Trường hợp người bệnh được chỉ định điều tri, cần sử dụng phác đồ lao kháng thuốc, sau đó điều chỉnh phác đồ căn cứ vào kết quả Xpert Ultra lần 2 và/hoặc kháng sinh đồ. Các nhóm nguy cơ cao kháng thuốc bao gồm:
a. Người tiếp xúc với NB lao đa kháng,
b. NB thất bại điều trị phác đồ lao nhạy cảm, phác đồ không kháng R
3.2. Nếu người bệnh không thuộc nhóm nguy cơ cao kháng thuốc, cần tiến hành hội chẩn để quyết định có nên điều trị hay không. Việc quyết định điều trị căn cứ vào triệu chứng lâm sàng, tiền sử tiếp xúc với người bệnh lao nhạy cảm, dấu hiệu XQ và các dấu hiệu cận lâm sàng khác hướng tới mắc lao. Trường hợp người bệnh được chỉ định điều tri, cần sử dụng phác đồ lao nhạy cảm, sau đó điều chỉnh phác đồ căn cứ vào kết quả Xpert Ultra lần 2 và/hoặc kháng sinh đồ.
4. Với người lớn đã điều trị lao thành công trong 2 năm gần đây, cả 2 lần xét nghiệm có thể có kết quả vết do còn xác vi khuẩn lao. Quyết định điều trị cần dựa trên triệu chứng lâm sàng X-quang, đáp ứng với điều trị thử bằng kháng sinh phổ rộng, có thể nuôi cấy, làm kháng sinh đồ với thuốc lao hàng 1.
5. Quyết định điều trị cần dựa trên triệu chứng lâm sàng X-quang, đáp ứng với điều trị thử bằng kháng sinh phổ rộng, có thể nuôi cấy, làm kháng sinh đồ với thuốc lao hàng 1.
Phụ lục 3.2: Sơ đồ điều trị

Sơ đồ 3.2.2. Sơ đồ điều trị lao kháng thuốc

PHỤ LỤC 4
SƠ ĐỒ QUY TRÌNH CHẨN ĐOÁN LAO PHỔI Ở NGƯỜI HIV(+) KHÔNG CÓ DẤU HIỆU NẶNG

Chú thích:
a Người bệnh đến không có dấu hiệu nặng (tự đi lại được, không khó thở, không sốt cao, mạch dưới 120/phút).
b Lao phổi AFB(+) khi có ít nhất một lần dương tính,
c AFB âm tính khi có ≥ 2 mẫu đờm AFB(-).
d CPT: Điều trị dự phòng bằng Cotrimoxazol.
e Đánh giá HIV bao gồm: phân loại lâm sàng, xét nghiệm đếm CD4 và xem xét điều trị HIV/AIDS (bao gồm cả ART).
f Chỉ một số nơi có điều kiện nuôi cấy. Phim chụp X-quang đã sẵn có từ lần khám đầu tiên, nếu có phim chụp các lần trước đây để so sánh càng tốt. Người bệnh được đánh giá kỹ về lâm sàng và X-quang phổi để chẩn đoán xác định hoặc loại trừ.
g Kháng sinh phổ rộng (trừ nhóm Quinolon)
h PCP: Viêm phổi do Pneumocystis carinii còn gọi là Pneumocystis jiroveci
i Đánh giá lại theo quy trình nếu triệu chứng tái xuất hiện.
PHỤ LỤC 5
SƠ ĐỒ QUY TRÌNH CHẨN ĐOÁN LAO PHỔI Ở NGƯỜI HIV (+) CÓ DẤU HIỆU NẶNG

Chú thích:
a Dấu hiệu nguy hiểm bao gồm một trong các dấu hiệu sau: nhịp thở >30/phút, sốt >39°C, mạch >120/phút và không tự đi lại được.
b Kháng sinh phổ rộng trừ nhóm Quinolon.
c Các xét nghiệm này cần được thực hiện sớm để tăng tốc độ chẩn đoán.
d AFB dương tính được xác định khi có ít nhất một lần dương tính, AFB âm tính - khi có 2 hay nhiều hơn các mẫu AFB âm tính.
e Lượng giá lại lao bao gồm xét nghiệm AFB và lượng giá lâm sàng.
PHỤ LỤC 6
SƠ ĐỒ HƯỚNG DẪN QUY TRÌNH CHẨN ĐOÁN LAO PHỔI TRẺ EM

(*) Không dùng thuốc chống lao và kháng sinh nhóm fluoquinolon
PHỤ LỤC 7
SƠ ĐỒ HƯỚNG DẪN QUY TRÌNH CHẨN ĐOÁN LAO NGOÀI PHỔI Ở TRẺ EM

* Không dùng thuốc chống lao và kháng sinh nhóm fluoquinolon
PHỤ LỤC 8
LIỀU LƯỢNG THUỐC CHỐNG LAO
Bảng 1. Liều lượng các thuốc chống lao theo cân nặng
|
Loại Thuốc |
Hàng ngày cho người lớn |
Hàng ngày cho trẻ em (*) |
|
Liều lượng (khoảng cách liều) tính theo mg/kg cân nặng |
Liều lượng (khoảng cách liều) tính theo mg/kg cân nặng |
|
|
Isoniazid |
5 (4-6) Tối đa 300mg |
10 (10-15) Tối đa 300mg |
|
Rifampicin |
10 (8-12) |
15 (10-20) |
|
Pyrazinamid |
25 (20-30) |
35 (30-40) |
|
Ethambutol |
15 (15-20) |
20 (15-25) |
|
Streptomycin |
15 (12-18) |
|
(*) Trẻ em có cân nặng từ 25kg trở lên dùng thuốc theo thang cân nặng của người lớn
Bảng 2. Số lượng viên, lọ thuốc đơn lẻ dùng hàng ngày cho người lớn theo cân nặng
|
|
Cân nặng của người bệnh (kg) |
|||
|
25-39 |
40-54 |
55-70 |
>70 |
|
|
Giai đoạn tấn công hàng ngày Số lượng viên hoặc lọ |
||||
|
H 100 mg (viên) |
2 |
3 |
3 |
3 |
|
R 150 mg (viên) |
2 |
3 |
4 |
5 |
|
Z 400 mg (viên) |
2 |
3 |
4 |
5 |
|
E 400 mg (viên) |
2 |
2 |
3 |
4 |
|
S 1g (lọ) |
0,5 |
0,75 |
1 |
1 |
|
Giai đoạn duy trì hàng ngày |
||||
|
H 100mg (viên) |
2 |
3 |
3 |
3 |
|
R 150 mg (viên) |
2 |
3 |
4 |
5 |
|
E 400 mg(viên) |
2 |
2 |
3 |
4 |
|
Giai đoạn duy trì tuần 3 lần |
||||
|
H 300 mg(viên) |
1 |
2 |
2 |
3 |
|
R 150 mg(viên) |
2 |
3 |
4 |
5 |
|
E 400mg(viên) |
2 |
4 |
6 |
6 |
Bảng 3. Số viên hỗn hợp liều cố định dùng hàng ngày cho người lớn theo cân nặng
|
Thuốc hỗn hợp liều cố định |
Cân nặng (kg) |
|||
|
25-39 kg |
40-54 kg |
55-70 kg |
>70 kg |
|
|
Giai đoạn tấn công hàng ngày |
Số viên |
|||
|
HRZE (viên) (75mg+150mg+400mg+275mg) HRZ (viên) (75mg+150mg+400mg) |
2
2 |
3
3 |
4
4 |
5
5 |
|
Giai đoạn duy trì hàng ngày |
|
|||
|
HR (75mg+150mg), viên HE (150mg + 400mg), viên |
2 1,5 |
3 2 |
4 3 |
5 3 |
|
Giai đoạn duy trì - tuần 3 lần |
|
|||
|
HR (150mg + 100mg) (viên) HR (150mg + 150mg) (viên) |
2 |
3 |
4 |
5 |
Bảng số 4. Liều lượng thuốc lao cho trẻ em - Thuốc lao thân thiện
|
Khoảng cân nặng |
Số lượng viên |
||
|
Giai đoạn tấn công |
Giai đoạn duy trì |
||
|
RHZ (75/50/150) |
E (100) |
RH (75/50) |
|
|
4 - 7 kg |
1 |
1 |
1 |
|
8 - 11 kg |
2 |
2 |
2 |
|
12- 15 kg |
3 |
3 |
3 |
|
16 - 24 kg |
4 |
4 |
4 |
|
Trẻ em ≥ 25 kg |
Dùng thuốc theo khoảng cân nặng như ở người lớn |
||
Bảng 5.1. Liều dùng theo cân nặng của các thuốc chống lao hàng 2 ở người lớn (TCYTTG 2019)
|
Nhóm |
Thuốc |
Liều hàng ngày theo cân nặng |
Hàm lượng |
Liều dùng (viên) theo cân nặng cho bệnh nhân trên 14 tuổi |
Liều tối đa/ngày |
Ghi chú |
||||
|
30-35 kg |
36-45 kg |
46-55 kg |
56-70 kg |
>70 kg |
||||||
|
A |
Levofloxacin |
|
Viên 250 mg |
3 |
3 |
4 |
4 |
4 |
|
|
|
Moxifloxacin |
Liều thông thường |
Viên 400 mg |
1 |
1 |
1 |
1 |
1 |
400 mg |
|
|
|
Liều cao |
Viên 400 mg |
1 hoặc 1,5 |
1,5 |
1,5 hoặc 2 |
2 |
2 |
800 mg |
|
||
|
Bedaquiline |
|
Viên 100 mg |
4 viên/ngày x 7 ngày/tuần trong 2 tuần đầu 2 viên/ngày x 3 ngày/tuần trong các tuần tiếp |
400 mg |
|
|||||
|
Linezolid |
|
Viên 600 mg |
Xem <15t |
Xem <15t |
1 |
1 |
1 |
1,2 g |
|
|
|
B |
Clofazimine |
|
Viên 100 mg |
1 |
1 |
1 |
1 |
1 |
100 mg |
|
|
Cycloserine |
10 - 15 mg/kg |
Viên 250 mg |
2 |
2 |
3 |
3 |
3 |
1 g |
|
|
|
C |
Ethambutol |
15 - 25 mg/kg |
Viên 400 mg |
2 |
2 |
3 |
3 |
3 |
|
|
|
Delamanid |
|
Viên 50 mg |
2 viên/lần x 2 lần/ngày |
2 viên/lần x 2 lần/ngày |
2 viên/lần x 2 lần/ngày |
2 viên/lần x 2 lần/ngày |
2 viên/lần x 2 lần/ngày |
200 mg |
|
|
|
Pyrazinamide |
20 - 30 mg/kg |
Viên 500 mg |
2 |
3 |
3 |
3 |
4 |
|
|
|
|
Imipenem- cilastatin |
|
Ống 0,5g - 0,5g |
2 ống (1g - 1g)/lần x 2 lần/ngày |
|
Sử dụng cùng clavulanic acid |
|||||
|
Meropenem |
|
Ống 1 g |
1 ống x 3 lần/ngày hoặc 2 ống x 2 lần/ngày |
|
||||||
|
Amikacin |
15 - 20 mg/kg |
Ống 500mg/2ml |
2,5 ml |
3 ml |
3 - 4 ml |
4 ml |
4 ml |
1 g |
|
|
|
Streptomycin |
12 - 18 mg/kg |
Ống 1 g |
Tính toán dựa theo mức độ pha loãng thuốc |
1 g |
|
|||||
|
Prothionamide |
15 - 20 mg/kg |
Viên 250 mg |
2 |
2 |
3 |
3 |
4 |
1 g |
|
|
|
p-aminosalicylic acid |
8 - 12 g/ngày chia thành 2 -3 liều |
Gói muối PAS 4 g |
1 gói x 2 lần/ngày |
1 gói x 2 lần/ngày |
1 gói x 2 lần/ngày |
1 gói x 2 lần/ngày |
1-1,5 gói x 2 lần/ngày |
12 g |
|
|
|
Các thuốc khác |
Isoniazid liều cao |
10 - 15 mg/kg |
Viên 300 mg |
1,5 |
1,5 |
2 |
2 |
2 |
|
Sử dụng với Pyridoxine ở người có nguy cơ (HIV, suy dinh dưỡng) |
|
Acid clavulanic |
|
Viên 125 mg |
1 v/l x 2 lần/ngày |
1 v/l x 2 lần/ngày |
1 v/l x 2 lần/ngày |
1 v/l x 2 lần/ngày |
1 v/l x 2 lần/ngày |
|
Chỉ sử dụng với thuốc nhóm carbapenems |
|
|
Kanamycin |
15 - 20 mg/kg |
Ống 500mg/2ml |
2 - 2,5 ml |
2,5 - 3 ml |
3 - 4 ml |
4 ml |
4 ml |
1 g |
|
|
|
Capreomycin |
15 - 20 mg/kg |
Ống 500mg/2ml |
2,5 ml |
3 ml |
3 - 4 ml |
4 ml |
4 ml |
1 g |
|
|
Lưu ý: Liều các thuốc tiêm hàng 2 ở bệnh nhân trên 59 tuổi: 10mg/kg 1 lần/ngày, tối đa 750mg/ngày, dùng hàng ngày HOẶC 15mg/kg/ngày, dùng cách nhật.
Bảng 5.2. Liều dùng theo cân nặng của các thuốc chống lao hàng 2 ở trẻ em (TCYTTG 2019)
|
Nhóm |
Thuốc |
Liều hàng ngày theo cân nặng |
Hàm lượng |
Liều dùng (viên) theo cân nặng cho bệnh nhân dưới 15 tuổi |
Liều tối đa/ngày |
||||||
|
5 - 6 kg |
7 - 9 kg |
10 - 15 kg |
16 - 23 kg |
24 - 30 kg |
31 - 34 kg |
> 34 kg |
|||||
|
A |
Levofloxacin |
15 - 20 mg |
Viên 100 mg |
1 |
1,5 |
2 hoặc 3 |
3 hoặc 4 |
|
|
|
1,5 g |
|
|
Viên 250 mg |
0,5 |
0,5 |
1 hoặc 1,5 |
1,5 hoặc 2 |
2 |
3 |
|
1,5 g |
||
|
Moxifloxacin |
10 - 15 mg/kg |
Viên 100 mg |
0,8 |
1,5 |
2 |
3 |
4 |
|
|
400 mg |
|
|
Viên 400 mg |
|
|
|
0,5 hoặc 0,75 |
1 |
|
|
400 mg |
|||
|
Bedaquiline |
|
Viên 100 mg |
|
|
|
2 viên/ngày x 7 ngày/tuần trong 2 tuần đầu 1 viên/ngày x 3 ngày/tuần trong các tuần tiếp |
4 viên/ngày x 7 ngày/tuần trong 2 tuần 2 viên/ngày x 3 ngày/tuần trong các tuần tiếp |
|
|||
|
Linezolid |
15 mg/kg hàng ngày (<16kg) 10-12 mg/kg/ngày (>15kg) |
20 mg/ml |
4 ml |
6 ml |
8 ml |
11 ml |
14 ml |
15 ml |
20 ml |
600 mg |
|
|
Viên 600 mg |
0,25 |
0,25 |
0,25 |
0,5 |
0,5 |
0,5 |
0,75 |
||||
|
B |
Clofazimine |
2 - 5 mg/kg |
Viên 50 mg |
1 viên/ngày cách nhật liên tiếp (*) |
1 viên/ngày cách nhật liên tiếp (*) |
1 viên/ngày cách nhật liên tiếp (*) |
1 |
2 |
2 |
Xem >14t |
100 mg |
|
Viên 100 mg |
1 viên/ngày cách nhật liên tiếp (*) |
1 viên/ngày cách nhật liên tiếp (*) |
1 viên/ngày cách nhật (**) |
1 viên/ngày cách nhật (**) |
1 |
Xem >14t |
Xem >14t |
100 mg |
|||
|
Cycloserine |
12 - 20 mg/kg |
Viên 125 mg |
1 |
1 |
2 |
3 |
4 |
Xem >14t |
Xem >14t |
1 g |
|
|
|
Viên 250 mg |
4 - 5 ml |
5 - 6 ml |
7 - 10 ml |
2 |
2 |
2 |
Xem >14t |
1 g |
||
|
C |
Ethambutol |
15 - 25 mg/kg |
Viên 100 mg |
1 |
2 |
3 |
4 |
- |
- |
Xem >14t |
- |
|
|
Viên 400 mg |
3 ml |
4 ml |
6 ml |
1 |
1 hoặc 1,5 |
2 |
Xem >14t |
|
||
|
Delamanid |
|
Viên 50 mg |
- |
- |
- |
- |
1 viên/lần x 2 lần/ngày |
1 viên/lần x 2 lần/ngày |
2 viên/lần x 2 lần/ngày |
200 mg |
|
|
Pyrazinamide |
30 - 40 mg/kg |
Viên 150 mg |
1 |
2 |
3 |
4 hoặc 5 |
- |
- |
Xem >14t |
- |
|
|
|
Viên 500 mg |
0,5 |
0,5 |
0,75 hoặc 1 |
1,5 |
2 |
2,5 |
Xem >14t |
|
||
|
Imipenem- cilastatin |
- |
Ống 0,5g - 0,5g |
Không sử dụng cho trẻ em dưới 15 tuổi |
||||||||
|
Meropenem |
20 - 40 mg/kg tiêm TM trong mỗi 8 giờ |
Ống 1 g (20ml) |
2 ml |
4 ml |
6 ml |
8 - 9 ml |
11 ml |
Xem >14t |
Xem >14t |
- |
|
|
Amikacin |
15 - 20 mg/kg |
Ống 500mg/2ml |
0,4 ml |
0,6 ml |
0,8 - 1 ml |
1,2 - 1,5 ml |
2 ml |
Xem >14t |
Xem >14t |
1 g |
|
|
Streptomycin |
20 - 40 mg/kg |
Ống 1 g |
Tính toán dựa theo mức độ pha loãng thuốc |
Xem >14t |
Xem >14t |
1 g |
|||||
|
Prothionamide |
15 - 20 mg/kg |
Viên 250 mg |
0,5 |
0,5 |
1 |
2 |
2 |
2 |
Xem >14t |
1 g |
|
|
p- aminosalicylic acid |
200 - 300 mg/kg chia thành 2 liều |
Gói muối PAS 4 g |
0,5-0,75g x 2 lần/ngày |
0,75 - 1 g x 2 lần/ngày |
1 - 2 g x 2 lần/ngày |
2- 3 g x 2 lần/ngày |
3 - 3,5 g x |
Xem >14t 2 lần/ngày |
Xem |
- |
|
|
Các thuốc khác |
Isoniazid |
15 - 20 mg/kg (liều cao) |
50 mg/ml dung dịch |
8 - 10 ml |
15 ml |
20 ml |
- |
- |
- |
- |
|
|
|
Viên 100 mg |
1 |
1,5 |
2 |
3 |
4 |
4 |
Xem >14t |
|
||
|
Acid clavulanic |
|
250 mg amoxicillin/62,5 mg acid clvulanic trong 5ml dung dịch |
2 ml/lần x 2 lần/ngày |
3 ml/lần x 2 lần/ngày |
5ml/lần x 2 lần/ngày |
8 ml/lần x 2 lần/ngày |
10 ml/lần x 2 lần/ngày |
Xem >14t |
Xem >14t |
|
|
|
Kanamycin |
15 - 20 mg/kg |
Ống 500mg/2ml |
0,4 ml |
0,6 ml |
0,8 - 1 ml |
1,2 - 1,5 ml |
2 ml |
Xem >14t |
Xem >14t |
1 g |
|
|
Capreomycin |
15 - 20 mg/kg |
Ống 500mg/2ml |
0,4 ml |
0,6 ml |
0,8 - 1 ml |
1,2 - 1,5 ml |
2 ml |
Xem >14t |
Xem >14t |
1 g |
|
Chú thích:
(*) cách nhật liên tiếp: dùng thuốc cách ngày kể cả chủ nhật: thứ 2 - thứ 4 - thứ 6 - chủ nhật - thứ 3 - thứ 5 - thứ 7 - thứ 2 ….
(**) cách nhật: dùng thuốc 3 lần/tuần theo ngày cố định: 2/4/6 hoặc 3/5/7
(***) Một số thuốc dành cho trẻ em ở dạng viên có khả năng tan trong nước (dispersible tablet) để thuận tiện và dễ dàng hơn khi cho trẻ khi uống thuốc.
Liều dùng các thuốc chống lao ở trẻ em
|
Isoniazid liều thông thường (7-15 mg/kg cho trẻ dưới 30 kg; liều tối đa 300mg/ngày) |
|||
|
Cân nặng (kg) |
50mg/5ml dung dịch uống |
Viên 100mg |
Viên 300mg |
|
5 |
5 ml |
0,5 viên |
- |
|
6 |
6 ml |
1 viên |
- |
|
7 |
7 ml |
1 viên |
- |
|
8 |
8 ml |
1 viên |
- |
|
9 |
9 ml |
1 viên |
- |
|
10 |
10 ml |
1,5 viên |
- |
|
11 |
11 ml |
1,5 viên |
- |
|
12 |
12 ml |
1,5 viên |
- |
|
13 |
13 ml |
2 viên |
- |
|
14 |
14 ml |
2 viên |
- |
|
15 |
15 ml |
2 viên |
- |
|
16 - 20 |
|
2 viên |
- |
|
21 - 30 |
|
|
1 viên |
|
Rifampicin (10-20 mg/kg cho trẻ dưới 30 kg; liều tối đa 600mg/ngày) |
|||
|
Cân nặng (kg) |
100mg/5ml dung dịch uống |
Viên 150 mg |
Viên 300mg |
|
5 |
4 ml |
0,5 viên |
- |
|
6 |
5 ml |
0,5 viên |
- |
|
7 |
5 ml |
0,5 viên |
- |
|
8 |
6 ml |
1 viên |
- |
|
9 |
7 ml |
1 viên |
- |
|
10 |
8 ml |
1 viên |
- |
|
11 |
9 ml |
1 viên |
- |
|
12 |
10 ml |
1 viên |
- |
|
13 |
10 ml |
1,5viên |
- |
|
14 |
11 ml |
1,5 viên |
- |
|
15 |
12 ml |
1,5 viên |
- |
|
16 - 30 |
|
|
1 viên |
|
Ethambutol (15-25 mg/kg cho trẻ dưới 30 kg; liều tối đa 1200 mg/ngày) |
||
|
Cân nặng (kg) |
Viên 100 mg |
Viên 400 mg |
|
5 - 7 |
1 viên |
|
|
8 - 13 |
2viên |
|
|
14 - 17 |
3viên |
|
|
18 - 26 |
|
1 viên |
|
27 - 30 |
|
1,5viên |
|
Pyrazinamid (30-40 mg/kg cho trẻ dưới 30 kg; liều tối đa 2000 mg/ngày) |
|
|
Cân nặng (kg) |
Viên 500mg |
|
5 - 6 |
0,25viên |
|
7 - 9 |
0,5 viên |
|
10 - 11 |
0,75viên |
|
12 - 18 |
1 viên |
|
19 - 25 |
1,5viên |
|
26 - 30 |
2 viên |
PHỤ LỤC 9
PHÂN LOẠI MỨC ĐỘ NGHIÊM TRỌNG VÀ HƯỚNG XỬ TRÍ TÁC DỤNG KHÔNG MONG MUỐN CỦA THUỐC LAO
|
ADR |
Thông số cận lâm sàng |
Mức độ 1 (nhẹ) Các biểu hiện thoáng qua hoặc nhẹ, hoạt động của người bệnh không bị hạn chế, không đòi hỏi phải can thiệp hoặc điều trị bằng thuốc |
Mức độ 2 (vừa) Hoạt động của người bệnh có bị hạn chế từ nhẹ đến trung bình, có thể cần đến một vài sự trợ giúp, không yêu cầu can thiệp điều trị, hoặc can thiệp và điều trị ở mức tối thiểu |
Mức độ 3 (nặng) Hoạt động của người bệnh bị hạn chế đáng kể, thường cần đến sự trợ giúp, đòi hỏi can thiệp hoặc điều trị bằng thuốc, có thể phải nhập viện |
Mức độ 4 (nặng đe tính mạng) Giới hạn hoạt động của người bệnh rất nghiêm trọng, có sự hỗ trợ đáng kể can thiệp y tế / liệu pháp điều trị đáng kể, yêu cầu phải nhập viện hoặc điều trị cấp cứu, tích cực. |
|
Giảm tiểu cầu, thiếu máu tán huyết, giảm bạch cầu, rối loạn đông máu |
Hgb |
80-94 g/l |
70-79 g/l |
65-69g/l |
<65 g/l |
|
Giảm tiểu cầu |
100.000 -124.999/mm |
50.000 -99.999/mm |
25.000 -49.999/mm |
< 25.000/mm |
|
|
Giảm bạch cầu |
2.000 -2.500/mm |
1.500 - 1.999/mm |
1.000 - 1.400/mm |
<1.000/mm |
|
|
Giảm fibrinogen |
1 -2 g/l |
0,75 - 0,99 g/l |
0,5 - 0,74 g/l |
< 0,5g/l |
|
|
Giảm Prothrombin (PT) |
1,1 - 1,25 lần bình thường |
1,26- 1,5 lần bình thường |
1,51 - 3,0 lần bình thường |
>3,0 lần bình thường |
|
|
Tăng AST |
AST (SGOT) |
1,25-2,5 lần giới hạn bình thường |
>2,5-5,0 lần giới hạn bình thường |
>5,0-10,0 lần giới hạn bình thường |
>10,0 lần giới hạn bình thường |
|
Tăng ALT |
ALT (SGPT) |
1,25-2,5 lần giới hạn bình thường |
>2,5-5,0 lần giới hạn bình thường |
>5,0-10,0 lần giới hạn bình thường |
>10,0 lần giới hạn bình thường |
|
Tăng GGT |
GGT |
1,25-2,5 lần giới hạn bình thường |
>2,5-5,0 lần giới hạn bình thường |
>5,0-10,0 lần giới hạn bình thường |
>10,0 lần giới hạn bình thường |
|
Tăng bilirubin huyết thanh |
Bilirubin |
>1,0-1,5 lần giới hạn bình thường |
>1,5-2,5 lần giới hạn bình thường |
>2,5-5 lần giới hạn bình thường |
>5,0 lần giới hạn bình thường |
|
Tăng creatini ne |
Creatinine |
>1,0-1,5 lần giới hạn bình thường |
>1,5-3,0 lần giới hạn bình thường |
>3,0-6,0 lần giới hạn bình thường |
>6,0 lần giới hạn bình thường |
|
Hạ Kali máu |
Kali |
3,0-3,4 meq/l hoặc 3,0-3,4 mmol/l |
2,5-2,9 meq/l hoặc 2,5-2,9 mmol/l |
2,0-2,4 meq/l hoặc 2,0-2,4 mmol/l |
<2,0 meq/l hoặc <2,0 mmol/l |
|
Tiêu hóa |
Buồn nôn |
Nhẹ hoặc thoáng qua, duy trì lượng nước vào hợp lý |
Khó chịu vừa phải, lượng nước vào giảm đáng kể, hạn chế một số hoạt động |
Lượng nước đầu vào không đáng kể, yêu cầu truyền dịch tĩnh mạch |
Yêu cầu nhập viện |
|
Nôn |
1 lần trong 24h |
2-5 lần trong 24h |
>6 lần trong 24h hoặc cần truyền dịch tĩnh mạch |
Hậu quả sinh lý yêu cầu nhập viện hoặc yêu cầu dinh dưỡng ngoài ruột |
|
|
Tiêu chảy |
Nhẹ hoặc thoáng qua: 3-4 lần, phân lỏng/ngày hoặc tiêu chảy nhẹ kéo dài < 1 tuần |
Vừa phải hoặc dai dẳng: 5-7 lần, phân lỏng/ngày hoặc tiêu chảy kéo dài trên 1 tuần |
>7 lần, phân lỏng/ngày hoặc tiêu chảy máu hoặc hạ huyết áp tư thế hoặc mất cân bằng điện giải hoặc yêu cầu truyền dịch tĩnh mạch > 2 lần |
Sốc hạ huyết áp hoặc hậu quả sinh lý, yêu cầu nhập viện |
|
|
Tâm thần |
Bệnh tâm thần |
Lo âu nhẹ hoặc trầm cảm |
Lo âu vừa phải hoặc trầm cảm, yêu cầu điều trị, thay đổi trong sinh hoạt bình thường |
Thay đổi tâm trạng nặng, yêu cầu điều trị, hoặc ý định tự tử, ý định gây gổ |
Rối loạn tâm thần cấp tính, yêu cầu nhập viện, hoặc cử chỉ/cố gắng tự tử hoặc ảo giác |
|
Xương khớp |
Đau khớp |
Đau nhẹ không gây ảnh hưởng tới chức năng |
Đau vừa phải, mất cảm giác và/hoặc đau ảnh hưởng tới chức năng nhưng không ảnh hưởng tới hoạt động sống thường ngày |
Đau nặng, đau và/hoặc mất cảm giác làm ảnh hưởng tới hoặt động sống thường ngày |
Đau không làm gì được |
|
Viêm khớp chức năng |
Đau nhẹ với viêm, ban đỏ hoặc sưng khớp nhưng không ảnh hưởng tới chức năng |
Đau vừa phải với viêm, ban đỏ hoặc sưng khớp, ảnh hưởng tới chức năng nhưng không ảnh hưởng tới hoạt động sống thường ngày |
Đau nặng với viêm, ban đỏ hoặc sưng khớp, ảnh hưởng tới hoạt động sống thường ngày |
Cứng và/hoặc mất khả năng vận động khớp. |
|
|
Phản ứng dị ứng |
Phản ứng của da- nổi ban |
Ban chấm khu trú |
Ban chấm, nốt sẩn rải rác hoặc ban dạng sởi |
Ban chấm, nốt sẩn rải rác hoặc ban dạng sởi với các nốt phồng nước hoặc tổn thương loét bề mặt của niêm mạc giới hạn tại một vị trí |
Các tổn thương lan rộng hoặc toàn thân hoặc hội chứng Stevens- Jhonson, hoặc hội chứng Lyell, DRESS, AGEP... |
|
Phản ứng dị ứng toàn thân cấp tính |
Nổi mày đay khu trú nhưng không cần chỉ định can thiệp y khoa |
Nổi mày đay khu trú nhưng cần chỉ định can thiệp y khoa hoặc phù mạch nhẹ không cần chỉ định can thiệp y khoa |
Nổi mày đay toàn thân hoặc phù mạch cần chỉ định can thiệp y khoa hoặc bị co thắt phế quản nhẹ |
Shock phản vệ hoặc co thắt phế quản nặng đe dọa tính mạng hoặc phù thanh quản, tổn thương viêm cầu thận/ hội chứng thận hư, viên mạch, Lupus |
|
|
Sốt |
37,7°C-38,6°C |
38,8 °C - 39,3°C |
39,4°C - 40,5°C |
>40,5°C |
PHỤ LỤC 10
NHẬN DẠNG THUỐC GÂY TÁC DỤNG KHÔNG MONG MUỐN VÀ GIẢI MẪN CẢM
Nhận dạng thuốc gây ADR: Bắt đầu sử dụng lại từng thuốc mỗi 4 ngày
(cân nhắc tham khảo liều thử thách theo khuyến cáo ở bảng 1)
Bảng 1:
|
Hướng dẫn thử thách liều |
||
|
Thuốc |
Liều thử thách |
|
|
|
Ngày 1 |
Ngày 2 |
|
Isoniazid |
50mg |
300mg |
|
Rifampicin |
75mg |
300mg |
|
Pyrazinamid |
250mg |
1g |
|
Ethionamid |
125mg |
375mg |
|
Cycloserin |
125mg |
250mg |
|
Ethambutol |
100mg |
500mg |
|
PAS |
1g |
5g |
- Bắt đầu với INH liều 50mg sử dụng trong ngày đầu, nếu các biểu hiện ADR nặng lên thì bắt đầu thay đổi liều bằng 1/10 liều của ngày 1 như liệt kê ở bảng 1 (ví dụ: INH 5mg).
- Nếu ADR không xảy ra sau sử dụng liều ở ngày đầu tiên thì tăng liều INH lên 300mg ở ngày thứ 2.
- Nếu ADR không xảy ra sau ngày dùng thuốc thứ 2 thì tiếp tục sử dụng INH liều 300mg mỗi ngày tiếp theo.
- Tiếp tục thêm các thuốc khác theo nguyên tắc và liều lý thuyết như ở bảng 1 sau mỗi 4 ngày.
+ Nếu các triệu chứng ADR nặng lên, bắt đầu liều thay đổi bằng 1/10 liều của ngày 1 như liệt kê ở bảng 1.
+ Nếu liều ở ngày thứ 2 thấp hơn liều khuyến cáo dựa trên cân nặng của bệnh nhân thì tăng liều tương đương ở ngày thứ 3.
- Nếu như ADR vẫn xảy ra trong suốt quá trình thay đổi liều và thuốc gây ADR không thể tiếp tục dùng, thì việc giải mẫn cảm thuốc là cần thiết. Với thuốc chống lao tiêm việc giải mẫn cảm chỉ thực hiện sau khi nhận biết thuốc gây dị ứng bằng test kích thích (Drug Provocation Test: DPT).
Giải mẫn cảm chỉ nên cân nhắc sau khi đánh giá giữa yếu tố nguy cơ/ lợi ích và đặc biệt lưu ý yếu tố cá thể trên từng người bệnh.
Chỉ định:
+ Thuốc gây dị ứng là thuốc không thể thay thế bằng thuốc khác trong quá trình điều trị (điều trị đặc hiệu).
+ Thuốc gây dị ứng là thuốc có hiệu quả tốt nhất cho lựa chọn liệu pháp điều trị (first line) ví dụ: Thuốc điều trị lao, Cotrimoxazol cho bệnh nhân HIV).
Chống chỉ định:
+ Bệnh nhân có nguy cơ cao bệnh phối hợp: Hen phế quản (FEV1<70%), tiền sử Shock phản vệ nặng và bệnh gan thận nặng.
+ Chống chỉ định tuyệt đối ở bệnh nhân nặng, phản ứng độc tế bào miễn dịch nặng hoặc đe dọa mạng sống (hội chứng Steven - Jhonson), hội chứng Lyell, Dress.
Phương pháp giải mẫn cảm:
+ Liều khởi đầu thấp hơn 1/10 liều điều trị hoặc thấp hơn liều thấp nhất gây phản ứng dị ứng.
+ Thông thường là 1/10.000 - 1/100 liều điều trị.
+ Đối với bệnh nhân có tiền sử Hen phế quản: 1/1.000.000 - 1/10.000.
+ Tăng liều gấp đôi sau mỗi 15 - 20 phút, kéo dài vài giờ cho đến khi đạt liều điều trị.
Một số cách giải mẫn cảm thường được sử dụng hiện nay:
- Cách thông dụng:
+ Khởi đầu với liều như liều ngày thứ nhất được liệt kê trong Bảng 1.
+ Nếu có phản ứng xảy ra trong ngày đầu tiên sau sử dụng thuốc này thì bắt đầu giải mẫn cảm với liều bằng 1/10 liều ngày đầu.
+ Mỗi ngày tăng liều lên gấp đôi (dùng 2 lần/ngày) cho đến khi đạt được liều khuyến cáo sử dụng.
+ Duy trì liều khuyến cáo (2 lần/ngày) này trong 3 ngày, sau đó sử dụng tổng liều là 1 lần/ngày (ví dụ: duy trì 3 ngày liều INH 150mg x 2lần/ngày x 3 ngày, sau đó tiếp tục điều trị các ngày sau là 300mg/1 lần mỗi ngày).
+ Nếu phản ứng phát triển trong suốt thời gian giải mẫn cảm thì giảm liều đến liều cao nhất trước kia mà không gây ra phản ứng và bắt đầu tăng dần từng lượng nhỏ liều.
- Giải mẫn cảm nhanh: Tạo ra tình trạng dung nạp thuốc tạm thời với thuốc gây ra phản ứng quá mẫn. Nhắc lại từng liều nhỏ và tăng dần liều dị nguyên gây dị ứng và sau mỗi khoảng thời gian cố định và thực hiện liều và khoảng cách tăng liều dựa trên lượng giá triệu chứng ở từng cá thể bệnh nhân. Giải mẫn cảm chỉ nên thực hiện theo mô hình một (một y tá, một BN), có kinh nghiệm cấp cứu và đầy đủ phương tiện cấp cứu.
+ Giải mẫn cảm nhanh với INH tham khảo theo bảng dưới, thực hiện liều và khoảng cách tăng liều dựa trên lượng giá triệu chứng ở từng cá thể bệnh nhân.
|
|
Thời gian |
Liều (mg) |
|
Sáng |
8:00 |
0.1 |
|
8:15 |
0.5 |
|
|
8:30 |
1.0 |
|
|
8:45 |
2.0 |
|
|
9:00 |
4.0 |
|
|
9:30 |
8.0 |
|
|
10:00 |
16 |
|
|
10:30 |
32 |
|
|
11:30 |
50 |
|
|
Chiều |
1:30 |
100 |
|
2:30 |
150 |
|
|
3:00 |
150 |
|
|
Ngày tiếp theo |
Tiếp tục 150mg mỗi 12h |
|
+ Giải mẫn cảm nhanh với Rifampicin và Ethambutol tham khảo theo bảng dưới, thực hiện liều và khoảng cách tăng liều dựa trên lượng giá triệu chứng ở từng cá thể bệnh nhân.
|
Thời gian bắt đầu sử dụng |
Rifampicin (mg) |
Ethambutol (mg) |
|
8:00 |
0.1 |
0.1 |
|
8:45 |
0.5 |
0.5 |
|
9:30 |
1.0 |
1.0 |
|
10:15 |
2.0 |
2.0 |
|
11:00 |
4.0 |
4.0 |
|
11:45 |
8.0 |
8.0 |
|
12:30 |
16 |
16 |
|
13:15 |
32 |
32 |
|
14:00 |
50 |
50 |
|
14:45 |
100 |
100 |
|
15:30 |
150 |
200 |
|
16:00 |
300 |
400 |
|
Ngày tiếp theo (6:00 sáng) |
300 hai lần/ngày |
400 ba lần/ngày |
+ Corticoid có thể được sử dụng nếu việc giải mẫn cảm là cấp bách, cụ thể:
○ Lao nặng.
○ ADR nặng.
○ Quá mẫn với nhiều hơn một thuốc.
+ Bệnh nhân nên sử dụng liều hàng ngày sau khi hoàn tất quá trình giải mẫn cảm (không sử dụng phác đồ 2 lần mỗi tuần hoặc 3 lần mỗi tuần).
PHỤ LỤC 11
QUY TRÌNH CHỤP PHỔI THẲNG
MỤC TIÊU:
- Chuẩn bị được dụng cụ và bệnh nhân.
- Thao tác kỹ thuật đúng quy trình và đánh giá được phim chụp đạt tiêu chuẩn kỹ thuật.
CÁC BƯỚC TIẾN HÀNH:
I. CHUẨN BỊ DỤNG CỤ VÀ BỆNH NHÂN:
- Kiểm tra tình trạng hoạt động của máy xquang.
- Dùng phim, cassette cỡ 30 x 40 cm hoặc 35 x 35cm.
- Giá giữ phim.
- Họ tên bệnh nhân, dấu phải trái, ngày tháng năm.
- Gọi bệnh nhân vào phòng chụp, tiếp xúc, giải thích, hướng dẫn bệnh nhân bộc lộ vùng cần chụp, tháo đồ trang sức vùng cổ nếu có.
II. TIẾN HÀNH KỸ THUẬT
- Phim đặt dọc trên giá giữ phim, cố định phần dọc của tia X vào giữa phim theo chiều dọc.
- Hướng dẫn bệnh nhân đứng trước giá giữ phim, mặt bệnh nhân quay về phía giá giữ phim, ngực bệnh nhân áp sát phim, hai bàn tay bệnh nhân chống hông, khủy tay gấp, dùng sức xoay 2 vai và khủy tay về phía trước để mặt trước của vai và khủy tay sát phim.
- Mặt bệnh nhân hơi ngửa và tỳ lên mặt trên của cassette, chỉnh cạnh trên của cassette cao hơn mặt trên của vai 5cm, chỉnh trục cột sống lưng vào giữa phim theo chiều dọc.
- Bóng Xquang chiếu ngang, vuông góc với phim.
- Tia trung tâm khu trú vào điểm ngang đốt sống lưng D6, đường ngang của tia X qua đường nối hai bờ trên của hõm nách. Đối với phụ nữ, bệnh nhân to béo tia trung tâm có thể khu trú ngang D8.
- Khoảng cách bóng Xquang đến phim là 1,5m, khu trú trùm tia X, đặt tên bệnh nhân, dấu P hoặc T, ngày tháng năm.
- Căn dặn bệnh nhân đứng im, giữ nguyên tư thế.
- Tiêu chuẩn chụp: ( chỉ mang tính chất tham khảo).
|
Máy Xquang |
KV |
mAs |
FFD ( cm) |
Lưới |
|
Cao tần |
65 - 70 |
8 |
150 - 180 |
có |
|
Cao tần |
65 - 70 |
5 |
150 - 180 |
không |
- Kiểm tra lại công thức, quan sát bệnh nhân, hô bệnh nhân hít sâu hết cỡ nín thở sau đó ấn nút phát tia.
- Hướng dẫn bệnh nhân ra khỏi phòng chụp và đưa phim đi tráng.
III. ĐÁNH GIÁ KẾT QUẢ:
- Lấy được toàn bộ hai trường phổi, trục cột sống lưng vào giữa phim theo chiều dọc, khớp ức đòn hai bên cân đối, đầu trong của hai xương đòn phải đối xứng qua gai sau của cột sống lưng, cơ hoành bên phải nằm dưới đầu trong xương sườn thứ 6 phía trước.
- Hai xương bả vai được tách ra khỏi lồng ngực, thấy rõ được 3 đốt sống ngực đầu tiên trên phim.
- Phim có độ nét, độ tương phản, phim sạch, không bị xước.
- Phim có họ tên bệnh nhân, dấu phải hoặc trái, ngày tháng năm chụp.
PHỤ LỤC 12
QUY TRÌNH CHỤP PHỔI NGHIÊNG
MỤC TIÊU:
- Chuẩn bị được dụng cụ và bệnh nhân.
- Thao tác kỹ thuật đúng quy trình và đánh giá được phim chụp đạt tiêu chuẩn kỹ thuật.
CÁC BƯỚC TIẾN HÀNH:
I. CHUẨN BỊ DỤNG CỤ VÀ BỆNH NHÂN:
- Kiểm tra tình trạng hoạt động của máy xquang.
- Dùng phim, cassette cỡ 30 x 40 cm hoặc 35 x 35cm.
- Giá giữ phim.
- Họ tên bệnh nhân, dấu phải trái, ngày tháng năm.
- Gọi bệnh nhân vào phòng chụp, tiếp xúc, giải thích, hướng dẫn bệnh nhân bộc lộ vùng cần chụp, tháo đồ trang sức vùng cổ nếu có.
II. TIẾN HÀNH KỸ THUẬT
- Phim đặt dọc trên giá giữ phim, cố định phần dọc của tia X vào giữa phim theo chiều dọc.
- Hướng dẫn bệnh nhân đứng nghiêng hoàn toàn trước giá giữ phim, hai tay bệnh nhân ôm đầu, đặt thành ngực bên cần chụp sát phim, cằm bệnh nhân hơi ngửa.
- Chỉnh mặt phẳng lưng vuông góc với phim, chỉnh cạnh trên của cassette cao hơn mặt trên của vai 5cm.
- Bóng Xquang chiếu vuông góc với phim.
- Tia trung tâm khu trú vào điểm ngang đốt sống lưng 6, đường dọc của tia X đi theo đường nách sau và cách da lưng độ 4 khoát ngón tay, đối với phụ nữ, người lùn và to béo tia trung tâm có thể khu trú vào ngang D8.
- Khoảng cách bóng Xquang đến phim là 1,5m, khu trú trùm tia X, đặt tên bệnh nhân, dấu P hoặc T, ngày tháng năm.
- Căn dặn bệnh nhân đứng im, giữ nguyên tư thế.
- Tiêu chuẩn chụp: ( chỉ mang tính chất tham khảo).
|
Máy Xquang |
KV |
mAs |
FFD ( cm) |
Lưới |
|
Cao tần |
75 - 80 |
15 |
150 |
có |
|
Cao tần |
75 - 80 |
8 |
150 |
không |
- Kiểm tra lại công thức, quan sát bệnh nhân, hô bệnh nhân hít sâu hết cỡ nín thở sau đó ấn nút phát tia.
- Hướng dẫn bệnh nhân ra khỏi phòng chụp và đưa phim đi tráng.
III. ĐÁNH GIÁ KẾT QUẢ:
- Các cung sau của xương sườn chồng lên nhau.
- Các vòm hoành ở phía trước nằm ngang với cung trước của xương sườn thứ 6.
- Hai vòm hoành phải rõ nét và đều.
- Phim có độ nét, độ tương phản, phim sạch, không bị xước.
- Phim có họ tên bệnh nhân, dấu phải hoặc trái, ngày tháng năm chụp.
PHỤ LỤC 13
QUY TRÌNH CHỤP PHỔI TƯ THẾ ĐỈNH PHỔI ƯỠN TƯ THẾ LORDOTIQUE
(Bệnh nhân đứng, tia chiếu trước sau, chếch bóng lên phía trên)
MỤC TIÊU:
- Chuẩn bị được dụng cụ và bệnh nhân.
- Thao tác kỹ thuật đúng quy trình và đánh giá được phim chụp đạt tiêu chuẩn kỹ thuật.
CÁC BƯỚC TIẾN HÀNH:
I. CHUẨN BỊ DỤNG CỤ VÀ BỆNH NHÂN:
- Kiểm tra tình trạng hoạt động của máy xquang.
- Dùng phim, cassette cỡ 30 x 40 cm hoặc 35 x 35cm.
- Giá giữ phim.
- Họ tên bệnh nhân, dấu phải trái, ngày tháng năm.
- Gọi bệnh nhân vào phòng chụp, tiếp xúc, giải thích, hướng dẫn bệnh nhân bộc lộ vùng cần chụp, tháo đồ trang sức vùng cổ nếu có.
II. TIẾN HÀNH KỸ THUẬT
- Phim đặt dọc trên giá giữ phim, cố định phần dọc của tia X vào giữa phim theo chiều dọc.
- Hướng dẫn bệnh nhân đứng thẳng trước giá giữ phim, mặt quay về phía bóng Xquang, lưng áp sát phim.
- Hai tay bệnh nhân ôm gáy, hai khủy tay gấp và đưa vào trong tối đa.
- Cằm bệnh nhân hơi ngửa, chỉnh cạnh trên của cassette cao hơn mặt trên vai 5 - 10cm, chỉnh trục cột sống lưng vào giữa phim theo chiều dọc.
- Bóng Xquang chiếu chếch lên phía trên 1 góc từ 30° đến 40° so với phương nằm ngang
- Tia trung tâm khu trú vào điểm giữa thân xương ức.
- Khoảng cách bóng Xquang đến phim là 1,5m, khu trú trùm tia X, đặt tên bệnh nhân, dấu P hoặc T, ngày tháng năm.
- Căn dặn bệnh nhân đứng im, giữ nguyên tư thế.
- Tiêu chuẩn chụp: (chỉ mang tính chất tham khảo).
|
Máy Xquang |
KV |
mAs |
FFD ( cm) |
Lưới |
|
Cao tần |
70 |
12 |
150 |
có |
|
Cao tần |
70 |
8 |
150 |
không |
- Kiểm tra lại công thức, quan sát bệnh nhân, hô bệnh nhân hít sâu hết cỡ nín thở sau đó ấn nút phát tia.
- Hướng dẫn bệnh nhân ra khỏi phòng chụp và đưa phim đi tráng.
III. ĐÁNH GIÁ KẾT QUẢ:
- Xương đòn được đẩy lên cao ra khỏi lồng ngực.
- Thấy rõ đỉnh phổi, thùy giữa và chân rãnh liên thùy.
- Trục cột sống lưng vào giữa phim theo chiều dọc.
- Phim có độ nét, độ tương phản, phim sạch, không bị xước.
- Phim có họ tên bệnh nhân, dấu phải hoặc trái, ngày tháng năm chụp.
PHỤ LỤC 14
HÌNH ẢNH CỦA CÁC HÌNH THÁI TỔN THƯƠNG LAO
Nốt:

Thâm nhiễm:


Hang:


Hình mờ do tràn dịch màng phổi

Hình ảnh tràn khí màng phổi

Yêu cầu: (1) Diện tích tối thiểu 12m2
(2) Đảm bảo thông khí tối thiểu 12 chu kỳ trao đổi khí/giờ.
(3) Thầy thuốc ngồi cách người bệnh tối thiểu 1m.
Ghi chú: BS/ĐD: Bác sĩ/Điều dưỡng
NB: Người bệnh
PHỤ LỤC 16
HÌNH ẢNH MÔ TẢ CÁC BƯỚC NHUỘM HUỲNH QUANG BẰNG HÓA CHẤT TỰ PHA
(nhuộm bằng bộ kit lưu ý chỉ nhỏ thuốc nhuộm kín vết dàn, tẩy màu và nhuộm nền chung 1 bước)
1. Đặt tiêu bản lên giá nhuộm. Xếp các tiêu bản cách nhau ít nhất 1 cm

2. Phủ đầy dung dịch Auramine 0,1%. Để 15 phút

3. Rửa tiêu bản bằng nước thường, nghiêng để ráo nước

4. Phủ dung dịch cồn HCl 0,5%. Để 2 phút

5.

6. Phủ đầy dung dịch xanh methylen 0,3%. Để 1 - 2 phút

7. Rửa nước rồi nghiêng tiêu bản để ráo nước

8. Để khô tự nhiên hoặc đặt lên máy sấy tiêu bản

TÀI LIỆU THAM KHẢO
1. American Thoracic Society, CDC, Infectious Diseases Society of America. 2003. Treatment of tuberculosis, Am J Respir Crit Care Med Vol 167.pp 603-662.
2. Aberer & Kranke. 2009. Immunol Allergy Clin N Am 29. 567-584.
3. Australian Society for Microbiology. 2004. Guidelines for Assuring Quality of Solid Media used in Australis for the Cultivation of Medicallly Important Mycobacteria.
4. Van Deaun, A. Martin, J.C. Palomino. 2010. Diagnosis of drug-resistant tuberculosis: reliability and rapidity of detection. Int J Tuberc Lung Dis 14(2) 131 - 140.
5. Bộ Y tế - Chương trình chống lao Quốc gia Việt Nam. Hướng dẫn quản lí bệnh lao. Nhà xuất bản y học, 2009.
6. Chương trình chống lao Quốc gia Việt Nam. Hướng dẫn kĩ thuật trong chẩn đoán và điều trị bệnh lao kháng đa thuốc, năm 2010.
7. Chương trình chống lao Quốc gia. Hướng dẫn qui trình thực hành chuẩn xét nghiệm vi khuẩn lao, 2012.
8. Chương trình chống lao Quốc gia. Hướng dẫn duy tu bảo dưỡng trang thiết bị phòng xét nghiệm lao, 2010.
9. Chương trình chống lao Quốc gia - MSH. Qui trình chuyển mẫu cho quản lý và điều trị bệnh lao, 2011.
10. CDC. 2006. TB Program evaluation handbook.
11. CDC. 2016. Latent Tuberculosis Infection: A Guide for Primary Health Care Providers - Treatment of Latent TB Infection.
12. Demonstration Project iLED. 2008. Training manual for Fluorescente - Base AFB microscopy.
13. Guidelines EAACI. Allergy 2014; 69: 1026 -45.
14. Hanscheid T, Ribeiro CM, Shapiro HM, Perlmutter NG. Fluorescence microscopy for tuberculosis diagnosis. Lancet Infect Dis 2007; 7:236-7
15. International Union Agaist Tuberculosis and Lung Disease (IUATLD) technical guide: sputum examination for tuberculosis by direct microscopy in low income countries. 5th ed.Paris: IUATLD, 2006.
16. K.D. Mc carthy, * B. Metchock, * P. Monkongdee et al (2008). Mornitoring the performance of mycobacteriologies laboratories: a proposal for standardized indicators. Int J Tuberc Lung Dis 12(9): 1015 - 1020.
17. Nigeria NTP (2009). National standard operating procedure for laboratories, Nigeria
18. Naga P. Chalasani, et al on behalf of the Practice Parameters Committee of the American College of Gastroeterology. Am J Gastroenterol 2014; 109:950 -966; American journal and respiratory ciristical care medince vol 174 2006. An official ATS statement: Hepatotoxicity of Antituberculosis Therapy
19. Procedure for culture of Mycobacteria using MGIT 960 technique, 2007.
20. Lawrence Flick Memorial Tuberculosis Clinic Philadelphia Tuberculosis Control Program November, 1998.
21. World Health Organization. 1998. Laboratory Service in tuberculosis Control: Part II, Microscopy. WHO/TB/98.258.
22. WHO. Services in tuberclosis control. Part II: Microscopy, 1998.
23. WHO (2003), “WHO Toxicity Grading Scale of Determining The Severity of Adverse Events”
24. WHO. Guidelines for the programmatic management of drug-resistant tuberculosis: emergency update 2008, Geneva, 2008.
25. WHO. Treatment of Tuberculosis Guidelines Fourth Edition, 2009.
26. WHO. 2010. Treatment of tuberculosis: guidelines - 4th ed. WHO/HTM/TB/2009.420.
27. WHO. 2012. The use of bedaquiline in the treatment of multidrug-resistant tuberculosis: interim policy guidance. WHO/HTM/TB/2013.6.
28. WHO. 2014. Companion handbook to the WHO guidelines for the programmatic management of drug-resistant tuberculosis. WHO/HTM/TB/2014.11
29. WHO. 2015. Guidelines on the management of latent tuberculosis infection.
30. WHO. Guidelines for treatment of drug-susceptible tuberculosis and patient care, 2017 update,. WHO/HTM/TB/2017.05. WHO/HTM/TB/2015.01.
31. WHO. 2016. WHO treatment guidelines for drug-resistant tuberculosis, 2016 update. October 2016 revision. WHO/HTM/TB/2016.04.
32. WHO. 2017. WHO Meeting Report of a Technical Expert Consultation: Non inferiority analysis of Xpert MTB/RIF Ultra compared to Xpert MTB/RIF. WHO/HTM/TB/2017.04
33. WHO. 2019. WHO consolidated guidelines on drug-resistant tuberculosis treatment. WHO/CDS/TB/2019.7
34. Tổ chức y tế thế giới khu vực Tây Thái Bình Dương. Đảm bảo chất lượng xét nghiệm đờm trực tiếp trong chiến lược DODS, 2003.
35. Toman K. Toman's tuberculosis case detection, treatment and monitoring, WHO, 2004.
36. Temple R. Hy’s law: predicting serious hepatotoxicity. Pharmacoepidemiol Drug Saf 2006; 15: 241-243.
Bạn chưa Đăng nhập thành viên.
Đây là tiện ích dành cho tài khoản thành viên. Vui lòng Đăng nhập để xem chi tiết. Nếu chưa có tài khoản, vui lòng Đăng ký tại đây!
Bạn chưa Đăng nhập thành viên.
Đây là tiện ích dành cho tài khoản thành viên. Vui lòng Đăng nhập để xem chi tiết. Nếu chưa có tài khoản, vui lòng Đăng ký tại đây!